PICALM
PICALM,全稱為phosphatidylinositol binding clathrin assembly protein,常見別名為PICALM或ARHGDIA。該蛋白在細胞內吞作用和自噬過程中發揮著關鍵作用,參與網格蛋白介導的囊泡形成,并與鐵代謝密切相關。研究表明,PICALM基因與晚發性阿爾茨海默病存在關聯,其變異可能增加患病風險。此外,PICALM在蒽環類藥物引起的心臟毒性中亦有重要作用,通過調節β-淀粉樣肽的生成,影響心肌細胞功能,提示其可能成為治療心臟毒性的潛在靶點。目前,針對PICALM的藥物研發尚處于探索階段,但其在神經退行性疾病和心臟毒性中的作用為相關疾病的治療提供了新的思路。
熱銷產品
PICALM Antibody (CSB-PA622660LA01HU)
驗證數據
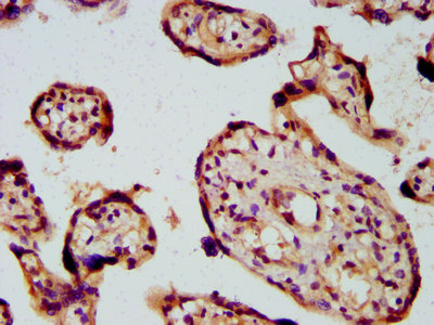
IHC image of CSB-PA622660LA01HU diluted at 1:600 and staining in paraffin-embedded human placenta tissue performed on a Leica BondTM system. After dewaxing and hydration, antigen retrieval was mediated by high pressure in a citrate buffer (pH 6.0). Section was blocked with 10% normal goat serum 30min at RT. Then primary antibody (1% BSA) was incubated at 4°C overnight. The primary is detected by a biotinylated secondary antibody and visualized using an HRP conjugated SP system.
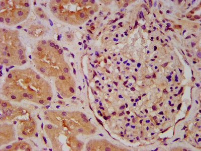
IHC image of CSB-PA622660LA01HU diluted at 1:600 and staining in paraffin-embedded human kidney tissue performed on a Leica BondTM system. After dewaxing and hydration, antigen retrieval was mediated by high pressure in a citrate buffer (pH 6.0). Section was blocked with 10% normal goat serum 30min at RT. Then primary antibody (1% BSA) was incubated at 4°C overnight. The primary is detected by a biotinylated secondary antibody and visualized using an HRP conjugated SP system.
Immunofluorescence staining of HepG2 cells with CSB-PA622660LA01HU at 1:200, counter-stained with DAPI. The cells were fixed in 4% formaldehyde, permeabilized using 0.2% Triton X-100 and blocked in 10% normal Goat Serum. The cells were then incubated with the antibody overnight at 4°C. The secondary antibody was Alexa Fluor 488-congugated AffiniPure Goat Anti-Rabbit IgG(H+L).
PICALM Antibodies
PICALM for Homo sapiens (Human)
| 產品貨號 | 產品名稱 | 種屬反應性 | 應用類型 |
|---|---|---|---|
| CSB-PA622660LA01HU | PICALM Antibody | Human | ELISA, IHC, IF |
| CSB-PA622660LB01HU | PICALM Antibody, HRP conjugated | Human | ELISA |
| CSB-PA622660LC01HU | PICALM Antibody, FITC conjugated | Human | |
| CSB-PA622660LD01HU | PICALM Antibody, Biotin conjugated | Human | ELISA |
PICALM Proteins
PICALM Proteins for Homo sapiens (Human)
| 產品貨號 | 產品名稱 | 來源 |
|---|---|---|
| CSB-YP622660HU CSB-EP622660HU CSB-BP622660HU CSB-MP622660HU CSB-EP622660HU-B |
Recombinant Human Phosphatidylinositol-binding clathrin assembly protein (PICALM) | Yeast E.coli Baculovirus Mammalian cell In Vivo Biotinylation in E.coli |






