PTK2
PTK2,即蛋白酪氨酸激酶2,別名FAK、FRNK、Fadk、FADK1、p125FAK。它是一種非受體型蛋白酪氨酸激酶,由人體細胞自身的基因編碼,廣泛表達于多種組織中,包括消化系統、中樞神經系統、眼睛、泌尿生殖系統等。PTK2通過其酪氨酸激酶活性,參與細胞的黏附、遷移和增殖等過程,對細胞群增殖、泛素依賴性蛋白質分解過程以及蛋白質磷酸化具有正向調控作用。PTK2在血管形態發生、神經元生成以及肽基酪氨酸自磷酸化等過程中發揮作用,其活性受多種因素的調控,包括細胞外基質、生長因子和細胞內信號分子等。PTK2的功能異常與多種疾病有關,包括平滑肌瘤、肺小細胞癌和肺動脈高壓等,因此,PTK2是藥物開發和疾病治療中的一個潛在靶點 。
熱銷產品
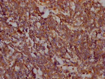
PTK2 Recombinant Monoclonal Antibody (CSB-RA198162A0HU)
驗證數據
IHC image of CSB-RA198162A0HU diluted at 1:100 and staining in paraffin-embedded human lung cancer performed on a Leica BondTM system. After dewaxing and hydration, antigen retrieval was mediated by high pressure in a citrate buffer (pH 6.0). Section was blocked with 10% normal goat serum 30min at RT. Then primary antibody (1% BSA) was incubated at 4℃ overnight. The primary is detected by a Goat anti-rabbit IgG polymer labeled by HRP and visualized using 0.05% DAB.
PTK2 Antibodies
PTK2 for Chicken
| 產品貨號 | 產品名稱 | 種屬反應性 | 應用類型 |
|---|---|---|---|
| CSB-PA14445C0Rb | PTK2 Antibody, FITC conjugated | Chicken | |
| CSB-PA14445A0Rb | PTK2 Antibody | Chicken | ELISA |
PTK2 for Homo sapiens (Human)
| 產品貨號 | 產品名稱 | 種屬反應性 | 應用類型 |
|---|---|---|---|
| CSB-PA018993GA01HU | PTK2 Antibody | Human,Mouse,Rat | ELISA,WB,IHC |
| CSB-PA911015 | Phospho-PTK2 (Tyr861) Antibody | Human,Mouse,Rat | ELISA,WB |
| CSB-PA262237 | Phospho-PTK2 (Tyr925) Antibody | Human,Mouse,Rat | ELISA,WB,IF |
| CSB-PA217230 | Phospho-PTK2 (Tyr576/Tyr577) Antibody | Human,Mouse,Rat | ELISA,WB,IF |
| CSB-PA939147 | PTK2 (Ab-861) Antibody | Human,Mouse,Rat | ELISA,WB,IHC |
| CSB-PA995146 | PTK2 (Ab-925) Antibody | Human,Mouse,Rat | ELISA,WB,IHC,IF |
| CSB-PA910905 | PTK2 (Ab-397) Antibody | Human,Rat | ELISA,WB |
| CSB-PA909266 | Phospho-PTK2 (Tyr397) Antibody | Human,Rat | ELISA,WB |
| CSB-PA077952 | PTK2 (Ab-576/577) Antibody | Human,Mouse,Rat | ELISA,WB,IHC |
| CSB-PA442752 | Phospho-PTK2 (Ser843) Antibody | Human,Mouse,Rat | ELISA,WB |
| CSB-PA011467 | Phospho-PTK2 (Tyr576) Antibody | Human,Mouse,Rat | ELISA,WB |
| CSB-PA576535 | PTK2 (Ab-843) Antibody | Human | ELISA,WB,IHC |
| CSB-PA000526 | Phospho-PTK2 (Y861) Antibody | Human,Mouse,Rat,Monkey | WB, ELISA |
| CSB-PA000702 | Phospho-PTK2 (Y407) Antibody | Human,Mouse,Rat,Monkey | WB, IHC, ELISA |
| CSB-PA000710 | Phospho-PTK2 (Y397) Antibody | Human,Mouse,Rat | WB, IHC, ELISA |
| CSB-PA002465 | PTK2 Antibody | Human,Mouse,Rat | WB, IHC, IF, ELISA |
| CSB-PA002474 | PTK2 Antibody | Human,Mouse,Rat | WB, IHC, IF, ELISA |
| CSB-PA002475 | PTK2 Antibody | Human,Mouse,Rat | WB, IHC, ELISA |
| CSB-PA040071 | Phospho-PTK2 (Y925) Antibody | Human,Mouse,Rat | WB, IHC, ELISA |
| CSB-PA040072 | Phospho-PTK2 (S843) Antibody | Human,Mouse,Rat | WB, ELISA |
| CSB-PA040073 | Phospho-PTK2 (Y397) Antibody | Human,Mouse,Rat | WB, ELISA |
| CSB-PA040074 | Phospho-PTK2 (Y576) Antibody | Human,Mouse,Rat | WB, IHC, ELISA |
| CSB-PA040075 | Phospho-PTK2 (Y577) Antibody | Human,Mouse,Rat | IHC, ELISA |
| CSB-PA040076 | Phospho-PTK2 (S910) Antibody | Human,Mouse,Rat | IHC, IF, ELISA |
| CSB-PA040077 | PTK2 Antibody | Human,Mouse,Rat | WB, IHC, ELISA |
