PRDX1
過氧化物氧還原蛋白酶1,簡稱PRDX1,是一種重要的細胞內抗氧化蛋白,屬于谷胱甘肽過氧化物酶家族。它能夠催化還原性谷胱甘肽(GSH)與過氧化氫(H2O2)之間的氧化還原反應,從而清除細胞內的過氧化物,保護細胞免受氧化損傷。PRDX1在多種生物過程中發揮重要作用,包括炎癥反應、細胞增殖和分化等。研究表明,PRDX1的表達與多種疾病相關,如癌癥、神經退行性疾病和心血管疾病等。近年來,PRDX1在疾病診斷和治療中的應用也引起了廣泛關注。例如,PRDX1的表達水平可以作為某些癌癥的生物標志物,而針對PRDX1的藥物研發也取得了一定的進展,例如,一些小分子化合物可以抑制PRDX1的活性,從而增強細胞的抗氧化能力,用于治療氧化損傷相關的疾病。
熱銷產品
Recombinant Human Peroxiredoxin-1(PRDX1) (CSB-EP018653HUb1)
驗證數據
(Tris-Glycine gel) Discontinuous SDS-PAGE (reduced) with 5% enrichment gel and 15% separation gel.
PRDX1 Recombinant Monoclonal Antibody (CSB-RA571559A0HU)
驗證數據
Flow cytometric analysis of peroxiredoxin 1 expression in HepG2 cells using peroxiredoxin 1 antibody. Green, isotype control; red, peroxiredoxin 1.
Western blotting analysis using peroxiredoxin 1 antibody. Total cell lysates (30 μg) from various cell lines were loaded and separated by SDS-PAGE. The blot was incubated with peroxiredoxin 1 antibody and HRP-conjugated goat anti-rabbit secondary antibody respectively.
PRDX1 Antibody (CSB-PA01165A0Rb)
驗證數據
Western blot
All lanes: PRDX1 antibody at 2µg/ml
Lane 1: EC109 whole cell lysate
Lane 2: 293T whole cell lysate
Secondary
Goat polyclonal to rabbit IgG at 1/15000 dilution
Predicted band size: 23 kDa
Observed band size: 23 kDa
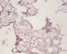
Immunohistochemistry of paraffin-embedded human placenta tissue using CSB-PA01165A0Rb at dilution of 1:50
Immunofluorescent analysis of HepG2 cells using CSB-PA01165A0Rb at dilution of 1:100 and Alexa Fluor 488-congugated AffiniPure Goat Anti-Rabbit IgG(H+L)
Human Peroxiredoxin-1(PRDX1) ELISA kit (CSB-EL018653HU)
驗證數據
貨號:CSB-EL018653HU
規格:96T/48T
靈敏度:0.78 ng/mL
檢測范圍:3.12 ng/mL-200 ng/mL
These standard curves are provided for demonstration only. A standard curve should be generated for each set of samples assayed.
PRDX1 Antibodies
PRDX1 for Homo sapiens (Human)
| 產品貨號 | 產品名稱 | 種屬反應性 | 應用類型 |
|---|---|---|---|
| CSB-PA018653GA01HU | PRDX1 Antibody | Human,Mouse,Rat | ELISA,WB,IHC,IF |
| CSB-PA01165D0Rb | PRDX1 Antibody, Biotin conjugated | Human | ELISA |
| CSB-PA01165A0Rb | PRDX1 Antibody | Human | ELISA, WB, IHC, IF |
| CSB-PA01165C0Rb | PRDX1 Antibody, FITC conjugated | Human | |
| CSB-PA018653ESR2HU | PRDX1 Antibody | Human | ELISA, WB, IHC |
| CSB-PA018653ESR1HU | PRDX1 Antibody | Human | ELISA, IHC |
| CSB-PA005818 | PRDX1 Antibody | Human,Mouse,Rat | WB, ELISA |
| CSB-PA080143 | PRDX1 Antibody | Human,Mouse,Rat | WB, IHC |
| CSB-PA912013 | PRDX1 Antibody | Human,Mouse,Rat | ELISA,WB,IHC |
| CSB-PA780249 | PRDX1 Antibody | Human,Mouse,Rat | ELISA,WB,IHC |
| CSB-RA947589A0HU | PRDX1 Recombinant Monoclonal Antibody | Human | ELISA, IHC, FC |
| CSB-RA571559A0HU | PRDX1 Recombinant Monoclonal Antibody | Human, Mouse | ELISA, WB, FC |
PRDX1 for H, M, R
| 產品貨號 | 產品名稱 | 種屬反應性 | 應用類型 |
|---|---|---|---|
| CSB-MA000271 | PRDX1 Monoclonal Antibody | Human,Mouse,Rat | ELISA,WB,IHC,IF |
PRDX1 Proteins
PRDX1 Proteins for Gallus gallus (Chicken)
