RABGGTB
RABGGTB,全稱為Rab geranylgeranyltransferase subunit beta,也被稱為Rab蛋白異戊二烯轉移酶β亞基。該蛋白在細胞內的膜轉運和信號傳導中發揮著重要作用。RABGGTB是Rab蛋白異戊二烯轉移酶(RabGGTase)復合物的一部分,負責將異戊二烯基團轉移到Rab蛋白上,從而激活它們并促進其在細胞膜上的定位。這一過程對于細胞內囊泡運輸和膜蛋白定位至關重要。RABGGTB的表達和活性在多種生物學過程中受到嚴格調控,例如炎癥反應和腫瘤發生。研究表明,RABGGTB在牙周炎和多發性硬化癥患者的血液中表達水平發生變化,提示其與這些疾病的發生發展密切相關。在藥物研發方面,RABGGTB被視為治療肌萎縮側索硬化癥的潛在靶點,相關研究正在探索其作為疾病診斷和治療的新策略。
熱銷產品
RABGGTB Antibody (CSB-PA019235HA01HU)
驗證數據
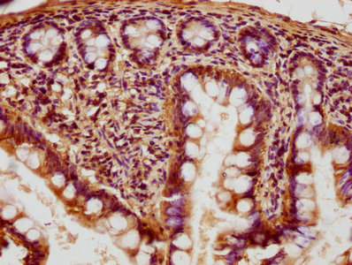
IHC image of CSB-PA019235HA01HU diluted at 1:400 and staining in paraffin-embedded human small intestine tissue performed on a Leica BondTM system. After dewaxing and hydration, antigen retrieval was mediated by high pressure in a citrate buffer (pH 6.0). Section was blocked with 10% normal goat serum 30min at RT. Then primary antibody (1% BSA) was incubated at 4°C overnight. The primary is detected by a biotinylated secondary antibody and visualized using an HRP conjugated SP system.
Immunofluorescence staining of U251 cells with CSB-PA019235HA01HU at 1:133, counter-stained with DAPI. The cells were fixed in 4% formaldehyde, permeabilized using 0.2% Triton X-100 and blocked in 10% normal Goat Serum. The cells were then incubated with the antibody overnight at 4°C. The secondary antibody was Alexa Fluor 488-congugated AffiniPure Goat Anti-Rabbit IgG(H+L).
RABGGTB Antibodies
RABGGTB for Homo sapiens (Human)
| 產品貨號 | 產品名稱 | 種屬反應性 | 應用類型 |
|---|---|---|---|
| CSB-PA019235HA01HU | RABGGTB Antibody | Human | ELISA, IHC, IF |
| CSB-PA019235HB01HU | RABGGTB Antibody, HRP conjugated | Human | ELISA |
| CSB-PA019235HC01HU | RABGGTB Antibody, FITC conjugated | Human | |
| CSB-PA019235HD01HU | RABGGTB Antibody, Biotin conjugated | Human | ELISA |
RABGGTB Proteins
RABGGTB Proteins for Homo sapiens (Human)
| 產品貨號 | 產品名稱 | 來源 |
|---|---|---|
| CSB-YP019235HU CSB-EP019235HU CSB-BP019235HU CSB-MP019235HU CSB-EP019235HU-B |
Recombinant Human Geranylgeranyl transferase type-2 subunit beta (RABGGTB) | Yeast E.coli Baculovirus Mammalian cell In Vivo Biotinylation in E.coli |






