Napsa
Napsa 蛋白全稱為天冬氨酸蛋白酶 A,也常被稱作Napsin A、KAP、NAP1,主要在人體肺泡 Ⅱ 型上皮細胞和腎臟近曲小管中表達,是一類參與蛋白水解加工的關鍵酶。它能夠對肺表面活性物質相關蛋白進行成熟化處理,維持肺組織正常生理功能,同時參與腎臟局部蛋白代謝平衡,在維持呼吸系統與泌尿系統穩態中發揮重要作用。
Napsa 的異常表達與多種腫瘤密切相關,在肺腺癌中尤為典型,常作為臨床鑒別診斷的重要標志物,也可見于部分腎細胞癌病變。其表達水平可反映腫瘤增殖、侵襲等惡性表型,為疾病分型和預后判斷提供參考。目前圍繞 Napsa 的研究主要集中在診斷試劑開發,以免疫組化、定量檢測為主,相關試劑盒已廣泛用于臨床病理檢測。針對其酶活性與下游調控的靶向干預也處于基礎探索階段,有望為實體瘤精準治療提供新方向。
熱銷產品
Recombinant Human Napsin-A (NAPSA) (CSB-EP015452HU)
驗證數據
(Tris-Glycine gel) Discontinuous SDS-PAGE (reduced) with 5% enrichment gel and 15% separation gel.
Based on the SEQUEST from database of E.coli host and target protein, the LC-MS/MS Analysis result of CSB-EP015452HU could indicate that this peptide derived from E.coli-expressed Homo sapiens (Human) NAPSA .
Based on the SEQUEST from database of E.coli host and target protein, the LC-MS/MS Analysis result of CSB-EP015452HU could indicate that this peptide derived from E.coli-expressed Homo sapiens (Human) NAPSA .
NAPSA Antibody (CSB-PA11529A0Rb)
驗證數據
Western blot
All lanes: NAPSA antibody at 2µg/ml + Mouse kidney tissue
Secondary
Goat polyclonal to rabbit IgG at 1/10000 dilution
Predicted band size: 46 kDa
Observed band size: 46 kDa
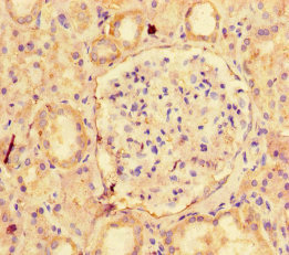
Immunohistochemistry of paraffin-embedded human kidney tissue using CSB-PA11529A0Rb at dilution of 1:100
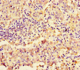
Immunohistochemistry of paraffin-embedded human lung cancer using CSB-PA11529A0Rb at dilution of 1:100
Human Napsin-A(NAPSA) ELISA kit (CSB-EL015452HU)
驗證數據
貨號:CSB-EL015452HU
規格:96T/48T
靈敏度:1.18 ng/mL
檢測范圍:4.7 ng/mL-300 ng/mL
These standard curves are provided for demonstration only. A standard curve should be generated for each set of samples assayed.
Napsa Antibodies
Napsa for Homo sapiens (Human)
| 產品貨號 | 產品名稱 | 種屬反應性 | 應用類型 |
|---|---|---|---|
| CSB-PA11529D0Rb | NAPSA Antibody, Biotin conjugated | Human | ELISA |
| CSB-PA11529A0Rb | NAPSA Antibody | Human, Mouse | ELISA, WB, IHC |
| CSB-PA244536 | NAPSA Antibody | Human | ELISA,IHC |
| CSB-PA252963 | NAPSA Antibody | Human,Mouse | ELISA,WB,IHC |
Napsa Proteins
Napsa Proteins for Homo sapiens (Human)
| 產品貨號 | 產品名稱 | 來源 |
|---|---|---|
| CSB-YP015452HU CSB-BP015452HU CSB-MP015452HU CSB-EP015452HU-B |
Recombinant Human Napsin-A (NAPSA) | Yeast Baculovirus Mammalian cell In Vivo Biotinylation in E.coli |
| CSB-EP015452HU | Recombinant Human Napsin-A (NAPSA) | E.coli |
Napsa ELISA Kit
Napsa ELISA Kit for Homo sapiens (Human)
| 產品貨號 | 產品名稱 | 樣本類型 | 靈敏度 |
|---|---|---|---|
| CSB-EL015452HU | Human Napsin-A(NAPSA) ELISA kit | serum, plasma, tissue homogenates | 1.18 ng/mL |






