PPP6C
PPP6C,全稱為絲氨酸/蘇氨酸蛋白磷酸酶6催化亞基,也被稱為蛋白磷酸酶6。該蛋白在細胞內發揮著重要的調節作用,主要參與細胞信號傳導和代謝調控。PPP6C通過調節下游信號通路,影響細胞的生長、分化和凋亡。在代謝功能障礙相關脂肪性肝炎(MASH)等疾病中,PPP6C的表達水平降低,其活性調節在疾病進程中發揮重要作用。目前,針對PPP6C的藥物研發正在逐步推進,有望為肝纖維化和MASH的治療提供新的策略和潛在治療靶點。
熱銷產品
PPP6C Antibody (CSB-PA018583LA01HU)
驗證數據
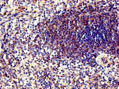
Immunohistochemistry of paraffin-embedded human spleen tissue using CSB-PA018583LA01HU at dilution of 1:100
Immunofluorescent analysis of HepG2 cells using CSB-PA018583LA01HU at dilution of 1:100 and Alexa Fluor 488-congugated AffiniPure Goat Anti-Rabbit IgG(H+L)
PPP6C Antibodies
PPP6C for Homo sapiens (Human)
| 產品貨號 | 產品名稱 | 種屬反應性 | 應用類型 |
|---|---|---|---|
| CSB-PA018583GA01HU | PPP6C Antibody | Human,Mouse,Rat | ELISA,WB |
| CSB-PA018583LA01HU | PPP6C Antibody | Human | ELISA, IHC, IF |
| CSB-PA018583LB01HU | PPP6C Antibody, HRP conjugated | Human | ELISA |
| CSB-PA018583LC01HU | PPP6C Antibody, FITC conjugated | Human | |
| CSB-PA018583LD01HU | PPP6C Antibody, Biotin conjugated | Human | ELISA |
PPP6C Proteins
PPP6C Proteins for Homo sapiens (Human)
| 產品貨號 | 產品名稱 | 來源 |
|---|---|---|
| CSB-YP018583HU CSB-BP018583HU CSB-MP018583HU CSB-EP018583HU-B |
Recombinant Human Serine/threonine-protein phosphatase 6 catalytic subunit (PPP6C) | Yeast Baculovirus Mammalian cell In Vivo Biotinylation in E.coli |
PPP6C Proteins for Rattus norvegicus (Rat)
| 產品貨號 | 產品名稱 | 來源 |
|---|---|---|
| CSB-YP720689RA CSB-EP720689RA CSB-BP720689RA CSB-MP720689RA CSB-EP720689RA-B |
Recombinant Rat Serine/threonine-protein phosphatase 6 catalytic subunit (Ppp6c) | Yeast E.coli Baculovirus Mammalian cell In Vivo Biotinylation in E.coli |
PPP6C Proteins for Mus musculus (Mouse)
| 產品貨號 | 產品名稱 | 來源 |
|---|---|---|
| CSB-YP863425MO CSB-EP863425MO CSB-BP863425MO CSB-MP863425MO CSB-EP863425MO-B |
Recombinant Mouse Serine/threonine-protein phosphatase 6 catalytic subunit (Ppp6c) | Yeast E.coli Baculovirus Mammalian cell In Vivo Biotinylation in E.coli |
PPP6C Proteins for Dictyostelium discoideum (Slime mold)
| 產品貨號 | 產品名稱 | 來源 |
|---|---|---|
| CSB-YP871372DKK CSB-EP871372DKK CSB-BP871372DKK CSB-MP871372DKK CSB-EP871372DKK-B |
Recombinant Dictyostelium discoideum Serine/threonine-protein phosphatase 6 catalytic subunit (ppp6c) | Yeast E.coli Baculovirus Mammalian cell In Vivo Biotinylation in E.coli |






