PROC
PROC,全稱為凝血因子XIV/PROC(Prothrombin-related protein C),是一種重要的維生素K依賴性絲氨酸蛋白酶,在血液凝固過程中發揮著關鍵作用。它能夠滅活因子Va和VIIIa,并在鈣離子和磷脂存在的情況下調節凝血級聯反應。PROC蛋白也被稱為凝血酶原相關蛋白C,是凝血酶原的一部分,參與凝血酶的生成。此外,PROC蛋白還與一些腫瘤細胞的生長和轉移有關,以及與某些血栓性疾病的發生發展相關。目前,針對PROC蛋白的藥物研發主要集中在抗血栓領域,例如開發PROC蛋白抑制劑或激活劑,以調節血液凝固過程,預防和治療血栓性疾病。一些抗血栓藥物已經進入臨床試驗階段,顯示出良好的療效和安全性。
熱銷產品
Recombinant Human Vitamin K-dependent protein C(PROC) (CSB-EP018742HU)
驗證數據
(Tris-Glycine gel) Discontinuous SDS-PAGE (reduced) with 5% enrichment gel and 15% separation gel.
PROC Antibody (CSB-PA018742LA01HU)
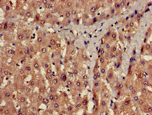
驗證數據
Immunohistochemistry of paraffin-embedded human liver tissue using CSB-PA018742LA01HU at dilution of 1:100
Immunofluorescent analysis of Hela cells using CSB-PA018742LA01HU at dilution of 1:100 and Alexa Fluor 488-congugated AffiniPure Goat Anti-Rabbit IgG(H+L)
Human protein C (PC) ELISA kit (CSB-E09902h)
驗證數據
貨號:CSB-E09902h
規格:96T/48T
靈敏度:0.78 ng/mL
檢測范圍:3.12 ng/mL-200 ng/mL
These standard curves are provided for demonstration only. A standard curve should be generated for each set of samples assayed.
PROC Antibodies
PROC for Homo sapiens (Human)
| 產品貨號 | 產品名稱 | 種屬反應性 | 應用類型 |
|---|---|---|---|
| CSB-PA005152 | PROC Antibody | Human | WB, ELISA |
| CSB-PA018742LA01HU | PROC Antibody | Human | ELISA, IHC, IF |
| CSB-PA018742LB01HU | PROC Antibody, HRP conjugated | Human | ELISA |
| CSB-PA018742LC01HU | PROC Antibody, FITC conjugated | Human | |
| CSB-PA018742LD01HU | PROC Antibody, Biotin conjugated | Human | ELISA |
PROC Proteins
PROC Proteins for Mus musculus (Mouse)
| 產品貨號 | 產品名稱 | 來源 |
|---|---|---|
| CSB-YP018742MO CSB-EP018742MO CSB-BP018742MO CSB-MP018742MO CSB-EP018742MO-B |
Recombinant Mouse Vitamin K-dependent protein C (Proc) | Yeast E.coli Baculovirus Mammalian cell In Vivo Biotinylation in E.coli |
PROC Proteins for Bos taurus (Bovine)
| 產品貨號 | 產品名稱 | 來源 |
|---|---|---|
| CSB-YP018742BO CSB-EP018742BO CSB-BP018742BO CSB-MP018742BO CSB-EP018742BO-B |
Recombinant Bovine Vitamin K-dependent protein C (PROC) | Yeast E.coli Baculovirus Mammalian cell In Vivo Biotinylation in E.coli |
PROC Proteins for Rattus norvegicus (Rat)
| 產品貨號 | 產品名稱 | 來源 |
|---|---|---|
| CSB-YP018742RA | Recombinant Rat Vitamin K-dependent protein C (Proc) | Yeast |
| CSB-EP018742RA CSB-BP018742RA CSB-MP018742RA CSB-EP018742RA-B |
Recombinant Rat Vitamin K-dependent protein C (Proc) | E.coli Baculovirus Mammalian cell In Vivo Biotinylation in E.coli |
PROC Proteins for Homo sapiens (Human)
| 產品貨號 | 產品名稱 | 來源 |
|---|---|---|
| CSB-YP018742HU CSB-BP018742HU CSB-MP018742HU CSB-EP018742HU-B |
Recombinant Human Vitamin K-dependent protein C (PROC) | Yeast Baculovirus Mammalian cell In Vivo Biotinylation in E.coli |
| CSB-EP018742HU | Recombinant Human Vitamin K-dependent protein C(PROC) | E.coli |
| CSB-EP018742HUc7 | Recombinant Human Vitamin K-dependent protein C (PROC) | E.coli |
