NUCB2
NUCB2,即核結合蛋白2,別名NEFA、HEL-S-109。NUCB2屬于核結合蛋白家族,具有EF-hand結構域,能夠結合鈣離子。NUCB2在鈣水平維持、下丘腦進食調節以及血管內皮細胞釋放腫瘤壞死因子等方面發揮作用。這種蛋白質通過其EF-hand結構域結合鈣離子,參與細胞內信號傳導和基因表達的調控。NUCB2在多種生理過程中起作用,包括能量代謝、食欲調節以及可能與腫瘤發生發展相關。NUCB2的基因產物可以被剪切成幾種不同的肽產品,其中Nesfatin-1被發現能夠獨立于瘦素抑制食物攝入,并且可能在能量平衡和神經內分泌功能中發揮作用。
熱銷產品
Recombinant Human Nucleobindin-2 (NUCB2) (CSB-EP016146HU)
驗證數據
(Tris-Glycine gel) Discontinuous SDS-PAGE (reduced) with 5% enrichment gel and 15% separation gel.
NUCB2 Antibody (CSB-PA016146HA01HU)
驗證數據
Western Blot
Positive WB detected in: Rat brain tissue, Rat heart tissue, Mouse heart tissue, Mouse liver tissue, Mouse brain tissue
All lanes: NUCB2 antibody at 2.5μg/ml
Secondary
Goat polyclonal to rabbit IgG at 1/50000 dilution
Predicted band size: 51 kDa
Observed band size: 51 kDa
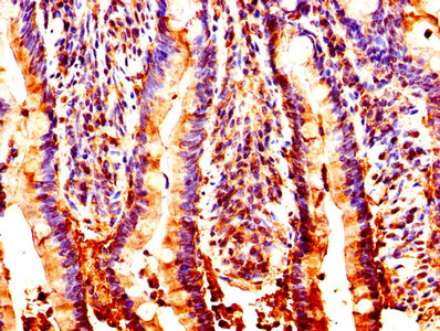
IHC image of CSB-PA016146HA01HU diluted at 1:200 and staining in paraffin-embedded human small intestine tissue performed on a Leica BondTM system. After dewaxing and hydration, antigen retrieval was mediated by high pressure in a citrate buffer (pH 6.0). Section was blocked with 10% normal goat serum 30min at RT. Then primary antibody (1% BSA) was incubated at 4°C overnight. The primary is detected by a biotinylated secondary antibody and visualized using an HRP conjugated SP system.
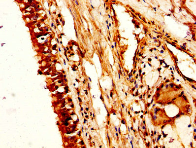
IHC image of CSB-PA016146HA01HU diluted at 1:200 and staining in paraffin-embedded human lung cancer performed on a Leica BondTM system. After dewaxing and hydration, antigen retrieval was mediated by high pressure in a citrate buffer (pH 6.0). Section was blocked with 10% normal goat serum 30min at RT. Then primary antibody (1% BSA) was incubated at 4°C overnight. The primary is detected by a biotinylated secondary antibody and visualized using an HRP conjugated SP system.
NUCB2 Antibodies
NUCB2 for Homo sapiens (Human)
| 產品貨號 | 產品名稱 | 種屬反應性 | 應用類型 |
|---|---|---|---|
| CSB-PA016146HA01HU | NUCB2 Antibody | Human, Mouse, Rat | ELISA, WB, IHC |
| CSB-PA016146HC01HU | NUCB2 Antibody, FITC conjugated | Human | |
| CSB-PA016146HD01HU | NUCB2 Antibody, Biotin conjugated | Human | ELISA |
NUCB2 Proteins
NUCB2 Proteins for Homo sapiens (Human)
| 產品貨號 | 產品名稱 | 來源 |
|---|---|---|
| CSB-YP016146HU CSB-BP016146HU CSB-MP016146HU CSB-EP016146HU-B |
Recombinant Human Nucleobindin-2 (NUCB2) | Yeast Baculovirus Mammalian cell In Vivo Biotinylation in E.coli |
| CSB-AP000391HU | Recombinant Human Nucleobindin-2 protein (NUCB2) | E.Coli |
| CSB-EP016146HU | Recombinant Human Nucleobindin-2 (NUCB2) | E.coli |






