NCOA4
NCOA4,即核受體共激活因子4,別名SRC-3、p160,是一種重要的核受體共激活因子,由NCOA4基因編碼。它通過與多種核受體和轉錄因子相互作用,增強下游基因的轉錄活性,參與細胞增殖、分化和代謝等生理過程。NCOA4在調節性激素信號傳導、細胞周期控制中發揮關鍵作用,其異常表達與乳腺癌、前列腺癌等多種癌癥的發生發展相關,是癌癥治療的潛在靶點。同時,NCOA4也涉及能量代謝和肥胖相關疾病的調控,對研究代謝性疾病具有重要意義。
熱銷產品
NCOA4 Antibody (CSB-PA015542ESR1HU)
驗證數據
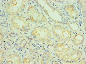
Immunohistochemistry of paraffin-embedded human kidney tissue using CSB-PA015542ESR1HU at dilution of 1:100
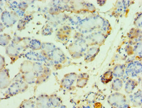
Immunohistochemistry of paraffin-embedded human pancreatic tissue using CSB-PA015542ESR1HU at dilution of 1:100
Immunofluorescent analysis of MCF-7 cells using CSB-PA015542ESR1HU at dilution of 1:100 and Alexa Fluor 488-congugated AffiniPure Goat Anti-Rabbit IgG(H+L)
NCOA4 Antibodies
NCOA4 for Homo sapiens (Human)
| 產品貨號 | 產品名稱 | 種屬反應性 | 應用類型 |
|---|---|---|---|
| CSB-PA015542ESR1HU | NCOA4 Antibody | Human | ELISA, IHC, IF |
| CSB-PA000917 | NCOA4 Antibody | Human,Mouse,Rat | WB, IHC, ELISA |
NCOA4 Proteins
NCOA4 Proteins for Homo sapiens (Human)
| 產品貨號 | 產品名稱 | 來源 |
|---|---|---|
| CSB-YP015542HU CSB-EP015542HU CSB-BP015542HU CSB-MP015542HU CSB-EP015542HU-B |
Recombinant Human Nuclear receptor coactivator 4 (NCOA4) | Yeast E.coli Baculovirus Mammalian cell In Vivo Biotinylation in E.coli |






