RHOF
RHOF在細胞內信號傳導和細胞骨架重塑等生物學過程中發揮重要作用。她的結構類似于其他Rho家族小GTP酶,包括一個高度保守的GTP酶活性結構域,一個具有調節功能的輔助結構域以及C端的CAAX序列。這些結構域賦予RHOF在信號傳導途徑中的特定功能。在信號通路方面,RHOF參與調節細胞骨架的重塑和細胞遷移等生物學過程。它通過調控下游效應蛋白的活性,影響細胞內信號傳導通路的激活和抑制,從而調節細胞的形態和運動。RHOF可能在癌癥轉移、細胞遷移和其他疾病過程中的調節中發揮重要作用,因此對其進行進一步研究具有重要意義。
熱銷產品
RHOF Antibody (Code:CSB-PA867192LA01HU)
驗證數據
All lanes: RHOF antibody at 3μg/ml
Lane 1: Colo320 whole cell lysate
Lane 2: RAW264.7 whole cell lysate
Secondary
Goat polyclonal to rabbit IgG at 1/10000 dilution
Predicted band size: 24, 19 kDa
Observed band size: 24 kDa
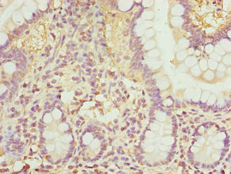
Immunohistochemistry of paraffin-embedded human colon cancer using CSB-PA867192LA01HU at dilution of 1:100
Immunohistochemistry of paraffin-embedded human small intestine tissue using CSB-PA867192LA01HU at dilution of 1:100
RHOF Antibodies
RHOF for Homo sapiens (Human)
| 產品貨號 | 產品名稱 | 種屬反應性 | 應用類型 |
|---|---|---|---|
| CSB-PA019689GA01HU | RHOF Antibody | Human,Mouse,Rat | ELISA,WB |
| CSB-PA867192LA01HU | RHOF Antibody | Human, Mouse | ELISA, WB, IHC |
| CSB-PA867192LB01HU | RHOF Antibody, HRP conjugated | Human | ELISA |
| CSB-PA867192LC01HU | RHOF Antibody, FITC conjugated | Human | |
| CSB-PA867192LD01HU | RHOF Antibody, Biotin conjugated | Human | ELISA |
RHOF Proteins
RHOF Proteins for Homo sapiens (Human)
| 產品貨號 | 產品名稱 | 來源 |
|---|---|---|
| CSB-YP867192HU CSB-EP867192HU CSB-BP867192HU CSB-MP867192HU CSB-EP867192HU-B |
Recombinant Human Rho-related GTP-binding protein RhoF (RHOF) | Yeast E.coli Baculovirus Mammalian cell In Vivo Biotinylation in E.coli |






