OLA1
OLA1 蛋白全稱為Obg 樣 ATP 酶 1,常見別名包括 DOC45、GBP45、GTPBP9、PTD004,是一類高度保守的細胞內調控蛋白。它廣泛分布于多種組織中,參與細胞應激響應、蛋白穩態維持與線粒體功能保護,可協同分子伴侶穩定關鍵蛋白結構,幫助細胞適應外界壓力并維持正常生理活動。
OLA1蛋白異常與多種腫瘤及心血管病變密切相關,在乳腺癌、肺癌、肝癌、胃癌中常出現高表達,與腫瘤增殖、侵襲及化療耐藥密切相關,也參與心肌肥厚與肺動脈高壓的發生發展。目前 OLA1 已成為腫瘤與心血管疾病的潛在標志物與干預靶點,圍繞其活性調控的小分子化合物、靶向抑制劑正處于臨床前篩選與驗證階段,為耐藥腫瘤與心臟疾病提供新的治療思路。
熱銷產品
Recombinant Human Obg-like ATPase 1 (OLA1) (CSB-EP016318HU)
驗證數據
(Tris-Glycine gel) Discontinuous SDS-PAGE (reduced) with 5% enrichment gel and 15% separation gel.
OLA1 Antibody (CSB-PA016318HA01HU)
驗證數據
Western blot
All lanes: OLA1 antibody at 2µg/ml
Lane 1: HepG2 whole cell lysate
Lane 2: Mouse stomach tissue
Secondary
Goat polyclonal to rabbit IgG at 1/10000 dilution
Predicted band size: 45, 28, 32 kDa
Observed band size: 45 kDa
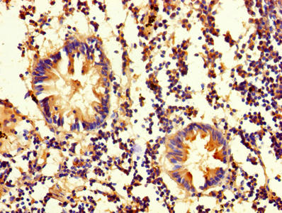
Immunohistochemistry of paraffin-embedded human appendix tissue using CSB-PA016318HA01HU at dilution of 1:100
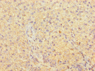
Immunohistochemistry of paraffin-embedded human adrenal gland tissue using CSB-PA016318HA01HU at dilution of 1:100
Immunofluorescent analysis of Hela cells using CSB-PA016318HA01HU at dilution of 1:100 and Alexa Fluor 488-congugated AffiniPure Goat Anti-Rabbit IgG(H+L)
OLA1 Antibodies
OLA1 for Homo sapiens (Human)
| 產品貨號 | 產品名稱 | 種屬反應性 | 應用類型 |
|---|---|---|---|
| CSB-PA016318GA01HU | OLA1 Antibody | Human,Mouse,Rat | ELISA,WB,IHC,IF |
| CSB-PA016318HA01HU | OLA1 Antibody | Human, Mouse | ELISA, WB, IHC, IF |
OLA1 Proteins
OLA1 Proteins for Homo sapiens (Human)
| 產品貨號 | 產品名稱 | 來源 |
|---|---|---|
| CSB-YP016318HU CSB-BP016318HU CSB-MP016318HU CSB-EP016318HU-B |
Recombinant Human Obg-like ATPase 1 (OLA1) | Yeast Baculovirus Mammalian cell In Vivo Biotinylation in E.coli |
| CSB-EP016318HU | Recombinant Human Obg-like ATPase 1 (OLA1) | E.coli |






