PPARD
PPARD,即過氧化物酶體增殖物激活受體δ,別名PPARδ、NR1C2。PPARD是一種核受體,屬于PPAR家族成員之一,由人體細胞自身的基因編碼。PPARD在多種組織中都有表達,尤其在心臟、骨骼肌、肝臟和脂肪組織中表達量較高。其作用機制主要是通過與特定的配體結合,如脂肪酸和其衍生物,激活受體,形成異源二聚體與DNA上的PPAR響應元件(PPREs)結合,調控下游基因的表達。PPARD在生物學上的意義非常廣泛,它參與調節脂肪酸的氧化、能量代謝、炎癥反應和細胞分化等多種生理過程。PPARD的激活可以促進脂肪酸的氧化,提高能量效率,同時抑制炎癥反應,對心血管健康具有保護作用。此外,PPARD還與肥胖、糖尿病、動脈粥樣硬化等代謝性疾病的發生發展密切相關。PPARD的激動劑,如貝特類藥物,已被用于治療高脂血癥和心血管疾病,顯示出其在代謝調節中的潛在治療價值。因此,PPARD是代謝性疾病研究和治療中的一個重要靶點。
熱銷產品
驗證數據
(Tris-Glycine gel) Discontinuous SDS-PAGE (reduced) with 5% enrichment gel and 15% separation gel.
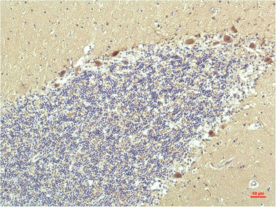
PPARD Monoclonal Antibody (CSB-MA294484)
驗證數據
Immunohistochemical analysis of paraffin-embedded Human Brain Tissue using PPAR Delta Mouse mAb diluted at 1:200.
Immunohistochemical analysis of paraffin-embedded Mouse Brain Tissue using PPAR Delta Mouse mAb diluted at 1:200.
PPARD Antibodies
PPARD for Homo sapiens (Human)
| 產品貨號 | 產品名稱 | 種屬反應性 | 應用類型 |
|---|---|---|---|
| CSB-PA018423GA01HU | PPARD Antibody | Human,Mouse,Rat | ELISA,WB,IHC |
| CSB-PA565092 | PPARD Antibody | Human,Mouse | ELISA,WB |
| CSB-MA294484 | PPARD Monoclonal Antibody | Human,Mouse,Rat | ELISA,IHC |
| CSB-MA662949 | PPARD Monoclonal Antibody | Human,Mouse,Rat | ELISA,IHC |
PPARD Proteins
PPARD Proteins for Mus musculus (Mouse)
| 產品貨號 | 產品名稱 | 來源 |
|---|---|---|
| CSB-YP018423MO CSB-EP018423MO CSB-BP018423MO CSB-MP018423MO CSB-EP018423MO-B |
Recombinant Mouse Peroxisome proliferator-activated receptor delta (Ppard) | Yeast E.coli Baculovirus Mammalian cell In Vivo Biotinylation in E.coli |
PPARD Proteins for Xenopus laevis (African clawed frog)
| 產品貨號 | 產品名稱 | 來源 |
|---|---|---|
| CSB-YP018423XBE CSB-EP018423XBE CSB-BP018423XBE CSB-MP018423XBE CSB-EP018423XBE-B |
Recombinant Xenopus laevis Peroxisome proliferator-activated receptor delta (ppard) | Yeast E.coli Baculovirus Mammalian cell In Vivo Biotinylation in E.coli |
PPARD Proteins for Canis familiaris (Dog) (Canis lupus familiaris)
| 產品貨號 | 產品名稱 | 來源 |
|---|---|---|
| CSB-YP018423DO CSB-EP018423DO CSB-BP018423DO CSB-MP018423DO CSB-EP018423DO-B |
Recombinant Dog Peroxisome proliferator-activated receptor delta (PPARD) | Yeast E.coli Baculovirus Mammalian cell In Vivo Biotinylation in E.coli |
PPARD Proteins for Homo sapiens (Human)
| 產品貨號 | 產品名稱 | 來源 |
|---|---|---|
| CSB-EP018423HU1 | Recombinant Human Peroxisome proliferator-activated receptor delta (Ppard), partial | E.coli |
| CSB-EP018423HU2 | Recombinant Human Peroxisome proliferator-activated receptor delta (PPARD), partial | E.coli |
| CSB-EP018423HU2a2 | Recombinant Human Peroxisome proliferator-activated receptor delta (PPARD), partial | E.coli |






