NINJ1
NINJ1,全稱為Nerve Injury-Induced Protein 1,是一種在神經損傷后誘導表達的細胞表面蛋白,最初在神經系統中發現。它是一種細胞間粘附分子,參與多種生物學過程,尤其是在細胞損傷和修復、炎癥反應以及細胞死亡中起著重要作用。NINJ1在多種疾病中發揮重要作用。作為神經損傷誘導蛋白,NINJ1在神經再生和修復中起到關鍵作用,通過上調表達促進軸突生長和神經功能恢復。在炎癥性疾病中,NINJ1的調控作用使其成為潛在的治療靶點,通過抑制NINJ1可以減少免疫細胞的過度募集和激活,從而減輕炎癥反應。在某些腫瘤中,NINJ1的表達可能影響腫瘤細胞的粘附和遷移,進而影響腫瘤的侵襲和轉移能力。近年來,研究發現NINJ1抗體可以阻斷其寡聚化,從而預防細胞膜破裂,為減少組織損傷提供了新思路,特別是在肝細胞死亡引發的疾病中。這一發現為開發新的抗炎治療方法提供了重要的理論基礎和潛在的臨床應用價值。
熱銷產品
Recombinant Human Ninjurin-1 (NINJ1) (CSB-CF856441HU)
驗證數據
(Tris-Glycine gel) Discontinuous SDS-PAGE (reduced) with 5% enrichment gel and 15% separation gel.
NINJ1 Antibody (CSB-PA856441LA01HU)
驗證數據
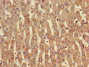
Immunohistochemistry of paraffin-embedded human liver tissue using CSB-PA856441LA01HU at dilution of 1:100
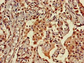
Immunohistochemistry of paraffin-embedded human lung cancer using CSB-PA856441LA01HU at dilution of 1:100
Immunofluorescent analysis of HepG2 cells using CSB-PA856441LA01HU at dilution of 1:100 and Alexa Fluor 488-congugated AffiniPure Goat Anti-Rabbit IgG(H+L)
Immunofluorescent analysis of A549 cells using CSB-PA856441LA01HU at dilution of 1:100 and Alexa Fluor 488-congugated AffiniPure Goat Anti-Rabbit IgG(H+L)
Human Ninjurin-1(NINJ1) ELISA kit (CSB-EL015808HU)
驗證數據
貨號:CSB-EL015808HU
規格:96T/48T
靈敏度:6.25 pg/mL
檢測范圍:25 pg/mL-1600 pg/mL
These standard curves are provided for demonstration only. A standard curve should be generated for each set of samples assayed.
NINJ1 Antibodies
NINJ1 for Homo sapiens (Human)
| 產品貨號 | 產品名稱 | 種屬反應性 | 應用類型 |
|---|---|---|---|
| CSB-PA856441LA01HU | NINJ1 Antibody | Human | ELISA, IHC, IF |
| CSB-PA856441LB01HU | NINJ1 Antibody, HRP conjugated | Human | ELISA |
| CSB-PA856441LC01HU | NINJ1 Antibody, FITC conjugated | Human | |
| CSB-PA856441LD01HU | NINJ1 Antibody, Biotin conjugated | Human | ELISA |
NINJ1 Proteins
NINJ1 Proteins for Homo sapiens (Human)
| 產品貨號 | 產品名稱 | 來源 |
|---|---|---|
| CSB-YP856441HU1 CSB-EP856441HU1 CSB-BP856441HU1 CSB-MP856441HU1 CSB-EP856441HU1-B |
Recombinant Human Ninjurin-1 (NINJ1), partial | Yeast E.coli Baculovirus Mammalian cell In Vivo Biotinylation in E.coli |
| CSB-CF856441HU | Recombinant Human Ninjurin-1 (NINJ1) | in vitro E.coli expression system |
| CSB-MP856441HU | Recombinant Human Ninjurin-1 (NINJ1)-VLPs | Mammalian cell |
NINJ1 ELISA Kit
NINJ1 ELISA Kit for Homo sapiens (Human)
| 產品貨號 | 產品名稱 | 樣本類型 | 靈敏度 |
|---|---|---|---|
| CSB-EL015808HU | Human Ninjurin-1(NINJ1) ELISA kit | serum, plasma, tissue homogenates, cell lysates | 6.25 pg/mL |






