PDGFRB
PDGFRB,全稱血小板衍生生長因子受體β(platelet-derived growth factor receptor beta),是一種重要的細胞表面受體蛋白。它也被稱為CD140b、JTK12、PDGFR1等多種別名。PDGFRB與PDGFRA(CD140a)同屬于受體酪氨酸激酶III亞家族,共同參與血小板衍生生長因子的信號轉導過程。PDGFRB能夠與PDGF-BB和PDGF-AB異構體高親和力結合,而PDGFRA則能結合PDGF的三個異構體。PDGFRB在多種細胞類型中發揮重要作用,參與血管發育、細胞增殖、遷移等過程。PDGFRB的異常激活與多種疾病的發生發展密切相關,包括癌癥、心血管疾病和基底神經節鈣化等。目前,針對PDGFRB的藥物研發已成為熱點,多種靶向藥物已進入臨床試驗階段,為相關疾病的治療提供了新的選擇。
熱銷產品
驗證數據
(Tris-Glycine gel) Discontinuous SDS-PAGE (reduced) with 5% enrichment gel and 15% separation gel.
Activity
Measured by its binding ability in a functional ELISA. Immobilized Human PDGFRB at 2 μg/ml can bind Anti-PDGFRB recombinant antibody (CSB-RA017713MA1HU). The EC50 is 2.471-2.776 ng/mL.
The purity of PDGFRB was greater than 95% as determined by SEC-HPLC
Recombinant Human Platelet-derived growth factor receptor beta (PDGFRB), partial (CSB-EP017713HU)
驗證數據
(Tris-Glycine gel) Discontinuous SDS-PAGE (reduced) with 5% enrichment gel and 15% separation gel.
PDGFRB Recombinant Monoclonal Antibody (CSB-RA213932A0HU)
驗證數據
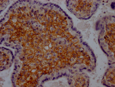
IHC image of CSB-RA213932A0HU diluted at 1:100 and staining in paraffin-embedded human placenta tissue performed on a Leica BondTM system. After dewaxing and hydration, antigen retrieval was mediated by high pressure in a citrate buffer (pH 6.0). Section was blocked with 10% normal goat serum 30min at RT. Then primary antibody (1% BSA) was incubated at 4℃ overnight. The primary is detected by a Goat anti-rabbit IgG polymer labeled by HRP and visualized using 0.05% DAB.
PDGFRB Antibodies
PDGFRB for Homo sapiens (Human)
| 產品貨號 | 產品名稱 | 種屬反應性 | 應用類型 |
|---|---|---|---|
| CSB-PA017713GA01HU | PDGFRB Antibody | Human,Mouse,Rat | ELISA,WB |
| CSB-PA828739 | PDGFRB (Ab-751) Antibody | Human,Rat | ELISA,WB |
| CSB-PA979025 | Phospho-PDGFRB (Tyr740) Antibody | Human,Mouse,Rat | ELISA,WB |
| CSB-PA556830 | PDGFRB (Ab-771) Antibody | Human,Rat | ELISA,WB |
| CSB-PA000745 | Phospho-PDGFRB (Y1021) Antibody | Human,Mouse,Rat | WB, IHC, ELISA |
| CSB-PA003726 | PDGFRB Antibody | Human,Mouse,Rat | WB, IHC, IF, ELISA |
| CSB-PA004625 | PDGFRB Antibody | Human,Rat | WB, ELISA |
| CSB-PA030005 | Phospho-PDGFRB (Y771) Antibody | Human,Rat | WB, ELISA |
| CSB-PA030006 | Phospho-PDGFRB (Y740) Antibody | Human,Mouse,Rat | WB, IHC, ELISA |
| CSB-PA030007 | Phospho-PDGFRB (Y751) Antibody | Human,Mouse,Rat | IHC, IF, ELISA |
| CSB-PA030008 | PDGFRB Antibody | Human,Mouse,Rat | IHC, IF, ELISA |
| CSB-PA030009 | PDGFRB Antibody | Human,Mouse,Rat | WB, IHC, IF, ELISA |
| CSB-PA030010 | PDGFRB Antibody | Human,Mouse,Rat | WB, IHC, ELISA |
| CSB-PA208206 | PDGFRB Antibody | Human,Mouse,Rat | ELISA,WB |
