RAD18
RAD18,全稱為E3泛素連接酶RAD18,別名包括hHR18、hRAD18和RING finger protein 73。該蛋白參與細胞內DNA損傷修復過程,能夠識別并結合受損DNA,并通過泛素化修飾招募其他修復因子,促進DNA損傷的修復。RAD18在細胞核內發揮作用,與RAD51等其他蛋白協同參與同源重組修復過程,維持基因組穩定性。研究表明,RAD18的表達水平與某些癌癥的發生發展密切相關。例如,RAD18的高表達與某些類型的癌癥對化療和放療的耐藥性有關。此外,RAD18還與一些自身免疫性疾病的發生發展有關,例如系統性紅斑狼瘡。目前,針對RAD18的藥物研發尚處于起步階段,但已有研究表明,抑制RAD18的表達或活性可以有效抑制某些類型癌癥的生長和轉移。因此,RAD18有望成為癌癥和自身免疫性疾病的潛在治療靶點。
熱銷產品
Recombinant Human E3 ubiquitin-protein ligase RAD18 (RAD18) (CSB-EP889102HU)
驗證數據
(Tris-Glycine gel) Discontinuous SDS-PAGE (reduced) with 5% enrichment gel and 15% separation gel.
RAD18 Antibody (CSB-PA889102LA01HU)
驗證數據
Western blot
All lanes: RAD18 antibody at 2μg/ml + COLO205 whole cell lysate
Secondary
Goat polyclonal to rabbit IgG at 1/10000 dilution
Predicted band size: 57 kDa
Observed band size: 57 kDa
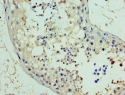
Immunohistochemistry of paraffin-embedded human testis tissue using PA889102LA01HU at dilution of 1:100
RAD18 Antibodies
RAD18 for Homo sapiens (Human)
| 產品貨號 | 產品名稱 | 種屬反應性 | 應用類型 |
|---|---|---|---|
| CSB-PA019256GA01HU | RAD18 Antibody | Human,Mouse,Rat | ELISA,WB |
| CSB-PA889102LA01HU | RAD18 Antibody | Human | ELISA, WB, IHC |
| CSB-PA274794 | RAD18 Antibody | Human,Rat | ELISA,WB |
| CSB-PA003913 | RAD18 Antibody | Human,Rat | WB, ELISA |
RAD18 Proteins
RAD18 Proteins for Homo sapiens (Human)
| 產品貨號 | 產品名稱 | 來源 |
|---|---|---|
| CSB-YP889102HU CSB-BP889102HU CSB-MP889102HU CSB-EP889102HU-B |
Recombinant Human E3 ubiquitin-protein ligase RAD18 (RAD18) | Yeast Baculovirus Mammalian cell In Vivo Biotinylation in E.coli |
| CSB-EP889102HU | Recombinant Human E3 ubiquitin-protein ligase RAD18 (RAD18) | E.coli |