| CSB-MP018742HU(A4) | Recombinant Human Vitamin K-dependent protein C(PROC) | Mammalian cell |
PROC Proteins for Synechocystis sp. (strain PCC 6803 / Kazusa)
| 產品貨號 | 產品名稱 | 來源 |
|---|---|---|
| CSB-YP305025SSQ CSB-EP305025SSQ CSB-BP305025SSQ CSB-MP305025SSQ CSB-EP305025SSQ-B |
Recombinant Synechocystis sp. Pyrroline-5-carboxylate reductase (proC) | Yeast E.coli Baculovirus Mammalian cell In Vivo Biotinylation in E.coli |
PROC Proteins for Corynebacterium melassecola
| 產品貨號 | 產品名稱 | 來源 |
|---|---|---|
| CSB-YP313394CQK CSB-EP313394CQK CSB-BP313394CQK CSB-MP313394CQK CSB-EP313394CQK-B |
Recombinant Pyrroline-5-carboxylate reductase (proC) | Yeast E.coli Baculovirus Mammalian cell In Vivo Biotinylation in E.coli |
PROC Proteins for Corynebacterium glutamicum (strain ATCC 13032 / DSM 20300 / JCM 1318 / LMG 3730 / NCIMB 10025)
| 產品貨號 | 產品名稱 | 來源 |
|---|---|---|
| CSB-YP314647DWY CSB-EP314647DWY CSB-BP314647DWY CSB-MP314647DWY CSB-EP314647DWY-B |
Recombinant Corynebacterium glutamicum Pyrroline-5-carboxylate reductase (proC) | Yeast E.coli Baculovirus Mammalian cell In Vivo Biotinylation in E.coli |
PROC Proteins for Pseudomonas aeruginosa (strain ATCC 15692 / PAO1 / 1C / PRS 101 / LMG 12228)
| 產品貨號 | 產品名稱 | 來源 |
|---|---|---|
| CSB-YP324302EZX CSB-EP324302EZX CSB-BP324302EZX CSB-MP324302EZX CSB-EP324302EZX-B |
Recombinant Pseudomonas aeruginosa Pyrroline-5-carboxylate reductase (proC) | Yeast E.coli Baculovirus Mammalian cell In Vivo Biotinylation in E.coli |
PROC Proteins for Methanobrevibacter smithii
| 產品貨號 | 產品名稱 | 來源 |
|---|---|---|
| CSB-YP324391MEW CSB-EP324391MEW CSB-BP324391MEW CSB-MP324391MEW CSB-EP324391MEW-B |
Recombinant Pyrroline-5-carboxylate reductase (proC) | Yeast E.coli Baculovirus Mammalian cell In Vivo Biotinylation in E.coli |
PROC Proteins for Treponema pallidum (strain Nichols)
| 產品貨號 | 產品名稱 | 來源 |
|---|---|---|
| CSB-YP326748TPR CSB-EP326748TPR CSB-BP326748TPR CSB-MP326748TPR CSB-EP326748TPR-B |
Recombinant Treponema pallidum Pyrroline-5-carboxylate reductase (proC) | Yeast E.coli Baculovirus Mammalian cell In Vivo Biotinylation in E.coli |
PROC Proteins for Haemophilus influenzae (strain ATCC 51907 / DSM 11121 / KW20 / Rd)
| 產品貨號 | 產品名稱 | 來源 |
|---|---|---|
| CSB-YP331987HTA CSB-EP331987HTA CSB-BP331987HTA CSB-MP331987HTA CSB-EP331987HTA-B |
Recombinant Haemophilus influenzae Pyrroline-5-carboxylate reductase (proC) | Yeast E.coli Baculovirus Mammalian cell In Vivo Biotinylation in E.coli |
PROC Proteins for Mycobacterium leprae
| 產品貨號 | 產品名稱 | 來源 |
|---|---|---|
| CSB-YP342822MVN CSB-EP342822MVN CSB-BP342822MVN CSB-MP342822MVN CSB-EP342822MVN-B |
Recombinant Pyrroline-5-carboxylate reductase (proC) | Yeast E.coli Baculovirus Mammalian cell In Vivo Biotinylation in E.coli |
PROC Proteins for Thermus thermophilus (strain HB27 / ATCC BAA-163 / DSM 7039)
| 產品貨號 | 產品名稱 | 來源 |
|---|---|---|
| CSB-YP346590TNS CSB-EP346590TNS CSB-BP346590TNS CSB-MP346590TNS CSB-EP346590TNS-B |
