POLE
POLE,即DNA聚合酶ε,別名POLE1。POLE基因編碼的DNA聚合酶ε是DNA復制過程中的關鍵酶,它負責在DNA復制叉處添加新的核苷酸,并具有校對功能,以確保復制的準確性。POLE的作用機制涉及其聚合酶活性和校正活性,其中校對功能通過其外切酶域實現,能夠識別并切除錯誤的核苷酸配對。POLE基因突變,尤其是外切酶域的突變,會導致DNA復制過程中的錯誤不能被及時糾正,從而引起高突變負荷(hypermutagenesis),增加腫瘤發生的風險。POLE突變與多種腫瘤的發生發展有關,包括子宮內膜癌、結直腸癌、非小細胞肺癌等。POLE突變型腫瘤因其高突變負荷和可能產生的新抗原而成為免疫治療的潛在候選者。POLE突變檢測在腫瘤的診斷、預后評估和治療選擇中具有重要意義。
熱銷產品
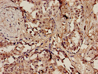
POLE Antibody (CSB-PA894382LA01HU)
驗證數據
Immunohistochemistry analysis of human breast cancer using CSB-PA894382LA01HU at dilution of 1:100
Immunofluorescent analysis of Hela cells using CSB-PA894382LA01HU at dilution of 1:100 and Alexa Fluor 488-congugated AffiniPure Goat Anti-Rabbit IgG(H+L)
POLE Antibodies
POLE for Homo sapiens (Human)
| 產品貨號 | 產品名稱 | 種屬反應性 | 應用類型 |
|---|---|---|---|
| CSB-PA824463 | POLE Antibody | Human,Mouse | ELISA,IHC |
| CSB-PA030113 | POLE Antibody | Human,Rat | IHC, ELISA |
| CSB-PA894382LA01HU | POLE Antibody | Human | ELISA, IHC, IF |
| CSB-PA894382LB01HU | POLE Antibody, HRP conjugated | Human | ELISA |
| CSB-PA894382LC01HU | POLE Antibody, FITC conjugated | Human | |
| CSB-PA894382LD01HU | POLE Antibody, Biotin conjugated | Human | ELISA |
POLE Proteins
POLE Proteins for Dictyostelium discoideum (Slime mold)
| 產品貨號 | 產品名稱 | 來源 |
|---|---|---|
| CSB-YP687703DKK CSB-EP687703DKK CSB-BP687703DKK CSB-MP687703DKK CSB-EP687703DKK-B |
Recombinant Dictyostelium discoideum DNA polymerase epsilon catalytic subunit A (pole), partial | Yeast E.coli Baculovirus Mammalian cell In Vivo Biotinylation in E.coli |
POLE Proteins for Mus musculus (Mouse)
| 產品貨號 | 產品名稱 | 來源 |
|---|---|---|
| CSB-YP894382MO CSB-EP894382MO CSB-BP894382MO CSB-MP894382MO CSB-EP894382MO-B |
Recombinant Mouse DNA polymerase epsilon catalytic subunit A (Pole), partial | Yeast E.coli Baculovirus Mammalian cell In Vivo Biotinylation in E.coli |






