RBP4
RBP4(Retinol-Binding Protein 4)是一種在體內負責運輸維生素A(retinol)的血漿蛋白,通常以四聚體的形式存在。每個RBP4分子都結合著一個分子的維生素A(retinol),以確保維生素A的穩定運輸。此外,RBP4也被認為是潛在的臨床標志物,與胰島素抵抗、糖尿病和其他代謝性疾病有關。研究RBP4的功能有助于深入了解與維生素A相關的生理過程和與之相關的疾病。
熱銷產品
● Recombinant Human Retinol-binding protein 4(RBP4) (Active) CSB-MP019483HU
驗證數據
(Tris-Glycine gel) Discontinuous SDS-PAGE (reduced) with 5% enrichment gel and 15% separation gel.
Activity: Measured by its binding ability in a functional ELISA. Immobilized RBP4 at 5 μg/ml can bind TTR (CSB-MP025270HUh6), the EC50 is 695.0-970.1 ng/ml.
The purity of RBP4 was greater than 90% as determined by SEC-HPLC.
● Recombinant Mouse Retinol-binding protein 4(Rbp4) (Active) CSB-MP4018MO
驗證數據
(Tris-Glycine gel) Discontinuous SDS-PAGE (reduced) with 5% enrichment gel and 15% separation gel.
Activity: Measured by its binding ability in a functional ELISA. Immobilized Mouse Ttr (CSB-MP025270MO) at 5 μg/ml can bind Mouse Rbp4, the EC50 is 38.07-75.83 ng/mL.
● RBP4 Recombinant Monoclonal Antibody CSB-RA784971A0HU
驗證數據
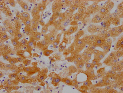
IHC image of CSB-RA784971A0HU diluted at 1:100 and staining in paraffin-embedded human liver tissue performed on a Leica BondTM system. After dewaxing and hydration, antigen retrieval was mediated by high pressure in a citrate buffer (pH 6.0). Section was blocked with 10% normal goat serum 30min at RT. Then primary antibody (1% BSA) was incubated at 4°C overnight. The primary is detected by a Goat anti-rabbit IgG polymer labeled by HRP and visualized using 0.05% DAB.
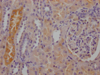
IHC image of CSB-RA784971A0HU diluted at 1:100 and staining in paraffin-embedded human kidney tissue performed on a Leica BondTM system. After dewaxing and hydration, antigen retrieval was mediated by high pressure in a citrate buffer (pH 6.0). Section was blocked with 10% normal goat serum 30min at RT. Then primary antibody (1% BSA) was incubated at 4°C overnight. The primary is detected by a Goat anti-rabbit IgG polymer labeled by HRP and visualized using 0.05% DAB.
RBP4 Antibodies
RBP4 for Homo sapiens (Human)
| 產品貨號 | 產品名稱 | 種屬反應性 | 應用類型 |
|---|---|---|---|
| CSB-PA019483GA01HU | RBP4 Antibody | Human,Mouse,Rat | ELISA,WB |
| CSB-PA07057A0Rb | RBP4 Antibody | Human | ELISA, WB, IHC |
| CSB-PA07057B0Rb | RBP4 Antibody, HRP conjugated | Human | ELISA |
| CSB-PA07057D0Rb | RBP4 Antibody, Biotin conjugated | Human | ELISA |
| CSB-PA019483YA01HU | RBP4 Antibody | Human | ELISA |
| CSB-PA019483YD01HU | RBP4 Antibody, Biotin conjugated | Human | ELISA, IHC |
| CSB-PA272372 | RBP4 Antibody | Human,Mouse,Rat | ELISA,WB |
| CSB-PA07059A0Rb | RBP4 Antibody | Human | ELISA |
| CSB-PA07059B0Rb | RBP4 Antibody, HRP conjugated | Human | ELISA |
| CSB-PA07059C0Rb | RBP4 Antibody, FITC conjugated | Human | |
| CSB-PA07059D0Rb | RBP4 Antibody, Biotin conjugated | Human | ELISA |
| CSB-RA784971A0HU | RBP4 Recombinant Monoclonal Antibody | Human | ELISA, IHC |
RBP4 Proteins
RBP4 Proteins for Bos taurus (Bovine)
| 產品貨號 | 產品名稱 | 來源 |
|---|---|---|
| CSB-YP019483BO CSB-EP019483BO CSB-BP019483BO CSB-MP019483BO CSB-EP019483BO-B |
Recombinant Bovine Retinol-binding protein 4 (RBP4) | Yeast E.coli Baculovirus Mammalian cell In Vivo Biotinylation in E.coli |