Recombinant Thermus thermophilus Pyrroline-5-carboxylate reductase (proC) | Yeast E.coli Baculovirus Mammalian cell In Vivo Biotinylation in E.coli |
PROC Proteins for Vibrio alginolyticus
| 產品貨號 | 產品名稱 | 來源 |
|---|---|---|
| CSB-YP346724VEU CSB-EP346724VEU CSB-BP346724VEU CSB-MP346724VEU CSB-EP346724VEU-B |
Recombinant Pyrroline-5-carboxylate reductase (proC) | Yeast E.coli Baculovirus Mammalian cell In Vivo Biotinylation in E.coli |
PROC Proteins for Shigella flexneri
| 產品貨號 | 產品名稱 | 來源 |
|---|---|---|
| CSB-YP359318SZB CSB-EP359318SZB CSB-BP359318SZB CSB-MP359318SZB CSB-EP359318SZB-B |
Recombinant Pyrroline-5-carboxylate reductase (proC) | Yeast E.coli Baculovirus Mammalian cell In Vivo Biotinylation in E.coli |
PROC Proteins for Escherichia coli (strain K12)
| 產品貨號 | 產品名稱 | 來源 |
|---|---|---|
| CSB-YP364351ENV CSB-EP364351ENV CSB-BP364351ENV CSB-MP364351ENV CSB-EP364351ENV-B |
Recombinant Escherichia coli Pyrroline-5-carboxylate reductase (proC) | Yeast E.coli Baculovirus Mammalian cell In Vivo Biotinylation in E.coli |
PROC Proteins for Helicobacter pylori (strain ATCC 700392 / 26695) (Campylobacter pylori)
| 產品貨號 | 產品名稱 | 來源 |
|---|---|---|
| CSB-YP515886HUV CSB-EP515886HUV CSB-BP515886HUV CSB-MP515886HUV CSB-EP515886HUV-B |
Recombinant Helicobacter pylori Pyrroline-5-carboxylate reductase (proC) | Yeast E.coli Baculovirus Mammalian cell In Vivo Biotinylation in E.coli |
PROC Proteins for Aquifex aeolicus (strain VF5)
| 產品貨號 | 產品名稱 | 來源 |
|---|---|---|
| CSB-YP527757DNV CSB-EP527757DNV CSB-BP527757DNV CSB-MP527757DNV CSB-EP527757DNV-B |
Recombinant Aquifex aeolicus Pyrroline-5-carboxylate reductase (proC) | Yeast E.coli Baculovirus Mammalian cell In Vivo Biotinylation in E.coli |
PROC Proteins for Macaca mulatta (Rhesus macaque)
| 產品貨號 | 產品名稱 | 來源 |
|---|---|---|
| CSB-YP632972MOW CSB-EP632972MOW CSB-BP632972MOW CSB-MP632972MOW CSB-EP632972MOW-B |
Recombinant Macaca mulatta Vitamin K-dependent protein C (PROC) | Yeast E.coli Baculovirus Mammalian cell In Vivo Biotinylation in E.coli |
PROC Proteins for Oryctolagus cuniculus (Rabbit)
| 產品貨號 | 產品名稱 | 來源 |
|---|---|---|
| CSB-YP632979RB CSB-EP632979RB CSB-BP632979RB CSB-MP632979RB CSB-EP632979RB-B |
Recombinant Rabbit Vitamin K-dependent protein C (PROC) | Yeast E.coli Baculovirus Mammalian cell In Vivo Biotinylation in E.coli |
PROC Proteins for Canis familiaris (Dog) (Canis lupus familiaris)
| 產品貨號 | 產品名稱 | 來源 |
|---|---|---|
| CSB-YP636715DO CSB-EP636715DO CSB-BP636715DO CSB-MP636715DO CSB-EP636715DO-B |
Recombinant Dog Vitamin K-dependent protein C (PROC) | Yeast E.coli Baculovirus Mammalian cell In Vivo Biotinylation in E.coli |
PROC Proteins for Capra hircus (Goat)
| 產品貨號 | 產品名稱 | 來源 |
|---|---|---|
| CSB-YP638925GO CSB-EP638925GO CSB-BP638925GO CSB-MP638925GO CSB-EP638925GO-B |
Recombinant Goat Vitamin K-dependent protein C (PROC) | Yeast E.coli Baculovirus Mammalian cell In Vivo Biotinylation in E.coli |
