PSEN1
PSEN1,即早老素-1,別名Presenilin-1、PS-1,源自14號染色體基因。作為γ-分泌酶的關鍵組件,PSEN1參與膜蛋白如APP和Notch的切割加工,影響神經元的生存、分化和突觸可塑性。其異常與阿爾茨海默病等神經退行性疾病緊密相關,可能通過影響Aβ肽段的產生和清除,促進神經毒性和腦內斑塊形成。因此,PSEN1是阿爾茨海默病研究的重點靶標,對其功能和調控機制的深入探索有助于開發新的治療策略,延緩或阻止疾病進展。
熱銷產品
PSEN1 Antibody (CSB-PA018846ESR2HU)
驗證數據
Western blot
All lanes: PSEN1 antibody at 2µg/ml + Hela whole cell lysate
Secondary
Goat polyclonal to rabbit IgG at 1/10000 dilution
Predicted band size: 53, 43, 22, 47, 49 kDa
Observed band size: 53 kDa
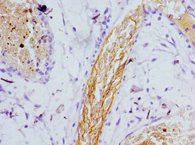
Immunohistochemistry of paraffin-embedded human epityphlon tissue using CSB-PA018846ESR2HU at dilution of 1:100
PSEN1 Antibodies
PSEN1 for Homo sapiens (Human)
| 產品貨號 | 產品名稱 | 種屬反應性 | 應用類型 |
|---|---|---|---|
| CSB-PA018846GA01HU | PSEN1 Antibody | Human,Mouse,Rat | ELISA,WB |
| CSB-PA018846ESR2HU | PSEN1 Antibody | Human | ELISA, WB, IHC |
| CSB-PA695720 | PSEN1 Antibody | Human | ELISA,WB,IHC |
| CSB-PA040014 | Phospho-PSEN1 (S357) Antibody | Human,Mouse,Rat | WB, IHC, ELISA |
| CSB-PA040015 | PSEN1 Antibody | Human,Mouse,Rat | WB, IHC, ELISA |
| CSB-PA040016 | PSEN1 Antibody | Human | WB, IHC, ELISA |
| CSB-PA018846EA01HU | PSEN1 Antibody | Human | ELISA, WB, IHC |
| CSB-PA018846EB01HU | PSEN1 Antibody, HRP conjugated | Human | ELISA |
| CSB-PA018846EC01HU | PSEN1 Antibody, FITC conjugated | Human | |
| CSB-PA018846ED01HU | PSEN1 Antibody, Biotin conjugated | Human | ELISA |
PSEN1 Proteins
PSEN1 Proteins for Rattus norvegicus (Rat)
| 產品貨號 | 產品名稱 | 來源 |
|---|---|---|
| CSB-YP018846RA CSB-EP018846RA CSB-BP018846RA CSB-MP018846RA CSB-EP018846RA-B |
Recombinant Rat Presenilin-1 (Psen1), partial | Yeast E.coli Baculovirus Mammalian cell In Vivo Biotinylation in E.coli |
PSEN1 Proteins for Mus musculus (Mouse)
| 產品貨號 | 產品名稱 | 來源 |
|---|---|---|
| CSB-YP018846MO CSB-EP018846MO CSB-BP018846MO CSB-MP018846MO CSB-EP018846MO-B |
Recombinant Mouse Presenilin-1 (Psen1), partial | Yeast E.coli Baculovirus Mammalian cell In Vivo Biotinylation in E.coli |
PSEN1 Proteins for Homo sapiens (Human)
| 產品貨號 | 產品名稱 | 來源 |
|---|---|---|
| CSB-YP018846HU CSB-EP018846HU CSB-BP018846HU CSB-MP018846HU CSB-EP018846HU-B |
Recombinant Human Presenilin-1 (PSEN1), partial | Yeast E.coli Baculovirus Mammalian cell In Vivo Biotinylation in E.coli |
PSEN1 Proteins for Microcebus murinus (Lesser mouse lemur)
| 產品貨號 | 產品名稱 | 來源 |
|---|---|---|
| CSB-YP018846MFU CSB-EP018846MFU CSB-BP018846MFU CSB-MP018846MFU CSB-EP018846MFU-B |
Recombinant Microcebus murinus Presenilin-1 (PSEN1), partial | Yeast E.coli Baculovirus Mammalian cell In Vivo Biotinylation in E.coli |
PSEN1 Proteins for Xenopus laevis (African clawed frog)
| 產品貨號 | 產品名稱 | 來源 |
|---|---|---|
| CSB-YP018846XBE CSB-EP018846XBE CSB-BP018846XBE CSB-MP018846XBE CSB-EP018846XBE-B |
Recombinant Xenopus laevis Presenilin-1 (psen1), partial | Yeast E.coli Baculovirus Mammalian cell In Vivo Biotinylation in E.coli |
PSEN1 Proteins for Gallus gallus (Chicken)
| 產品貨號 | 產品名稱 | 來源 |
|---|---|---|
| CSB-YP678302CH CSB-EP678302CH CSB-BP678302CH CSB-MP678302CH CSB-EP678302CH-B |
Recombinant Chicken Presenilin-1 (PSEN1), partial | Yeast E.coli Baculovirus Mammalian cell In Vivo Biotinylation in E.coli |
PSEN1 Proteins for Pongo abelii (Sumatran orangutan)
| 產品貨號 | 產品名稱 | 來源 |
|---|---|---|
| CSB-YP735706PYX CSB-EP735706PYX CSB-BP735706PYX CSB-MP735706PYX CSB-EP735706PYX-B |
Recombinant Pongo abelii Presenilin-1 (PSEN1), partial | Yeast E.coli Baculovirus Mammalian cell In Vivo Biotinylation in E.coli |
PSEN1 Proteins for Canis familiaris (Dog) (Canis lupus familiaris)
| 產品貨號 | 產品名稱 | 來源 |
|---|---|---|
| CSB-YP747558DO CSB-EP747558DO CSB-BP747558DO CSB-MP747558DO CSB-EP747558DO-B |
Recombinant Dog Presenilin-1 (PSEN1), partial | Yeast E.coli Baculovirus Mammalian cell In Vivo Biotinylation in E.coli |
PSEN1 Proteins for Macaca fascicularis (Crab-eating macaque) (Cynomolgus monkey)
| 產品貨號 | 產品名稱 | 來源 |
|---|---|---|
| CSB-YP818178MOV CSB-EP818178MOV CSB-BP818178MOV CSB-MP818178MOV CSB-EP818178MOV-B |
Recombinant Macaca fascicularis Presenilin-1 (PSEN1), partial | Yeast E.coli Baculovirus Mammalian cell In Vivo Biotinylation in E.coli |
PSEN1 Proteins for Bos taurus (Bovine)
| 產品貨號 | 產品名稱 | 來源 |
|---|---|---|
| CSB-YP895480BO CSB-EP895480BO CSB-BP895480BO CSB-MP895480BO CSB-EP895480BO-B |
Recombinant Bovine Presenilin-1 (PSEN1), partial | Yeast E.coli Baculovirus Mammalian cell In Vivo Biotinylation in E.coli |
PSEN1 Proteins for Danio rerio (Zebrafish) (Brachydanio rerio)
| 產品貨號 | 產品名稱 | 來源 |
|---|---|---|
| CSB-YP895711DIL CSB-EP895711DIL CSB-BP895711DIL CSB-MP895711DIL CSB-EP895711DIL-B |
Recombinant Danio rerio Presenilin-1 (psen1), partial | Yeast E.coli Baculovirus Mammalian cell In Vivo Biotinylation in E.coli |






