PMEL
PMEL,即前黑素體蛋白(Premelanosome Protein),它是一種在黑素細胞中表達的蛋白質,主要在人類中編碼于第12號染色體上。PMEL在黑素體的形成和功能中起著關鍵作用,它參與形成黑素體內部的纖維狀結構,這些結構有助于黑素的合成和分布。PMEL蛋白通過其不同的結構域,包括信號肽、跨膜域、細胞質域等,以及經歷蛋白酶切割和糖基化等后翻譯修飾,來實現其功能。在生物學意義上,PMEL對維持皮膚和眼睛的色素沉著至關重要,同時,它在某些皮膚疾病如黑色素瘤的發生發展中可能也扮演著角色,是研究皮膚色素沉著和相關疾病的重要靶點。
熱銷產品
● Recombinant Human Melanocyte protein PMEL (PMEL), partial
驗證數據
(Tris-Glycine gel) Discontinuous SDS-PAGE (reduced) with 5% enrichment gel and 15% separation gel.
Based on the SEQUEST from database of Yeast host and target protein, the LC-MS/MS Analysis result of CSB-YP021324HU could indicate that this peptide derived from Yeast-expressed Homo sapiens (Human) PMEL.
Based on the SEQUEST from database of Yeast host and target protein, the LC-MS/MS Analysis result of CSB-YP021324HU could indicate that this peptide derived from Yeast-expressed Homo sapiens (Human) PMEL.
驗證數據
Western blot
All lanes: PMEL antibody at 14μg/ml + Jurkat whole cell lysate
Secondary
Goat polyclonal to rabbit IgG at 1/10000 dilution
Predicted band size: 71, 61, 67 kDa
Observed band size: 71 kDa
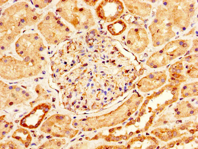
IHC image of CSB-PA021324LA01HU diluted at 1:200 and staining in paraffin-embedded human kidney tissue performed on a Leica BondTM system. After dewaxing and hydration, antigen retrieval was mediated by high pressure in a citrate buffer (pH 6.0). Section was blocked with 10% normal goat serum 30min at RT. Then primary antibody (1% BSA) was incubated at 4°C overnight. The primary is detected by a biotinylated secondary antibody and visualized using an HRP conjugated SP system.
IHC image of CSB-PA021324LA01HU diluted at 1:200 and staining in paraffin-embedded human melanoma performed on a Leica BondTM system. After dewaxing and hydration, antigen retrieval was mediated by high pressure in a citrate buffer (pH 6.0). Section was blocked with 10% normal goat serum 30min at RT. Then primary antibody (1% BSA) was incubated at 4°C overnight. The primary is detected by a biotinylated secondary antibody and visualized using an HRP conjugated SP system.
PMEL Antibodies
PMEL for Homo sapiens (Human)
| 產品貨號 | 產品名稱 | 種屬反應性 | 應用類型 |
|---|---|---|---|
| CSB-PA021324LA01HU | PMEL Antibody | Human | ELISA, WB, IHC |
| CSB-PA021324LC01HU | PMEL Antibody, FITC conjugated | Human | |
| CSB-PA021324LD01HU | PMEL Antibody, Biotin conjugated | Human | ELISA |
PMEL Proteins
PMEL Proteins for Homo sapiens (Human)
| 產品貨號 | 產品名稱 | 來源 |
|---|---|---|
| CSB-YP021324HU | Recombinant Human Melanocyte protein PMEL (PMEL), partial | Yeast |
| CSB-EP021324HU | Recombinant Human Melanocyte protein PMEL (PMEL),partial | E.coli |
| CSB-BP021324HU CSB-MP021324HU CSB-EP021324HU-B |
Recombinant Human Melanocyte protein PMEL (PMEL), partial | Baculovirus Mammalian cell In Vivo Biotinylation in E.coli |






