PAX6
PAX6,即配對框基因6,是一種在進化上高度保守的轉錄因子,由PAX6基因編碼。它在眼睛、大腦、鼻子和胰腺等器官的發育中起著至關重要的作用。PAX6通過結合特定的DNA序列,調控下游基因的表達,從而參與多種生物學過程,包括胚胎發育和器官形成。PAX6的功能異常與多種眼部疾病相關,如先天性白內障、無虹膜和小眼球癥等。此外,PAX6還涉及到腫瘤發生等過程,其在腫瘤中的表達變化可能影響腫瘤細胞的增殖和分化。PAX6參與的信號通路包括但不限于MEK/ERK信號通路,該通路在肝星狀細胞的活化和增殖中發揮作用??偟膩碚f,PAX6是一個多功能的調控分子,對維持生物體的正常發育和生理功能至關重要。
熱銷產品
Recombinant Human Paired box protein Pax-6 (PAX6) (CSB-EP017492HU)
驗證數據
(Tris-Glycine gel) Discontinuous SDS-PAGE (reduced) with 5% enrichment gel and 15% separation gel.
PAX6 Recombinant Monoclonal Antibody (CSB-RA577229A0HU)
驗證數據
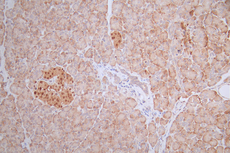
IHC image of CSB-RA577229A0HU diluted at 1:100 and staining in paraffin-embedded human pancreati tissue performed on a Leica BondTM system. After dewaxing and hydration, antigen retrieval was mediated by high pressure in a citrate buffer (pH 6.0). Section was blocked with 10% normal goat serum 30min at RT. Then primary antibody (1% BSA) was incubated at 4°C overnight. The primary is detected by a Goat anti-rabbit polymer IgG labeled by HRP and visualized using 0.55% DAB.
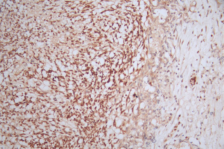
IHC image of CSB-RA577229A0HU diluted at 1:100 and staining in paraffin-embedded human glioma cancer performed on a Leica BondTM system. After dewaxing and hydration, antigen retrieval was mediated by high pressure in a citrate buffer (pH 6.0). Section was blocked with 10% normal goat serum 30min at RT. Then primary antibody (1% BSA) was incubated at 4°C overnight. The primary is detected by a Goat anti-rabbit polymer IgG labeled by HRP and visualized using 0.55% DAB.
Overlay Peak curve showing SH-SY5Y cells stained with CSB-RA577229A0HU (red line) at 1:50. The cells were fixed in 4% formaldehyde and permeated by 0.2% TritonX-100. Then 10% normal goat serum to block non-specific protein-protein interactions followed by the antibody (1μg/1*106cells) for 45min at 4℃. The secondary antibody used was FITC-conjugated Goat Anti-rabbit IgG(H+L) at 1:200 dilution for 35min at 4℃.Control antibody (green line) was rabbit IgG (1μg/1*106cells) used under the same conditions. Acquisition of >10,000 events was performed.
Mouse paired box 6 (PAX6) ELISA kit (CSB-EL017492MO)
驗證數據
貨號:CSB-EL017492MO
規格:96T/48T
靈敏度:11.72 pg/mL
檢測范圍:46.88 pg/mL-3000 pg/mL
These standard curves are provided for demonstration only. A standard curve should be generated for each set of samples assayed.