| 產品貨號 | 產品名稱 | 來源 |
|---|---|---|
| CSB-YP018653CH CSB-EP018653CH CSB-BP018653CH CSB-MP018653CH CSB-EP018653CH-B |
Recombinant Chicken Peroxiredoxin-1 (PRDX1) | Yeast E.coli Baculovirus Mammalian cell In Vivo Biotinylation in E.coli |
PRDX1 Proteins for Mus musculus (Mouse)
| 產品貨號 | 產品名稱 | 來源 |
|---|---|---|
| CSB-YP018653MO CSB-EP018653MO CSB-BP018653MO CSB-MP018653MO CSB-EP018653MO-B |
Recombinant Mouse Peroxiredoxin-1 (Prdx1) | Yeast E.coli Baculovirus Mammalian cell In Vivo Biotinylation in E.coli |
PRDX1 Proteins for Homo sapiens (Human)
| 產品貨號 | 產品名稱 | 來源 |
|---|---|---|
| CSB-EP018653HUe0 | Recombinant Human Peroxiredoxin-1 (PRDX1) | E.coli |
| CSB-EP018653HU | Recombinant Human Peroxiredoxin-1 (PRDX1) | E.coli |
| CSB-YP018653HU | Recombinant Human Peroxiredoxin-1 (PRDX1) | Yeast |
| CSB-YP018653HUa0 | Recombinant Human Peroxiredoxin-1 (PRDX1) | Yeast |
PRDX1 Proteins for Bos taurus (Bovine)
| 產品貨號 | 產品名稱 | 來源 |
|---|---|---|
| CSB-YP685708BO CSB-EP685708BO CSB-BP685708BO CSB-MP685708BO CSB-EP685708BO-B |
Recombinant Bovine Peroxiredoxin-1 (PRDX1) | Yeast E.coli Baculovirus Mammalian cell In Vivo Biotinylation in E.coli |
PRDX1 Proteins for Gecko japonicus (Japanese gecko)
| 產品貨號 | 產品名稱 | 來源 |
|---|---|---|
| CSB-YP718795GEG CSB-EP718795GEG CSB-BP718795GEG CSB-MP718795GEG CSB-EP718795GEG-B |
Recombinant Gecko japonicus Peroxiredoxin-1 (PRDX1) | Yeast E.coli Baculovirus Mammalian cell In Vivo Biotinylation in E.coli |
PRDX1 Proteins for Myotis lucifugus (Little brown bat)
| 產品貨號 | 產品名稱 | 來源 |
|---|---|---|
| CSB-YP724533MWS CSB-EP724533MWS CSB-BP724533MWS CSB-MP724533MWS CSB-EP724533MWS-B |
Recombinant Myotis lucifugus Peroxiredoxin-1 (PRDX1) | Yeast E.coli Baculovirus Mammalian cell In Vivo Biotinylation in E.coli |
PRDX1 Proteins for Rattus norvegicus (Rat)
| 產品貨號 | 產品名稱 | 來源 |
|---|---|---|
| CSB-YP737225RA CSB-EP737225RA CSB-BP737225RA CSB-MP737225RA CSB-EP737225RA-B |
Recombinant Rat Peroxiredoxin-1 (Prdx1) | Yeast E.coli Baculovirus Mammalian cell In Vivo Biotinylation in E.coli |
PRDX1 Proteins for Cricetulus griseus (Chinese hamster) (Cricetulus barabensis griseus)
| 產品貨號 | 產品名稱 | 來源 |
|---|---|---|
| CSB-YP872876DXU | Recombinant Cricetulus griseus Peroxiredoxin-1 (PRDX1) | Yeast |
| CSB-EP872876DXU | Recombinant Cricetulus griseus Peroxiredoxin-1 (PRDX1) | E.coli |
| CSB-BP872876DXU CSB-MP872876DXU CSB-EP872876DXU-B |
Recombinant Cricetulus griseus Peroxiredoxin-1 (PRDX1) | Baculovirus Mammalian cell In Vivo Biotinylation in E.coli |
PRDX1 ELISA Kit
PRDX1 ELISA Kit for Homo sapiens (Human)
| 產品貨號 | 產品名稱 | 樣本類型 | 靈敏度 |
|---|---|---|---|
| CSB-EL018653HU | Human Peroxiredoxin-1(PRDX1) ELISA kit | serum, plasma, tissue homogenates, cell lysates | 0.78 ng/mL |
PRDX1 ELISA Kit for Mus musculus (Mouse)
| 產品貨號 | 產品名稱 | 樣本類型 | 靈敏度 |
|---|---|---|---|
| CSB-EL018653MO | Mouse Peroxiredoxin-1(PRDX1) ELISA kit | serum, plasma, tissue homogenates | 0.078 ng/mL |






