RNLS
RNLS,全稱為大鼠腎酶(Renin-like protein),是一種在腎臟中發揮重要作用的蛋白質,常見別名包括大鼠腎素樣蛋白。該蛋白主要參與血壓調節和電解質平衡的維持,通過催化血管緊張素原轉化為血管緊張素I,進而影響血管緊張素II的生成,從而調節血壓。此外,RNLS蛋白還與腎臟的濾過功能密切相關,參與維持腎臟的正常生理功能。研究表明,RNLS蛋白的表達水平與多種腎臟疾病相關,如高血壓腎病、糖尿病腎病等。在藥物研發方面,針對RNLS蛋白的抑制劑已被開發用于治療高血壓和腎臟疾病,顯示出良好的臨床應用前景。
熱銷產品
RNLS Antibody (CSB-PA726123ESR1HU)
驗證數據
Immunohistochemistry of paraffin-embedded human breast cancer using CSB-PA726123ESR1HU at dilution of 1:100
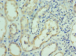
Immunohistochemistry of paraffin-embedded human kidney tissue using CSB-PA726123ESR1HU at dilution of 1:100
Human Renalase/ Monoamine Oxidase-C(RNLS/ MAO-C)ELISA Kit (CSB-E13945h)
驗證數據
貨號:CSB-E13945h
規格:96T/48T
靈敏度:0.156 μg/mL
檢測范圍:0.625 μg/mL-40 μg/mL
These standard curves are provided for demonstration only. A standard curve should be generated for each set of samples assayed.
RNLS Antibodies
RNLS for Homo sapiens (Human)
| 產品貨號 | 產品名稱 | 種屬反應性 | 應用類型 |
|---|---|---|---|
| CSB-PA002965GA01HU | RNLS Antibody | Human,Mouse,Rat | ELISA,WB,IHC |
| CSB-PA726123ESR1HU | RNLS Antibody | Human | ELISA, IHC |
| CSB-PA436143 | RNLS Antibody | Human,Mouse,Rat | ELISA,WB |
RNLS Proteins
RNLS Proteins for Homo sapiens (Human)
| 產品貨號 | 產品名稱 | 來源 |
|---|---|---|
| CSB-YP726123HU CSB-EP726123HU CSB-BP726123HU CSB-MP726123HU CSB-EP726123HU-B |
Recombinant Human Renalase (RNLS) | Yeast E.coli Baculovirus Mammalian cell In Vivo Biotinylation in E.coli |
RNLS ELISA Kit
RNLS ELISA Kit for Homo sapiens (Human)
| 產品貨號 | 產品名稱 | 樣本類型 | 靈敏度 |
|---|---|---|---|
| CSB-E13945h | Human Renalase/ Monoamine Oxidase-C(RNLS/ MAO-C)ELISA Kit | serum, plasma, tissue homogenates | 0.156 μg/mL |






