NELFCD
NELFCD(Negative elongation factor CD)屬于NELF 蛋白質家族的一部分,這個家族包括NELFA、NELFB、NELFE 和NELFD。NELFCD 主要功能是負調控轉錄,他的結構特點包括含有多個保守的結構域,如螺旋結構和螺旋轉向結構,且與其他NELF 蛋白一起形成復合物,參與基因轉錄的抑制。在信號通路方面,NELFCD 作為轉錄抑制因子,通過與RNA聚合酶Ⅱ復合物相互作用,抑制RNA的合成速率,從而調控基因的表達。對基因轉錄進行負調控。針對NELFCD 的研究可能為未來開發相關藥物或治療方法提供新的思路。
熱銷產品
NELFCD Antibody (Code:CSB-PA815573ESR2HU)
驗證數據
All lanes: NELFCD antibody at 8μg/ml
Lane 1: Jurkat whole cell lysate
Lane 2: Hela whole cell lysate
Secondary
Goat polyclonal to rabbit IgG at 1/10000 dilution
Predicted band size: 67, 23, 66 kDa
Observed band size: 67 kDa
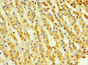
Immunohistochemistry of paraffin-embedded human adrenal gland tissue using CSB-PA815573ESR2HU at dilution of 1:100
NELFCD Antibodies
NELFCD for Homo sapiens (Human)
| 產品貨號 | 產品名稱 | 種屬反應性 | 應用類型 |
|---|---|---|---|
| CSB-PA023471GA01HU | NELFCD Antibody | Human,Mouse,Rat | ELISA,WB |
| CSB-PA815573ESR2HU | NELFCD Antibody | Human | ELISA, WB, IHC |
NELFCD Proteins
NELFCD Proteins for Homo sapiens (Human)
| 產品貨號 | 產品名稱 | 來源 |
|---|---|---|
| CSB-YP815573HU CSB-EP815573HU CSB-BP815573HU CSB-MP815573HU CSB-EP815573HU-B |
Recombinant Human Negative elongation factor C/D (TH1L) | Yeast E.coli Baculovirus Mammalian cell In Vivo Biotinylation in E.coli |