RBP4 Proteins for Sus scrofa (Pig)
| 產品貨號 | 產品名稱 | 來源 |
|---|---|---|
| CSB-YP019483PI CSB-EP019483PI CSB-BP019483PI CSB-MP019483PI CSB-EP019483PI-B |
Recombinant Pig Retinol-binding protein 4 (RBP4) | Yeast E.coli Baculovirus Mammalian cell In Vivo Biotinylation in E.coli |
RBP4 Proteins for Gallus gallus (Chicken)
| 產品貨號 | 產品名稱 | 來源 |
|---|---|---|
| CSB-YP019483CH CSB-EP019483CH CSB-BP019483CH CSB-MP019483CH CSB-EP019483CH-B |
Recombinant Chicken Retinol-binding protein 4 (RBP4) | Yeast E.coli Baculovirus Mammalian cell In Vivo Biotinylation in E.coli |
RBP4 Proteins for Oryctolagus cuniculus (Rabbit)
| 產品貨號 | 產品名稱 | 來源 |
|---|---|---|
| CSB-YP019483RB CSB-EP019483RB CSB-BP019483RB CSB-MP019483RB CSB-EP019483RB-B |
Recombinant Rabbit Retinol-binding protein 4 (RBP4) | Yeast E.coli Baculovirus Mammalian cell In Vivo Biotinylation in E.coli |
RBP4 Proteins for Pan troglodytes (Chimpanzee)
| 產品貨號 | 產品名稱 | 來源 |
|---|---|---|
| CSB-YP019483EQV CSB-EP019483EQV CSB-BP019483EQV CSB-MP019483EQV CSB-EP019483EQV-B |
Recombinant Pan troglodytes Retinol-binding protein 4 (RBP4) | Yeast E.coli Baculovirus Mammalian cell In Vivo Biotinylation in E.coli |
RBP4 Proteins for Xenopus laevis (African clawed frog)
| 產品貨號 | 產品名稱 | 來源 |
|---|---|---|
| CSB-YP019483XBE CSB-EP019483XBE CSB-BP019483XBE CSB-MP019483XBE CSB-EP019483XBE-B |
Recombinant Xenopus laevis Retinol-binding protein 4 (rbp4) | Yeast E.coli Baculovirus Mammalian cell In Vivo Biotinylation in E.coli |
RBP4 Proteins for Rattus norvegicus (Rat)
| 產品貨號 | 產品名稱 | 來源 |
|---|---|---|
| CSB-YP019483RA CSB-BP019483RA CSB-MP019483RA CSB-EP019483RA-B |
Recombinant Rat Retinol-binding protein 4 (Rbp4) | Yeast Baculovirus Mammalian cell In Vivo Biotinylation in E.coli |
RBP4 Proteins for Equus caballus (Horse)
| 產品貨號 | 產品名稱 | 來源 |
|---|---|---|
| CSB-YP638927HO CSB-EP638927HO CSB-BP638927HO CSB-MP638927HO CSB-EP638927HO-B |
Recombinant Horse Retinol-binding protein 4 (RBP4) | Yeast E.coli Baculovirus Mammalian cell In Vivo Biotinylation in E.coli |
RBP4 Proteins for Homo sapiens (Human)
| 產品貨號 | 產品名稱 | 來源 |
|---|---|---|
| CSB-MP019483HU | Recombinant Human Retinol-binding protein 4 (RBP4) (Active) | Mammalian cell |
RBP4 Proteins for Mus musculus (Mouse)
| 產品貨號 | 產品名稱 | 來源 |
|---|---|---|
| CSB-MP4018MO | Recombinant Mouse Retinol-binding protein 4 (Rbp4) (Active) | Mammalian cell |
RBP4 ELISA Kit
RBP4 ELISA Kit for Homo sapiens (Human)
| 產品貨號 | 產品名稱 | 樣本類型 | 靈敏度 |
|---|---|---|---|
| CSB-E09423h | Human Retinol binding protein 4,RBP-4 ELISA Kit | serum, plasma, tissue homogenates | 3.9 ng/mL |
RBP4 ELISA Kit for Mus musculus (Mouse)
| 產品貨號 | 產品名稱 | 樣本類型 | 靈敏度 |
|---|---|---|---|
| CSB-E09151m | Mouse Retinol-binding protein,RBP ELISA Kit | serum, plasma, urine, tissue homogenates | 0.078 μg/mL |
RBP4 ELISA Kit for Oryctolagus cuniculus (Rabbit)
| 產品貨號 | 產品名稱 | 樣本類型 | 靈敏度 |
|---|---|---|---|
| CSB-E07044Rb | Rabbit Retinol binding protein 4,RBP-4 ELISA Kit |
RBP4 ELISA Kit for Rattus norvegicus (Rat)
| 產品貨號 | 產品名稱 | 樣本類型 | 靈敏度 |
|---|---|---|---|
| CSB-E09424r | Rat Retinol binding protein 4,RBP-4 ELISA Kit | serum, plasma, tissue homogenates | 9.75 ng/ml |






