NOTCH3
NOTCH3,全稱為Neurogenic locus notch homolog protein 3,是一種重要的細胞表面受體蛋白,在血管發育和維持血管壁完整性中發揮關鍵作用。該蛋白常見別名為Ehmt2,通過與其他蛋白結合激活信號通路,進而影響靶基因表達。NOTCH3蛋白與JAGGED或DELTA家族蛋白等配體結合后,能夠調控細胞增殖、分化和凋亡等過程,對血管的形成和功能維持至關重要。研究表明,NOTCH3蛋白的異常表達或活性與多種疾病相關,包括腦小血管疾病、T細胞急性淋巴細胞白血病等。針對NOTCH3蛋白的藥物研發已成為研究熱點,目前已有多種靶向藥物處于臨床開發階段,如抗Notch3激動性抗體等,為相關疾病的治療提供了新的思路。
熱銷產品
NOTCH3 Antibody (CSB-PA892153LA01HU)
驗證數據
Immunohistochemistry of paraffin-embedded human breast cancer using CSB-PA892153LA01HU at dilution of 1:100
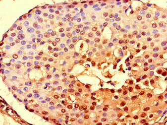
Immunohistochemistry of paraffin-embedded human colon cancer using CSB-PA892153LA01HU at dilution of 1:100
Human Neurogenic locus notch homolog protein 3(NOTCH3) ELISA kit (CSB-EL015952HU)
驗證數據
貨號:CSB-EL015952HU
規格:96T/48T
靈敏度:31.25 pg/mL
檢測范圍:125 pg/mL-8000 pg/mL
These standard curves are provided for demonstration only. A standard curve should be generated for each set of samples assayed.
NOTCH3 Antibodies
NOTCH3 for Homo sapiens (Human)
| 產品貨號 | 產品名稱 | 種屬反應性 | 應用類型 |
|---|---|---|---|
| CSB-PA015952GA01HU | NOTCH3 Antibody | Human,Mouse,Rat | ELISA,WB |
| CSB-PA586591 | NOTCH3 Antibody | Human,Mouse,Rat | ELISA,WB,IHC |
| CSB-PA892153LA01HU | NOTCH3 Antibody | Human | ELISA, IHC |
| CSB-PA892153LB01HU | NOTCH3 Antibody, HRP conjugated | Human | ELISA |
| CSB-PA892153LC01HU | NOTCH3 Antibody, FITC conjugated | Human | |
| CSB-PA892153LD01HU | NOTCH3 Antibody, Biotin conjugated | Human | ELISA |
NOTCH3 Proteins
NOTCH3 Proteins for Mus musculus (Mouse)
| 產品貨號 | 產品名稱 | 來源 |
|---|---|---|
| CSB-YP733800MO CSB-EP733800MO CSB-BP733800MO CSB-MP733800MO CSB-EP733800MO-B |
Recombinant Mouse Neurogenic locus notch homolog protein 3 (Notch3), partial | Yeast E.coli Baculovirus Mammalian cell In Vivo Biotinylation in E.coli |
NOTCH3 Proteins for Rattus norvegicus (Rat)
| 產品貨號 | 產品名稱 | 來源 |
|---|---|---|
| CSB-YP865638RA CSB-EP865638RA CSB-BP865638RA CSB-MP865638RA CSB-EP865638RA-B |
Recombinant Rat Neurogenic locus notch homolog protein 3 (Notch3), partial | Yeast E.coli Baculovirus Mammalian cell In Vivo Biotinylation in E.coli |
NOTCH3 Proteins for Homo sapiens (Human)
| 產品貨號 | 產品名稱 | 來源 |
|---|---|---|
| CSB-YP892153HU CSB-EP892153HU CSB-BP892153HU CSB-MP892153HU CSB-EP892153HU-B |
Recombinant Human Neurogenic locus notch homolog protein 3 (NOTCH3), partial | Yeast E.coli Baculovirus Mammalian cell In Vivo Biotinylation in E.coli |
NOTCH3 ELISA Kit
NOTCH3 ELISA Kit for Homo sapiens (Human)
| 產品貨號 | 產品名稱 | 樣本類型 | 靈敏度 |
|---|---|---|---|
| CSB-EL015952HU | Human Neurogenic locus notch homolog protein 3(NOTCH3) ELISA kit | serum, plasma, tissue homogenates, cell lysates | 31.25 pg/mL |






