PAX8
PAX8,全稱為paired box 8,是一種在甲狀腺細胞中發揮重要作用的轉錄因子。它也被稱為PAX-8、Paired box protein Pax-8等。PAX8蛋白對于維持甲狀腺細胞的功能分化至關重要,它調控著甲狀腺特異性基因的表達,有助于甲狀腺細胞的特殊功能。此外,PAX8蛋白還與WWTR1蛋白相互作用,可能在調節甲狀腺細胞的基因表達和細胞過程中扮演著重要角色。PAX8蛋白的表達主要在甲狀腺、腎臟、胎盤以及成人穆勒管來源的組織中,如子宮、輸卵管和子宮頸。它在多種疾病的發生發展中發揮作用,如甲狀腺功能異常、腎發育不良等。目前,針對PAX8蛋白的藥物研發主要集中在甲狀腺疾病的治療上,例如開發針對PAX8蛋白的抑制劑或激活劑,以調節甲狀腺細胞的基因表達和細胞過程,從而治療甲狀腺功能減退等疾病。
熱銷產品
Recombinant Human Paired box protein Pax-8 (PAX8), partial (Active) (CSB-MP017494HU2)
驗證數據
(Tris-Glycine gel) Discontinuous SDS-PAGE (reduced) with 5% enrichment gel and 15% separation gel.
Activity
Measured by its binding ability in a functional ELISA. Immobilized Human PAX8 at 2 μg/ml can bind Anti-PAX8 recombinant antibody (CSB-RA017494MA1HU). The EC50 is 0.6290-0.7413 ng/mL.
PAX8 Recombinant Monoclonal Antibody (CSB-RA017494MA1HU)
驗證數據
The Binding Activity of Human PAX8 with Anti-PAX8 Recombinant antibody
Activity: Measured by its binding ability in a functional ELISA. Immobilized Human PAX8 (CSB-MP017494HU2) at 2 μg/mL can bind Anti-PAX8 recombinant antibody. The EC50 is 0.6325-0.7353 ng/mL.
Overlay Peak curve showing 786-O cells stained with CSB-RA017494MA1HU (red line) at 1:100. The cells were fixed in 4% formaldehyde and permeated by 0.2% TritonX-100 for 10min. Then 10% normal goat serum to block non-specific protein-protein interactions followed by the antibody (1ug/1*106cells) for 45min at 4℃. The secondary antibody used was Fluorescein (FITC) AffiniPure Goat Anti-Human IgG, Fcγ fragment specific at 1:200 dilution for 35min at 4℃.Control antibody (green line) was human IgG1 (1ug/1*106cells) used under the same conditions. Acquisition of >10,000 events was performed.
驗證數據
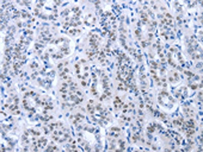
The image on the left is immunohistochemistry of paraffin-embedded Human thyroid cancer tissue using CSB-PA919764(PAX8 Antibody) at dilution 1/35, on the right is treated with fusion protein. (Original magnification: ×200)
Gel: 10%SDS-PAGE, Lysate: 40 μg, Lane 1-2: MCF7 cells, mouse brain tissue, Primary antibody: CSB-PA919764(PAX8 Antibody) at dilution 1/250, Secondary antibody: Goat anti rabbit IgG at 1/8000 dilution, Exposure time: 2 minutes
PAX8 Antibodies
PAX8 for Homo sapiens (Human)
| 產品貨號 | 產品名稱 | 種屬反應性 | 應用類型 |
|---|---|---|---|
| CSB-PA017494GA01HU | PAX8 Antibody | Human,Mouse,Rat | ELISA,WB,IHC |
| CSB-PA003712 | PAX8 Antibody | Human,Mouse,Rat | WB, IHC, ELISA |
| CSB-PA919764 | PAX8 Antibody | Human,Mouse,Rat | ELISA,WB,IHC |
| CSB-PA213924 | PAX8 Antibody | Human,Mouse,Rat | ELISA,WB,IHC |
| CSB-PA017494LA01HU | PAX8 Antibody | Human | ELISA, WB |
| CSB-PA017494LB01HU | PAX8 Antibody, HRP conjugated | Human | ELISA |
| CSB-PA017494LC01HU | PAX8 Antibody, FITC conjugated | Human | |
