NR1H3
NR1H3,即肝X受體α(LXRα),這是一種在代謝調控中扮演關鍵角色的核受體,LXRα是它最常用的別名。它主要分布在肝臟、脂肪組織等代謝活躍的器官,能敏銳感知體內膽固醇的變化,協調膽固醇的轉運與排出,同時參與脂肪的合成與分解,維持身體脂質的平衡狀態。
NR1H3功能出現異常,可能導致膽固醇代謝紊亂,進而引發動脈粥樣硬化、非酒精性脂肪肝等代謝性疾病,甚至與2型糖尿病的進展相關。目前,針對它的藥物研發聚焦于激動劑方向,這類藥物可通過激活該蛋白改善脂質代謝問題,部分候選藥物已進入臨床試驗階段,探索其在心血管疾病和脂肪肝治療中的應用價值。
熱銷產品
Recombinant Human Oxysterols receptor LXR-alpha (NR1H3) (CSB-EP619753HUb1)
驗證數據
(Tris-Glycine gel) Discontinuous SDS-PAGE (reduced) with 5% enrichment gel and 15% separation gel.
NR1H3 Antibody (CSB-PA619753LA01HU)
驗證數據
Western blot
All lanes: NR1H3 antibody at 6µg/ml + Mouse liver tissue
Secondary
Goat polyclonal to rabbit IgG at 1/10000 dilution
Predicted band size: 51, 44, 46 kDa
Observed band size: 51 kDa
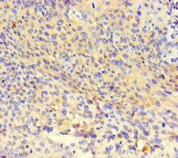
Immunohistochemistry of paraffin-embedded human placenta tissue using CSB-PA619753LA01HU at dilution of 1:100
Immunohistochemistry of paraffin-embedded human thyroid tissue using CSB-PA619753LA01HU at dilution of 1:100
NR1H3 Antibodies
NR1H3 for Homo sapiens (Human)
| 產品貨號 | 產品名稱 | 種屬反應性 | 應用類型 |
|---|---|---|---|
| CSB-PA619753LA01HU | NR1H3 Antibody | Human, Mouse | ELISA, WB, IHC |
| CSB-PA016046GA01HU | NR1H3 Antibody | Human,Mouse,Rat | ELISA,WB |
| CSB-PA004906 | NR1H3 Antibody | Human,Mouse,Rat | WB, ELISA |
NR1H3 Proteins
NR1H3 Proteins for Homo sapiens (Human)
| 產品貨號 | 產品名稱 | 來源 |
|---|---|---|
| CSB-YP619753HU CSB-BP619753HU CSB-MP619753HU CSB-EP619753HU-B |
Recombinant Human Oxysterols receptor LXR-alpha (NR1H3) | Yeast Baculovirus Mammalian cell In Vivo Biotinylation in E.coli |
| CSB-EP619753HU | Recombinant Human Oxysterols receptor LXR-alpha (NR1H3) | E.coli |
| CSB-EP619753HUb1 | Recombinant Human Oxysterols receptor LXR-alpha (NR1H3) | E.coli |
NR1H3 Proteins for Bos taurus (Bovine)
| 產品貨號 | 產品名稱 | 來源 |
|---|---|---|
| CSB-YP704830BO CSB-EP704830BO CSB-BP704830BO CSB-MP704830BO CSB-EP704830BO-B |
Recombinant Bovine Oxysterols receptor LXR-alpha (NR1H3) | Yeast E.coli Baculovirus Mammalian cell In Vivo Biotinylation in E.coli |
NR1H3 Proteins for Rattus norvegicus (Rat)
| 產品貨號 | 產品名稱 | 來源 |
|---|---|---|
| CSB-YP717273RA CSB-EP717273RA CSB-BP717273RA CSB-MP717273RA CSB-EP717273RA-B |
Recombinant Rat Oxysterols receptor LXR-alpha (Nr1h3) | Yeast E.coli Baculovirus Mammalian cell In Vivo Biotinylation in E.coli |