PROC Proteins for Equus caballus (Horse)
| 產品貨號 | 產品名稱 | 來源 |
|---|---|---|
| CSB-YP638928HO CSB-EP638928HO CSB-BP638928HO CSB-MP638928HO CSB-EP638928HO-B |
Recombinant Horse Vitamin K-dependent protein C (PROC) | Yeast E.coli Baculovirus Mammalian cell In Vivo Biotinylation in E.coli |
PROC Proteins for Felis catus (Cat) (Felis silvestris catus)
| 產品貨號 | 產品名稱 | 來源 |
|---|---|---|
| CSB-YP638930CA CSB-EP638930CA CSB-BP638930CA CSB-MP638930CA CSB-EP638930CA-B |
Recombinant Cat Vitamin K-dependent protein C (PROC) | Yeast E.coli Baculovirus Mammalian cell In Vivo Biotinylation in E.coli |
PROC Proteins for Staphylococcus saprophyticus subsp. saprophyticus (strain ATCC 15305 / DSM 20229)
| 產品貨號 | 產品名稱 | 來源 |
|---|---|---|
| CSB-YP672157SBAG CSB-EP672157SBAG CSB-BP672157SBAG CSB-MP672157SBAG CSB-EP672157SBAG-B |
Recombinant Staphylococcus saprophyticus subsp. saprophyticus Pyrroline-5-carboxylate reductase (proC) | Yeast E.coli Baculovirus Mammalian cell In Vivo Biotinylation in E.coli |
PROC Proteins for Staphylococcus haemolyticus (strain JCSC1435)
| 產品貨號 | 產品名稱 | 來源 |
|---|---|---|
| CSB-YP680363SBAH CSB-EP680363SBAH CSB-BP680363SBAH CSB-MP680363SBAH CSB-EP680363SBAH-B |
Recombinant Staphylococcus haemolyticus Pyrroline-5-carboxylate reductase (proC) | Yeast E.coli Baculovirus Mammalian cell In Vivo Biotinylation in E.coli |
PROC Proteins for Staphylococcus epidermidis (strain ATCC 35984 / RP62A)
| 產品貨號 | 產品名稱 | 來源 |
|---|---|---|
| CSB-YP689153SAAA CSB-EP689153SAAA CSB-BP689153SAAA CSB-MP689153SAAA CSB-EP689153SAAA-B |
Recombinant Staphylococcus epidermidis Pyrroline-5-carboxylate reductase (proC) | Yeast E.coli Baculovirus Mammalian cell In Vivo Biotinylation in E.coli |
PROC Proteins for Staphylococcus aureus (strain COL)
| 產品貨號 | 產品名稱 | 來源 |
|---|---|---|
| CSB-YP711170FLB CSB-EP711170FLB CSB-BP711170FLB CSB-MP711170FLB CSB-EP711170FLB-B |
Recombinant Staphylococcus aureus Pyrroline-5-carboxylate reductase (proC) | Yeast E.coli Baculovirus Mammalian cell In Vivo Biotinylation in E.coli |
PROC Proteins for Staphylococcus aureus (strain MRSA252)
| 產品貨號 | 產品名稱 | 來源 |
|---|---|---|
| CSB-YP746717SKV CSB-EP746717SKV CSB-BP746717SKV CSB-MP746717SKV CSB-EP746717SKV-B |
Recombinant Staphylococcus aureus Pyrroline-5-carboxylate reductase (proC) | Yeast E.coli Baculovirus Mammalian cell In Vivo Biotinylation in E.coli |
PROC Proteins for Staphylococcus aureus (strain N315)
| 產品貨號 | 產品名稱 | 來源 |
|---|---|---|
| CSB-YP748572SKY CSB-EP748572SKY CSB-BP748572SKY CSB-MP748572SKY CSB-EP748572SKY-B |
Recombinant Staphylococcus aureus Pyrroline-5-carboxylate reductase (proC) | Yeast E.coli Baculovirus Mammalian cell In Vivo Biotinylation in E.coli |
PROC Proteins for Staphylococcus aureus (strain MW2)
| 產品貨號 | 產品名稱 | 來源 |
|---|---|---|
| CSB-YP755302SUL CSB-EP755302SUL CSB-BP755302SUL CSB-MP755302SUL CSB-EP755302SUL-B |
Recombinant Staphylococcus aureus Pyrroline-5-carboxylate reductase (proC) | Yeast E.coli Baculovirus Mammalian cell In Vivo Biotinylation in E.coli |