| CSB-PA017494LD01HU | PAX8 Antibody, Biotin conjugated | Human | ELISA |
| CSB-RA248028A0HU | PAX8 Recombinant Monoclonal Antibody | Human | ELISA, IHC |
| CSB-RA017494MA1HU | PAX8 Recombinant Monoclonal Antibody | Human | ELISA, FC |
PAX8 Proteins
PAX8 Proteins for Mus musculus (Mouse)
| 產品貨號 | 產品名稱 | 來源 |
|---|---|---|
| CSB-YP017494MO CSB-EP017494MO CSB-BP017494MO CSB-MP017494MO CSB-EP017494MO-B |
Recombinant Mouse Paired box protein Pax-8 (Pax8) | Yeast E.coli Baculovirus Mammalian cell In Vivo Biotinylation in E.coli |
PAX8 Proteins for Homo sapiens (Human)
| 產品貨號 | 產品名稱 | 來源 |
|---|---|---|
| CSB-YP017494HU CSB-BP017494HU CSB-MP017494HU CSB-EP017494HU-B |
Recombinant Human Paired box protein Pax-8 (PAX8) | Yeast Baculovirus Mammalian cell In Vivo Biotinylation in E.coli |
| CSB-EP017494HU | Recombinant Human Paired box protein Pax-8 (PAX8) | E.coli |
| CSB-EP017494HU2 | Recombinant Human Paired box protein Pax-8 (PAX8), partial | E.coli |
| CSB-EP017494HUc7 | Recombinant Human Paired box protein Pax-8 (PAX8) | E.coli |
| CSB-MP017494HU2 | Recombinant Human Paired box protein Pax-8 (PAX8), partial (Active) | Mammalian cell |
PAX8 Proteins for Canis familiaris (Dog) (Canis lupus familiaris)
| 產品貨號 | 產品名稱 | 來源 |
|---|---|---|
| CSB-YP017494DO CSB-EP017494DO CSB-BP017494DO CSB-MP017494DO CSB-EP017494DO-B |
Recombinant Dog Paired box protein Pax-8 (PAX8) | Yeast E.coli Baculovirus Mammalian cell In Vivo Biotinylation in E.coli |
PAX8 Proteins for Rattus norvegicus (Rat)
| 產品貨號 | 產品名稱 | 來源 |
|---|---|---|
| CSB-YP017494RA CSB-EP017494RA CSB-BP017494RA CSB-MP017494RA CSB-EP017494RA-B |
Recombinant Rat Paired box protein Pax-8 (Pax8) | Yeast E.coli Baculovirus Mammalian cell In Vivo Biotinylation in E.coli |
PAX8 Proteins for Xenopus tropicalis (Western clawed frog) (Silurana tropicalis)
| 產品貨號 | 產品名稱 | 來源 |
|---|---|---|
| CSB-YP017494XBF CSB-EP017494XBF CSB-BP017494XBF CSB-MP017494XBF CSB-EP017494XBF-B |
Recombinant Xenopus tropicalis Paired box protein Pax-8 (pax8) | Yeast E.coli Baculovirus Mammalian cell In Vivo Biotinylation in E.coli |
PAX8 Proteins for Pongo abelii (Sumatran orangutan)
| 產品貨號 | 產品名稱 | 來源 |
|---|---|---|
| CSB-YP728995PYX CSB-EP728995PYX CSB-BP728995PYX CSB-MP728995PYX CSB-EP728995PYX-B |
Recombinant Pongo abelii Paired box protein Pax-8 (PAX8) | Yeast E.coli Baculovirus Mammalian cell In Vivo Biotinylation in E.coli |
PAX8 Proteins for Xenopus laevis (African clawed frog)
| 產品貨號 | 產品名稱 | 來源 |
|---|---|---|
| CSB-YP879377XBE CSB-EP879377XBE CSB-BP879377XBE CSB-MP879377XBE CSB-EP879377XBE-B |
Recombinant Xenopus laevis Paired box protein Pax-8 (pax8) | Yeast E.coli Baculovirus Mammalian cell In Vivo Biotinylation in E.coli |






