RIPK2
RIPK2,即受體相互作用蛋白激酶2,別名Receptor-Interacting Serine/Threonine-Protein Kinase 2、CARD-Containing IL-1 Beta ICE-Kinase、Receptor-Interacting Protein 2、Tyrosine-Protein Kinase RIPK2等。它是一種在人體組織中廣泛表達的雙特異性激酶,主要分布在細胞質中,其mRNA水平在脾臟、白細胞、胎盤、睪丸和心臟中高表達 。RIPK2的作用機制涉及與腫瘤壞死因子受體(TNFR)的相互作用,并參與Toll樣受體(TLR)和核苷酸結合寡聚化結構域(NOD)信號通路。它在細胞凋亡、細胞程序性壞死以及炎癥信號通路中發揮關鍵作用,是先天免疫、適應性免疫和細胞凋亡的重要接頭分子。RIPK2的功能異常與多種疾病有關,包括炎癥性疾病、自身免疫性疾病和腫瘤 。RIPK2在生物學上的意義非常廣泛,它不僅參與了細胞的生存、死亡和炎癥反應的調控,還與疾病的治療提供了新的思路。RIPK2的抑制劑在炎癥反應、自身免疫性疾病和腫瘤中具有重要意義,并且在藥理學上被認為是一種有前途的治療策略 。
熱銷產品
Recombinant Human Receptor-interacting serine/threonine-protein kinase 2 (RIPK2) (CSB-EP019736HU)
驗證數據
(Tris-Glycine gel) Discontinuous SDS-PAGE (reduced) with 5% enrichment gel and 15% separation gel.
RIPK2 Antibody (CSB-PA019736ESR1HU)
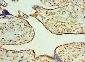
驗證數據
Immunohistochemistry of paraffin-embedded human prostate tissue using CSB-PA019736ESR1HU at dilution of 1:100
Immunohistochemistry of paraffin-embedded human placenta tissue using CSB-PA019736ESR1HU at dilution of 1:100
RIPK2 Antibodies
RIPK2 for Homo sapiens (Human)
| 產品貨號 | 產品名稱 | 種屬反應性 | 應用類型 |
|---|---|---|---|
| CSB-PA019736GA01HU | RIPK2 Antibody | Human,Mouse,Rat | ELISA,WB |
| CSB-PA019736LD01HU | RIPK2 Antibody, Biotin conjugated | Human | ELISA |
| CSB-PA019736LC01HU | RIPK2 Antibody, FITC conjugated | Human | |
| CSB-PA019736LA01HU | RIPK2 Antibody | Human, Rat | ELISA, WB, IHC, IF |
| CSB-PA231579 | Phospho-RIPK2 (Ser176) Antibody | Human,Mouse | ELISA,WB,IHC |
| CSB-PA070142 | Phospho-RIPK2 (S176) Antibody | Human,Mouse | WB, IHC, ELISA |
| CSB-PA070143 | RIPK2 Antibody | Human,Mouse | WB, IHC, ELISA |
| CSB-PA019736ESR1HU | RIPK2 Antibody | Human | ELISA, IHC |
RIPK2 Proteins
RIPK2 Proteins for Mus musculus (Mouse)
| 產品貨號 | 產品名稱 | 來源 |
|---|---|---|
| CSB-YP019736MO CSB-EP019736MO CSB-BP019736MO CSB-MP019736MO CSB-EP019736MO-B |
Recombinant Mouse Receptor-interacting serine/threonine-protein kinase 2 (Ripk2) | Yeast E.coli Baculovirus Mammalian cell In Vivo Biotinylation in E.coli |
RIPK2 Proteins for Homo sapiens (Human)
| 產品貨號 | 產品名稱 | 來源 |
|---|---|---|
| CSB-YP019736HU CSB-BP019736HU CSB-MP019736HU CSB-EP019736HU-B |
Recombinant Human Receptor-interacting serine/threonine-protein kinase 2 (RIPK2) | Yeast Baculovirus Mammalian cell In Vivo Biotinylation in E.coli |
| CSB-EP019736HU | Recombinant Human Receptor-interacting serine/threonine-protein kinase 2 (RIPK2) | E.coli |
| CSB-EP019736HUc7 | Recombinant Human Receptor-interacting serine/threonine-protein kinase 2 (RIPK2) | E.coli |
| CSB-EP019736HUe0 | Recombinant Human Receptor-interacting serine/threonine-protein kinase 2 (RIPK2) | E.coli |
RIPK2 Proteins for Bos taurus (Bovine)
| 產品貨號 | 產品名稱 | 來源 |
|---|---|---|
| CSB-YP666184BO CSB-EP666184BO CSB-BP666184BO CSB-MP666184BO CSB-EP666184BO-B |
Recombinant Bovine Receptor-interacting serine/threonine-protein kinase 2 (RIPK2), partial | Yeast E.coli Baculovirus Mammalian cell In Vivo Biotinylation in E.coli |