| CSB-PA266610 | PDGFRB Antibody | Human,Mouse,Rat | ELISA,WB |
| CSB-PA017713LA01HU | PDGFRB Antibody | Human | ELISA, IHC, IF |
| CSB-PA017713LD01HU | PDGFRB Antibody, Biotin conjugated | Human | ELISA |
| CSB-PA017713LC01HU | PDGFRB Antibody, FITC conjugated | Human | |
| CSB-PA017713LB01HU | PDGFRB Antibody, HRP conjugated | Human | ELISA |
| CSB-RA017713A740phHU | Phospho-PDGFRB (Y740) Recombinant Monoclonal Antibody | Human | ELISA, WB |
| CSB-RA213932A0HU | PDGFRB Recombinant Monoclonal Antibody | Human | ELISA, IHC |
PDGFRB Proteins
PDGFRB Proteins for Mus musculus (Mouse)
| 產品貨號 | 產品名稱 | 來源 |
|---|---|---|
| CSB-YP017713MO CSB-EP017713MO CSB-BP017713MO CSB-MP017713MO CSB-EP017713MO-B |
Recombinant Mouse Platelet-derived growth factor receptor beta (Pdgfrb), partial | Yeast E.coli Baculovirus Mammalian cell In Vivo Biotinylation in E.coli |
PDGFRB Proteins for Homo sapiens (Human)
| 產品貨號 | 產品名稱 | 來源 |
|---|---|---|
| CSB-YP017713HU CSB-BP017713HU CSB-MP017713HU CSB-EP017713HU-B |
Recombinant Human Platelet-derived growth factor receptor beta (PDGFRB), partial | Yeast Baculovirus Mammalian cell In Vivo Biotinylation in E.coli |
| CSB-EP017713HU | Recombinant Human Platelet-derived growth factor receptor beta (PDGFRB), partial | E.coli |
| CSB-MP017713HU1 | Recombinant Human Platelet-derived growth factor receptor beta (PDGFRB), partial (Active) | Mammalian cell |
PDGFRB Proteins for Takifugu rubripes (Japanese pufferfish) (Fugu rubripes)
| 產品貨號 | 產品名稱 | 來源 |
|---|---|---|
| CSB-YP304446TKY CSB-EP304446TKY CSB-BP304446TKY CSB-MP304446TKY CSB-EP304446TKY-B |
Recombinant Takifugu rubripes Platelet-derived growth factor receptor beta (pdgfrb), partial | Yeast E.coli Baculovirus Mammalian cell In Vivo Biotinylation in E.coli |
PDGFRB Proteins for Canis familiaris (Dog) (Canis lupus familiaris)
| 產品貨號 | 產品名稱 | 來源 |
|---|---|---|
| CSB-YP764838DO CSB-EP764838DO CSB-BP764838DO CSB-MP764838DO CSB-EP764838DO-B |
Recombinant Dog Platelet-derived growth factor receptor beta (PDGFRB), partial | Yeast E.coli Baculovirus Mammalian cell In Vivo Biotinylation in E.coli |
PDGFRB ELISA Kit
PDGFRB ELISA Kit for Homo sapiens (Human)
| 產品貨號 | 產品名稱 | 樣本類型 | 靈敏度 |
|---|---|---|---|
| CSB-EL017713HU | Human Beta-type platelet-derived growth factor receptor(PDGFRB) ELISA kit | serum, plasma, tissue homogenates | 15.6 pg/mL |
PDGFRB ELISA Kit for Mus musculus (Mouse)
| 產品貨號 | 產品名稱 | 樣本類型 | 靈敏度 |
|---|---|---|---|
| CSB-EL017713MO | Mouse Beta-type platelet-derived growth factor receptor(PDGFRB) ELISA kit | serum, plasma, tissue homogenates, cell lysates | 0.31 ng/ml |