| CSB-PA040078 | PTK2 Antibody | Human,Mouse,Rat | IHC, ELISA |
| CSB-PA040079 | PTK2 Antibody | Human,Mouse,Rat | IHC, ELISA |
| CSB-PA224427 | PTK2 Antibody | Human,Mouse,Rat | ELISA,WB |
| CSB-PA246847 | PTK2 Antibody | Human,Mouse,Rat | ELISA,WB |
| CSB-PA554741 | PTK2 Antibody | Human,Mouse,Rat | ELISA,WB,IHC |
| CSB-PA018994LA01HU | PTK2 Antibody | Human | ELISA, IHC, IF |
| CSB-PA018994LB01HU | PTK2 Antibody, HRP conjugated | Human | ELISA |
| CSB-PA018994LC01HU | PTK2 Antibody, FITC conjugated | Human | |
| CSB-PA018994LD01HU | PTK2 Antibody, Biotin conjugated | Human | ELISA |
| CSB-PA147655 | PTK2 Antibody | Human,Mouse,Rat | IHC,ELISA |
| CSB-RA018994A397phHU | Phospho-PTK2 (Y397) Recombinant Monoclonal Antibody | Human | ELISA, WB |
| CSB-RA198162A0HU | PTK2 Recombinant Monoclonal Antibody | Human | ELISA, IHC |
PTK2 Proteins
PTK2 Proteins for Gallus gallus (Chicken)
| 產品貨號 | 產品名稱 | 來源 |
|---|---|---|
| CSB-YP018993CH CSB-EP018993CH CSB-BP018993CH CSB-MP018993CH CSB-EP018993CH-B |
Recombinant Chicken Focal adhesion kinase 1 (PTK2), partial | Yeast E.coli Baculovirus Mammalian cell In Vivo Biotinylation in E.coli |
| CSB-RP144494CH | Recombinant Chicken Focal adhesion kinase 1 (PTK2), partial | E.coli |
PTK2 Proteins for Mus musculus (Mouse)
| 產品貨號 | 產品名稱 | 來源 |
|---|---|---|
| CSB-YP018993MO CSB-EP018993MO CSB-BP018993MO CSB-MP018993MO CSB-EP018993MO-B |
Recombinant Mouse Focal adhesion kinase 1 (Ptk2), partial | Yeast E.coli Baculovirus Mammalian cell In Vivo Biotinylation in E.coli |
PTK2 Proteins for Rattus norvegicus (Rat)
| 產品貨號 | 產品名稱 | 來源 |
|---|---|---|
| CSB-YP018993RA CSB-EP018993RA CSB-BP018993RA CSB-MP018993RA CSB-EP018993RA-B |
Recombinant Rat Focal adhesion kinase 1 (Ptk2), partial | Yeast E.coli Baculovirus Mammalian cell In Vivo Biotinylation in E.coli |
PTK2 Proteins for Saccharomyces cerevisiae (strain ATCC 204508 / S288c) (Baker's yeast)
| 產品貨號 | 產品名稱 | 來源 |
|---|---|---|
| CSB-YP342859SVG CSB-EP342859SVG CSB-BP342859SVG CSB-MP342859SVG CSB-EP342859SVG-B |
Recombinant Saccharomyces cerevisiae Serine/threonine-protein kinase PTK2/STK2 (PTK2), partial | Yeast E.coli Baculovirus Mammalian cell In Vivo Biotinylation in E.coli |
PTK2 Proteins for Candida glabrata (strain ATCC 2001 / CBS 138 / JCM 3761 / NBRC 0622 / NRRL Y-65) (Yeast) (Torulopsis glabrata)
| 產品貨號 | 產品名稱 | 來源 |
|---|---|---|
| CSB-YP739202CZI CSB-EP739202CZI CSB-BP739202CZI CSB-MP739202CZI CSB-EP739202CZI-B |
Recombinant Candida glabrata Serine/threonine-protein kinase PTK2 (PTK2), partial | Yeast E.coli Baculovirus Mammalian cell In Vivo Biotinylation in E.coli |
PTK2 Proteins for Xenopus laevis (African clawed frog)
| 產品貨號 | 產品名稱 | 來源 |
|---|---|---|
| CSB-YP835520XBE CSB-EP835520XBE CSB-BP835520XBE CSB-MP835520XBE CSB-EP835520XBE-B |
Recombinant Xenopus laevis Focal adhesion kinase 1 (ptk2), partial | Yeast E.coli Baculovirus Mammalian cell In Vivo Biotinylation in E.coli |
PTK2 ELISA Kit
PTK2 ELISA Kit for Gallus gallus (Chicken)
| 產品貨號 | 產品名稱 | 樣本類型 | 靈敏度 |
|---|---|---|---|
| CSB-EL018993CH | Chicken Focal adhesion kinase 1(PTK2) ELISA kit | serum, plasma, tissue homogenates | 11.72pg/ml |






