PODXL
PODXL,全名為Podocalyxin-like,常見別名為CD34相關蛋白。該蛋白主要表達于血管內皮細胞,具有調節細胞粘附和遷移的功能。PODXL通過影響細胞表面電荷分布,參與血管的穩定性和通透性調節。在生理狀態下,它有助于維持正常的血管結構和功能。然而,當PODXL表達異常時,可能與多種疾病的發生發展相關,如癌癥轉移、動脈粥樣硬化等。近年來,針對PODXL的藥物研發取得了一定進展,例如通過抑制PODXL的表達或活性,來阻止腫瘤細胞的侵襲和轉移。此外,一些抗血管生成藥物也顯示出與PODXL相互作用的潛力,為相關疾病的治療提供了新的思路。
熱銷產品
Recombinant Human Podocalyxin (PODXL), partial (CSB-YP518830HU)
驗證數據
(Tris-Glycine gel) Discontinuous SDS-PAGE (reduced) with 5% enrichment gel and 15% separation gel.
Based on the SEQUEST from database of Yeast host and target protein, the LC-MS/MS Analysis result of CSB-YP518830HU could indicate that this peptide derived from Yeast-expressed Homo sapiens (Human) PODXL.
Based on the SEQUEST from database of Yeast host and target protein, the LC-MS/MS Analysis result of CSB-YP518830HU could indicate that this peptide derived from Yeast-expressed Homo sapiens (Human) PODXL.
PODXL Monoclonal Antibody (CSB-MA134471A0m)
驗證數據
Western Blot
Positive WB detected in: Hela whole cell lysate, HEK293 whole cell lysate
All lanes: PODXL antibody at 2.5µg/ml
Secondary
Goat polyclonal to Mouse IgG at 1/5000 dilution
Predicted band size: 59, 56 kDa
Observed band size: 59 kDa
Western Blot
Positive WB detected in: A549 whole cell lysate
All lanes: PODXL antibody at 2.5µg/ml
Secondary
Goat polyclonal to Mouse IgG at 1/5000 dilution
Predicted band size: 59, 56 kDa
Observed band size: 59 kDa
Western Blot
Positive WB detected in: Mouse brain tissue
All lanes: PODXL antibody at 0.43µg/ml
Secondary
Goat polyclonal to Mouse IgG at 1/5000 dilution
Predicted band size: 59, 56 kDa
Observed band size: 59 kDa
Western Blot
Positive WB detected in: Rat brain tissue, Rat heart tissue, Rat kidney tissue
All lanes: PODXL antibody at 1.28µg/ml
Secondary
Goat polyclonal to Mouse IgG at 1/5000 dilution
Predicted band size: 59, 56 kDa
Observed band size: 59 kDa
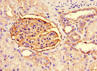
Immunohistochemistry of paraffin-embedded human kidney tissue using CSB-MA134471A0m at dilution of 1:200
Immunohistochemistry of paraffin-embedded human melanoma using CSB-MA134471A0m at dilution of 1:200
Immunofluorescent analysis of Hela cells using CSB-MA134471A0m at a dilution of 1:100 and Alexa Fluor 488-congugated AffiniPure Goat Anti-Mouse IgG(H+L).
Immunofluorescent analysis of PC-3 cells using CSB-MA134471A0m at a dilution of 1:100 and Alexa Fluor 488-congugated AffiniPure Goat Anti-Mouse IgG(H+L).
Immunofluorescent analysis of A549 cells using CSB-MA134471A0m at a dilution of 1:100 and Alexa Fluor 488-congugated AffiniPure Goat Anti-Mouse IgG(H+L).
Immunofluorescent analysis of Ntera-2 cells using CSB-MA134471A0m at a dilution of 1:100 and Alexa Fluor 488-congugated AffiniPure Goat Anti-Mouse IgG(H+L).
Overlay histogram showing Hela cells stained with CSB-MA134471A0m (red line). The cells were fixed with 70% Ethylalcohol (18h) and then permeabilized with 0.3% Triton X-100 for 2 min. The cells were then incubated in 1x PBS /10% normal goat serum to block non-specific protein-protein interactions followed by the antibody (10µg/1*106cells) for 1 h at 4°C. The secondary antibody used was FITC goat anti-mouse IgG(H+L) at 1/200 dilution for 1 h at 4°C. Isotype control antibody (green line) was mouse IGg2b (10µg/1*106cells) used under the same conditions. Acquisition of >10,000 events was performed.