PROC Proteins for Staphylococcus aureus (strain MSSA476)
| 產品貨號 | 產品名稱 | 來源 |
|---|---|---|
| CSB-YP756771SKW CSB-EP756771SKW CSB-BP756771SKW CSB-MP756771SKW CSB-EP756771SKW-B |
Recombinant Staphylococcus aureus Pyrroline-5-carboxylate reductase (proC) | Yeast E.coli Baculovirus Mammalian cell In Vivo Biotinylation in E.coli |
PROC Proteins for Staphylococcus epidermidis (strain ATCC 12228)
| 產品貨號 | 產品名稱 | 來源 |
|---|---|---|
| CSB-YP809333SLD CSB-EP809333SLD CSB-BP809333SLD CSB-MP809333SLD CSB-EP809333SLD-B |
Recombinant Staphylococcus epidermidis Pyrroline-5-carboxylate reductase (proC) | Yeast E.coli Baculovirus Mammalian cell In Vivo Biotinylation in E.coli |
PROC Proteins for Dictyostelium discoideum (Slime mold)
| 產品貨號 | 產品名稱 | 來源 |
|---|---|---|
| CSB-YP851520DKK CSB-EP851520DKK CSB-BP851520DKK CSB-MP851520DKK CSB-EP851520DKK-B |
Recombinant Dictyostelium discoideum Profilin-3 (proC) | Yeast E.coli Baculovirus Mammalian cell In Vivo Biotinylation in E.coli |
PROC Proteins for Staphylococcus aureus (strain Mu50 / ATCC 700699)
| 產品貨號 | 產品名稱 | 來源 |
|---|---|---|
| CSB-YP859193SKX CSB-EP859193SKX CSB-BP859193SKX CSB-MP859193SKX CSB-EP859193SKX-B |
Recombinant Staphylococcus aureus Pyrroline-5-carboxylate reductase (proC) | Yeast E.coli Baculovirus Mammalian cell In Vivo Biotinylation in E.coli |
PROC Proteins for Pasteurella multocida (strain Pm70)
| 產品貨號 | 產品名稱 | 來源 |
|---|---|---|
| CSB-YP863398ESG CSB-EP863398ESG CSB-BP863398ESG CSB-MP863398ESG CSB-EP863398ESG-B |
Recombinant Pasteurella multocida Pyrroline-5-carboxylate reductase (proC) | Yeast E.coli Baculovirus Mammalian cell In Vivo Biotinylation in E.coli |
PROC Proteins for Methanosarcina acetivorans (strain ATCC 35395 / DSM 2834 / JCM 12185 / C2A)
| 產品貨號 | 產品名稱 | 來源 |
|---|---|---|
| CSB-YP867237MFB CSB-EP867237MFB CSB-BP867237MFB CSB-MP867237MFB CSB-EP867237MFB-B |
Recombinant Methanosarcina acetivorans Pyrroline-5-carboxylate reductase (proC) | Yeast E.coli Baculovirus Mammalian cell In Vivo Biotinylation in E.coli |
PROC Proteins for Sus scrofa (Pig)
| 產品貨號 | 產品名稱 | 來源 |
|---|---|---|
| CSB-YP880899PI CSB-EP880899PI CSB-BP880899PI CSB-MP880899PI CSB-EP880899PI-B |
Recombinant Pig Vitamin K-dependent protein C (PROC) | Yeast E.coli Baculovirus Mammalian cell In Vivo Biotinylation in E.coli |
PROC Proteins for Mycobacterium tuberculosis
| 產品貨號 | 產品名稱 | 來源 |
|---|---|---|
| CSB-EP607537MVZ | Recombinant Pyrroline-5-carboxylate reductase (proC) | E.coli |
PROC ELISA Kit
PROC ELISA Kit for Homo sapiens (Human)
| 產品貨號 | 產品名稱 | 樣本類型 | 靈敏度 |
|---|---|---|---|
| CSB-E09902h | Human protein C (PC) ELISA kit | serum, plasma, tissue homogenates | 0.78 ng/mL |
PROC ELISA Kit for Mus musculus (Mouse)
| 產品貨號 | 產品名稱 | 樣本類型 | 靈敏度 |
|---|---|---|---|
| CSB-E13585m | Mouse protein C (PC) ELISA kit | serum, plasma, tissue homogenates | 0.625 ng/ml |






