PTPN22
PTPN22,即蛋白酪氨酸磷酸酶非受體22型。別名PEST-Domain Phosphatase、PTPN8、PEP。PTPN22基因位于1號染色體上,表達產物為Protein Tyrosine Phosphatase Non-Receptor Type 22。PTPN22是一種淋巴細胞特異性的細胞內磷酸酶,與分子適配器蛋白CBL相關,可能參與調節T細胞受體信號通路中的CBL功能。該基因的突變與多種自身免疫性疾病有關,如1型糖尿病、類風濕關節炎、系統性紅斑狼瘡和Graves病。PTPN22在調節T細胞信號傳導中起關鍵作用,通過去磷酸化T細胞信號通路中的關鍵激酶如Lck、ZAP70、Vav和EB1來抑制T細胞抗原受體(TCR)信號傳導。此外,PTPN22還在血小板功能和動脈血栓形成中發揮負調控作用,PTPN22缺乏會顯著縮短尾部出血時間并加速動脈血栓形成,而不會影響靜脈血栓形成和凝血因子VIII和IX。
熱銷產品
PTPN22 Antibody (CSB-PA171916)
驗證數據
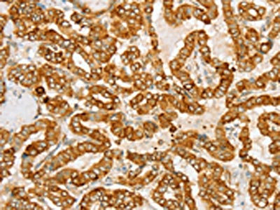
The image on the left is immunohistochemistry of paraffin-embedded Human thyroid cancer tissue using CSB-PA171916(PTPN22 Antibody) at dilution 1/20, on the right is treated with fusion protein. (Original magnification: ×200)
The image on the left is immunohistochemistry of paraffin-embedded Human ovarian cancer tissue using CSB-PA171916(PTPN22 Antibody) at dilution 1/20, on the right is treated with fusion protein. (Original magnification: ×200)
PTPN22 Antibodies
PTPN22 for Homo sapiens (Human)
| 產品貨號 | 產品名稱 | 種屬反應性 | 應用類型 |
|---|---|---|---|
| CSB-PA019036GA01HU | PTPN22 Antibody | Human,Mouse,Rat | ELISA,WB,IHC |
| CSB-PA780242 | PTPN22 Antibody | Human,Mouse,Rat | ELISA,WB |
| CSB-PA008696 | PTPN22 Antibody | Human,Mouse,Rat | WB, ELISA |
| CSB-PA171916 | PTPN22 Antibody | Human,Mouse | ELISA,IHC |
| CSB-PA391533 | PTPN22 Antibody | Human,Mouse | ELISA,WB,IHC |
| CSB-PA019036LA01HU | PTPN22 Antibody | Human | ELISA, IF |
| CSB-PA019036LB01HU | PTPN22 Antibody, HRP conjugated | Human | ELISA |
| CSB-PA019036LC01HU | PTPN22 Antibody, FITC conjugated | Human | |
| CSB-PA019036LD01HU | PTPN22 Antibody, Biotin conjugated | Human | ELISA |






