PIKFYVE
PIKFYVE,全稱為phosphatidylinositol-3-phosphate 5-kinase,也被稱為PIKfyve或phosphatidylinositol-3-phosphate 5-kinase type III。該蛋白在細胞內膜穩態和內體小泡的形成中發揮關鍵作用。它能夠磷酸化磷脂酰肌醇(PtdIns)的D-5位置,生成PtdIns5P和PtdIns(3,5)biphosphate,進而影響細胞骨架功能、膜運輸和受體信號傳導。PIKFYVE還參與ebola病毒和SARS-CoV-2的細胞進入過程,通過內吞作用將病毒蛋白招募到細胞內。此外,PIKFYVE與一些疾病的發生發展密切相關,如角膜點狀變性、胰腺癌等。針對PIKFYVE的藥物研發已取得一定進展,例如AcuraStem公司開發的AS-202反義寡核苷酸,已在治療肌萎縮性側索硬化癥(ALS)的臨床前研究中展現出良好效果。此外,PIKFYVE也被認為可能是治療COVID-19的有效靶點,相關抑制劑的研究正在進行中。
熱銷產品
PIKFYVE Antibody (CSB-PA896875DSR2HU)
驗證數據
Immunohistochemistry of paraffin-embedded human testis tissue using CSB-PA896875DSR2HU at dilution of 1:100
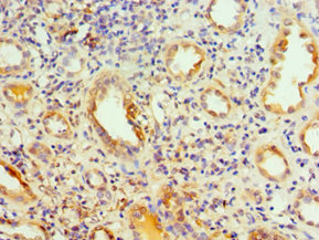
Immunohistochemistry of paraffin-embedded human kidney tissue using CSB-PA896875DSR2HU at dilution of 1:100
PIKFYVE Antibodies
PIKFYVE for Homo sapiens (Human)
| 產品貨號 | 產品名稱 | 種屬反應性 | 應用類型 |
|---|---|---|---|
| CSB-PA018029GA01HU | PIKFYVE Antibody | Human,Mouse,Rat | ELISA,WB |
| CSB-PA072525 | PIKFYVE Antibody | Human,Mouse | ELISA,WB,IF |
| CSB-PA896875DSR2HU | PIKFYVE Antibody | Human | ELISA, IHC |
| CSB-PA003787 | PIKFYVE Antibody | Human,Mouse | WB, IF, ELISA |
| CSB-PA008031 | Phospho-PIKFYVE (S307) Antibody | Human,Mouse,Rat | IHC, IF, ELISA |
| CSB-PA008032 | PIKFYVE Antibody | Human,Mouse,Rat | IHC, ELISA |
| CSB-PA594945 | PIKFYVE Antibody | Human,Mouse | ELISA,IHC |
| CSB-PA924394 | PIKFYVE Antibody | Human,Mouse | ELISA,IHC |
PIKFYVE Proteins
PIKFYVE Proteins for Homo sapiens (Human)
| 產品貨號 | 產品名稱 | 來源 |
|---|---|---|
| CSB-YP896875HU CSB-EP896875HU CSB-BP896875HU CSB-MP896875HU CSB-EP896875HU-B |
Recombinant Human 1-phosphatidylinositol 3-phosphate 5-kinase (PIKFYVE), partial | Yeast E.coli Baculovirus Mammalian cell In Vivo Biotinylation in E.coli |






