NCR3
NCR3,全稱為Natural cytotoxicity triggering receptor 3,也被稱為NKp30,是一種存在于自然殺傷細胞表面的跨膜蛋白。它屬于免疫球蛋白超家族,能夠識別并結合腫瘤細胞或病毒感染細胞表面的多種非MHC配體,如硫酸乙酰肝素糖胺聚糖(HS GAGs)和B7-H6等,從而激活NK細胞的細胞毒性作用,直接裂解靶細胞。NCR3的激活能夠調節NK細胞的細胞因子分泌功能,如干擾素-γ(IFN-γ)和腫瘤壞死因子-α(TNF-α)等,這些細胞因子能夠進一步增強免疫反應,清除感染或腫瘤細胞。NCR3在腫瘤免疫逃逸和抗病毒免疫中發揮著重要作用,其功能狀態可能影響腫瘤的發生發展以及病毒感染的慢性化進程。目前,針對NCR3的治療策略主要包括使用單克隆抗體增強NCR3與配體的結合活性,或通過基因治療上調NK細胞表面NCR3的表達,以增強NK細胞的抗腫瘤活性。此外,部分小分子及生物制劑已進入臨床驗證階段,未來有望為腫瘤和感染性疾病患者帶來新的治療選擇。
熱銷產品
驗證數據
(Tris-Glycine gel) Discontinuous SDS-PAGE (reduced) with 5% enrichment gel and 15% separation gel.
Activity
Measured by its binding ability in a functional ELISA. Immobilized Human NCR3 at 5 μg/ml can bind human NCR3LG1(CSB-MP737873HU-B). The EC50 is 111.3-303.1 ng/mL.
The purity of NCR3 was greater than 95% as determined by SEC-HPLC
NCR3 Antibody (CSB-PA015551LA01HU)
驗證數據
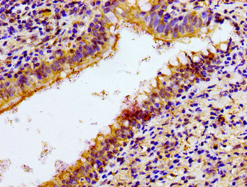
Immunohistochemistry of paraffin-embedded human lung cancer using CSB-PA015551LA01HU at dilution of 1:100
Immunofluorescence staining of HepG2 cells with CSB-PA015551LA01HU at 1:100, counter-stained with DAPI. The cells were fixed in 4% formaldehyde, permeabilized using 0.2% Triton X-100 and blocked in 10% normal Goat Serum. The cells were then incubated with the antibody overnight at 4°C. The secondary antibody was Alexa Fluor 488-congugated AffiniPure Goat Anti-Rabbit IgG(H+L).
NCR3 Antibodies
NCR3 for Homo sapiens (Human)
| 產品貨號 | 產品名稱 | 種屬反應性 | 應用類型 |
|---|---|---|---|
| CSB-PA006291 | NCR3 Antibody | Human,Rat | WB, ELISA |
| CSB-PA008587 | NCR3 Antibody | Human,Rat | WB, ELISA |
| CSB-PA031920 | NCR3 Antibody | Human | ELISA,IHC |
| CSB-PA899163 | NCR3 Antibody | Human | ELISA,IHC |
| CSB-PA015551LA01HU | NCR3 Antibody | Human | ELISA, IHC, IF |
| CSB-PA015551LB01HU | NCR3 Antibody, HRP conjugated | Human | ELISA |
| CSB-PA015551LD01HU | NCR3 Antibody, Biotin conjugated | Human | ELISA |
NCR3 Proteins
NCR3 Proteins for Homo sapiens (Human)
| 產品貨號 | 產品名稱 | 來源 |
|---|---|---|
| CSB-YP015551HU1 CSB-EP015551HU1 CSB-BP015551HU1 CSB-EP015551HU1-B |
Recombinant Human Natural cytotoxicity triggering receptor 3 (NCR3), partial | Yeast E.coli Baculovirus In Vivo Biotinylation in E.coli |
| CSB-CF015551HU | Recombinant Human Natural cytotoxicity triggering receptor 3 (NCR3) | in vitro E.coli expression system |
| CSB-MP015551HU1 | Recombinant Human Natural cytotoxicity triggering receptor 3 (NCR3), partial (Active) | Mammalian cell |
NCR3 Proteins for Macaca fascicularis (Crab-eating macaque) (Cynomolgus monkey)
| 產品貨號 | 產品名稱 | 來源 |
|---|---|---|
| CSB-YP015551MOV1 CSB-EP015551MOV1 CSB-BP015551MOV1 CSB-EP015551MOV1-B |
Recombinant Macaca fascicularis Natural cytotoxicity triggering receptor 3 (NCR3), partial | Yeast E.coli Baculovirus In Vivo Biotinylation in E.coli |
| CSB-CF015551MOV | Recombinant Macaca fascicularis Natural cytotoxicity triggering receptor 3 (NCR3) | in vitro E.coli expression system |
NCR3 Proteins for Pan troglodytes (Chimpanzee)
| 產品貨號 | 產品名稱 | 來源 |
|---|---|---|
| CSB-YP015551EQV1 CSB-EP015551EQV1 CSB-BP015551EQV1 CSB-MP015551EQV1 CSB-EP015551EQV1-B |
Recombinant Pan troglodytes Natural cytotoxicity triggering receptor 3 (NCR3), partial | Yeast E.coli Baculovirus Mammalian cell In Vivo Biotinylation in E.coli |
| CSB-CF015551EQV | Recombinant Pan troglodytes Natural cytotoxicity triggering receptor 3 (NCR3) | in vitro E.coli expression system |
NCR3 Proteins for Rattus norvegicus (Rat)
| 產品貨號 | 產品名稱 | 來源 |
|---|---|---|
| CSB-YP015551RA CSB-EP015551RA CSB-BP015551RA CSB-MP015551RA CSB-EP015551RA-B |
Recombinant Rat Natural cytotoxicity triggering receptor 3 (Ncr3), partial | Yeast E.coli Baculovirus Mammalian cell In Vivo Biotinylation in E.coli |
NCR3 Proteins for Macaca mulatta (Rhesus macaque)
| 產品貨號 | 產品名稱 | 來源 |
|---|---|---|
| CSB-YP015551MOW CSB-EP015551MOW CSB-BP015551MOW CSB-MP015551MOW CSB-EP015551MOW-B |
Recombinant Macaca mulatta Natural cytotoxicity triggering receptor 3 (NCR3), partial | Yeast E.coli Baculovirus Mammalian cell In Vivo Biotinylation in E.coli |