PAX6 Antibodies
PAX6 for Homo sapiens (Human)
| 產品貨號 | 產品名稱 | 種屬反應性 | 應用類型 |
|---|---|---|---|
| CSB-PA017492GA01HU | PAX6 Antibody | Human,Mouse | ELISA,WB,IHC,IF |
| CSB-PA017492DSR1HU | PAX6 Antibody | Human | ELISA, IHC |
| CSB-PA017492DSR2HU | PAX6 Antibody | Human, Mouse | ELISA, WB, IHC |
| CSB-RA577229A0HU | PAX6 Recombinant Monoclonal Antibody | Human | ELISA, IHC, FC |
PAX6 Proteins
PAX6 Proteins for Homo sapiens (Human)
| 產品貨號 | 產品名稱 | 來源 |
|---|---|---|
| CSB-YP017492HU CSB-BP017492HU CSB-MP017492HU CSB-EP017492HU-B |
Recombinant Human Paired box protein Pax-6 (PAX6) | Yeast Baculovirus Mammalian cell In Vivo Biotinylation in E.coli |
| CSB-EP017492HU | Recombinant Human Paired box protein Pax-6 (PAX6) | E.coli |
PAX6 Proteins for Gallus gallus (Chicken)
| 產品貨號 | 產品名稱 | 來源 |
|---|---|---|
| CSB-YP017492CH CSB-EP017492CH CSB-BP017492CH CSB-MP017492CH CSB-EP017492CH-B |
Recombinant Chicken Paired box protein Pax-6 (PAX6) | Yeast E.coli Baculovirus Mammalian cell In Vivo Biotinylation in E.coli |
PAX6 Proteins for Mus musculus (Mouse)
| 產品貨號 | 產品名稱 | 來源 |
|---|---|---|
| CSB-YP017492MO CSB-EP017492MO CSB-BP017492MO CSB-MP017492MO CSB-EP017492MO-B |
Recombinant Mouse Paired box protein Pax-6 (Pax6) | Yeast E.coli Baculovirus Mammalian cell In Vivo Biotinylation in E.coli |
PAX6 Proteins for Rattus norvegicus (Rat)
| 產品貨號 | 產品名稱 | 來源 |
|---|---|---|
| CSB-YP017492RA CSB-EP017492RA CSB-BP017492RA CSB-MP017492RA CSB-EP017492RA-B |
Recombinant Rat Paired box protein Pax-6 (Pax6) | Yeast E.coli Baculovirus Mammalian cell In Vivo Biotinylation in E.coli |
PAX6 Proteins for Coturnix coturnix japonica (Japanese quail) (Coturnix japonica)
| 產品貨號 | 產品名稱 | 來源 |
|---|---|---|
| CSB-YP017492DXJ CSB-EP017492DXJ CSB-BP017492DXJ CSB-MP017492DXJ CSB-EP017492DXJ-B |
Recombinant Coturnix coturnix japonica Paired box protein Pax-6 (PAX6) | Yeast E.coli Baculovirus Mammalian cell In Vivo Biotinylation in E.coli |
PAX6 Proteins for Xenopus laevis (African clawed frog)
| 產品貨號 | 產品名稱 | 來源 |
|---|---|---|
| CSB-YP017492XBE CSB-EP017492XBE CSB-BP017492XBE CSB-MP017492XBE CSB-EP017492XBE-B |
Recombinant Xenopus laevis Paired box protein Pax-6 (pax6) | Yeast E.coli Baculovirus Mammalian cell In Vivo Biotinylation in E.coli |
PAX6 Proteins for Oryzias latipes (Medaka fish) (Japanese ricefish)
| 產品貨號 | 產品名稱 | 來源 |
|---|---|---|
| CSB-YP017492OFH CSB-EP017492OFH CSB-BP017492OFH CSB-MP017492OFH CSB-EP017492OFH-B |
Recombinant Oryzias latipes Paired box protein Pax-6 (pax6) | Yeast E.coli Baculovirus Mammalian cell In Vivo Biotinylation in E.coli |
PAX6 Proteins for Bos taurus (Bovine)
| 產品貨號 | 產品名稱 | 來源 |
|---|---|---|
| CSB-YP635859BO CSB-EP635859BO CSB-BP635859BO CSB-MP635859BO CSB-EP635859BO-B |
Recombinant Bovine Paired box protein Pax-6 (PAX6) | Yeast E.coli Baculovirus Mammalian cell In Vivo Biotinylation in E.coli |
PAX6 ELISA Kit
PAX6 ELISA Kit for Mus musculus (Mouse)
| 產品貨號 | 產品名稱 | 樣本類型 | 靈敏度 |
|---|---|---|---|
| CSB-EL017492MO | Mouse paired box 6 (PAX6) ELISA kit | serum, plasma, tissue homogenates | 11.72 pg/mL |






