PRNP
PRNP,即朊蛋白前體,別名AltPrP、ASCR、CD230。它是一種由PRNP基因編碼的蛋白質,廣泛存在于人體多種組織中,尤其在中樞神經系統。PRNP的作用機制涉及其正常形式PrPC參與細胞黏附和信號傳導,而當PrPC錯誤折疊成PrPSc時,會形成淀粉樣纖維并積累,引發神經細胞損傷。PRNP的生物學意義在于其與多種神經退行性疾病密切相關,尤其是朊病毒病,如克雅氏病等,這些疾病由PrPSc的異常聚集導致,目前尚缺乏有效治療手段,使PRNP成為神經科學研究的重要靶點。
熱銷產品
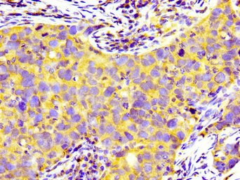
PRNP Antibody (CSB-PA018739LA01HU)
驗證數據
Immunohistochemistry of paraffin-embedded human pancreatic cancer using CSB-PA018739LA01HU at dilution of 1:100
Immunofluorescent analysis of PC-3 cells using CSB-PA018739LA01HU at dilution of 1:100 and Alexa Fluor 488-congugated AffiniPure Goat Anti-Rabbit IgG(H+L)
Human Major prion protein(PRNP) ELISA kit (CSB-EL018739HU)
驗證數據
貨號:CSB-EL018739HU
規格:96T/48T
靈敏度:0.078 ng/mL
檢測范圍:0.312 ng/mL-20 ng/mL
These standard curves are provided for demonstration only. A standard curve should be generated for each set of samples assayed.
PRNP Antibodies
PRNP for Homo sapiens (Human)
| 產品貨號 | 產品名稱 | 種屬反應性 | 應用類型 |
|---|---|---|---|
| CSB-PA018739GA01HU | PRNP Antibody | Human,Mouse,Rat | ELISA,WB,IHC |
| CSB-PA018739LA01HU | PRNP Antibody | Human | ELISA, IHC, IF |
| CSB-PA018739LB01HU | PRNP Antibody, HRP conjugated | Human | ELISA |
| CSB-PA018739LC01HU | PRNP Antibody, FITC conjugated | Human | |
| CSB-PA018739LD01HU | PRNP Antibody, Biotin conjugated | Human | ELISA |
PRNP ELISA Kit
PRNP ELISA Kit for Homo sapiens (Human)
| 產品貨號 | 產品名稱 | 樣本類型 | 靈敏度 |
|---|---|---|---|
| CSB-EL018739HU | Human Major prion protein(PRNP) ELISA kit | serum, plasma, tissue homogenates | 0.078 ng/mL |