Immunoprecipitating PODXL in HEK293 whole cell lysate
Lane 1: Mouse control IgG (1µg) instead of CSB-MA134471A0m in HEK293 whole cell lysate. For western blotting, a HRP-conjugated Protein G antibody was used as the secondary antibody (1/2000)
Lane 2: CSB-MA134471A0m (8µg) + HEK293 whole cell lysate (500µg)
Lane 3: HEK293 whole cell lysate (10µg)
PODXL Antibodies
PODXL for Homo sapiens (Human)
| 產品貨號 | 產品名稱 | 種屬反應性 | 應用類型 |
|---|---|---|---|
| CSB-PA13447A0Rb | PODXL Antibody | Human | ELISA, WB, IHC, IF |
| CSB-PA13447B0Rb | PODXL Antibody, HRP conjugated | Human | ELISA |
| CSB-PA13447C0Rb | PODXL Antibody, FITC conjugated | Human | |
| CSB-PA13447D0Rb | PODXL Antibody, Biotin conjugated | Human | ELISA |
| CSB-MA134471A0m | PODXL Monoclonal Antibody | Human, Mouse, Rat | ELISA, WB, IHC, IP, IF, FC |
| CSB-PA568085 | PODXL Antibody | Human | ELISA,IHC |
| CSB-PA174197 | PODXL Antibody | Human | ELISA,IHC |
PODXL Proteins
PODXL Proteins for Homo sapiens (Human)
| 產品貨號 | 產品名稱 | 來源 |
|---|---|---|
| CSB-YP518830HU | Recombinant Human Podocalyxin (PODXL), partial | Yeast |
| CSB-EP518830HU | Recombinant Human Podocalyxin (PODXL), partial | E.coli |
PODXL Proteins for Gallus gallus (Chicken)
| 產品貨號 | 產品名稱 | 來源 |
|---|---|---|
| CSB-YP527565CH CSB-EP527565CH CSB-BP527565CH CSB-MP527565CH CSB-EP527565CH-B |
Recombinant Chicken Podocalyxin (PODXL), partial | Yeast E.coli Baculovirus Mammalian cell In Vivo Biotinylation in E.coli |
PODXL Proteins for Oryctolagus cuniculus (Rabbit)
| 產品貨號 | 產品名稱 | 來源 |
|---|---|---|
| CSB-YP632978RB CSB-EP632978RB CSB-BP632978RB CSB-MP632978RB CSB-EP632978RB-B |
Recombinant Rabbit Podocalyxin (PODXL), partial | Yeast E.coli Baculovirus Mammalian cell In Vivo Biotinylation in E.coli |
PODXL Proteins for Canis familiaris (Dog) (Canis lupus familiaris)
| 產品貨號 | 產品名稱 | 來源 |
|---|---|---|
| CSB-YP684440DO CSB-EP684440DO CSB-BP684440DO CSB-MP684440DO CSB-EP684440DO-B |
Recombinant Dog Podocalyxin (PODXL), partial | Yeast E.coli Baculovirus Mammalian cell In Vivo Biotinylation in E.coli |
PODXL Proteins for Mus musculus (Mouse)
| 產品貨號 | 產品名稱 | 來源 |
|---|---|---|
| CSB-YP865629MO CSB-EP865629MO CSB-BP865629MO CSB-MP865629MO CSB-EP865629MO-B |
Recombinant Mouse Podocalyxin (Podxl), partial | Yeast E.coli Baculovirus Mammalian cell In Vivo Biotinylation in E.coli |
PODXL Proteins for Rattus norvegicus (Rat)
| 產品貨號 | 產品名稱 | 來源 |
|---|---|---|
| CSB-YP893876RA | Recombinant Rat Podocalyxin (Podxl), partial | Yeast |
| CSB-EP893876RA CSB-BP893876RA CSB-MP893876RA CSB-EP893876RA-B |
Recombinant Rat Podocalyxin (Podxl), partial | E.coli Baculovirus Mammalian cell In Vivo Biotinylation in E.coli |
PODXL ELISA Kit
PODXL ELISA Kit for Homo sapiens (Human)
| 產品貨號 | 產品名稱 | 樣本類型 | 靈敏度 |
|---|---|---|---|
| CSB-E09891h | Human Podocalyxin,PCX ELISA Kit | serum, plasma, tissue homogenates. | 0.54 ng/ml. |
PODXL ELISA Kit for Rattus norvegicus (Rat)
| 產品貨號 | 產品名稱 | 樣本類型 | 靈敏度 |
|---|---|---|---|
| CSB-E13946r | Rat Podocalyxin,PCX ELISA Kit | serum, urine, cell culture supernates | 0.39 ng/mL |






