NCL
NCL,全稱為核仁蛋白(Nucleolar protein),是一種在活躍生長的真核細胞中發揮重要作用的核仁成分。該蛋白常見別名包括核仁素(Nucleolin)等,主要與核仁內的染色質和前核糖體顆粒相關。NCL蛋白通過與組蛋白H1結合,促進其參與誘導染色質解縮,并參與前rRNA的轉錄過程,對核糖體的組裝至關重要。此外,NCL蛋白還在細胞周期調控、DNA復制和修復等方面發揮作用,是維持細胞正常生理功能的關鍵蛋白。
NCL蛋白與多種疾病的發生發展密切相關,如癌癥、神經系統疾病和代謝性疾病等。研究表明,NCL蛋白的表達異常與腫瘤細胞的增殖、轉移和耐藥性密切相關,因此成為癌癥藥物研發的重要靶點。目前,針對NCL蛋白的靶向藥物和生物制劑已在臨床前研究中取得一定進展,有望為相關疾病的治療提供新的策略。
熱銷產品
Recombinant Human Nucleolin (NCL),Partial (CSB-YP015535HU)
驗證數據
(Tris-Glycine gel) Discontinuous SDS-PAGE (reduced) with 5% enrichment gel and 15% separation gel.
Based on the SEQUEST from database of Yeast host and target protein, the LC-MS/MS Analysis result of CSB-YP015535HU could indicate that this peptide derived from Yeast-expressed Homo sapiens (Human) NCL.
Based on the SEQUEST from database of Yeast host and target protein, the LC-MS/MS Analysis result of CSB-YP015535HU could indicate that this peptide derived from Yeast-expressed Homo sapiens (Human) NCL.
NCL Antibody (CSB-PA015535DSR2HU)
驗證數據
Western blot
All lanes: NCL antibody at 8μg/ml
Lane 1: Jurkat whole cell lysate
Lane 2: Hela whole cell lysate
Lane 3: 293T whole cell lysate
Secondary
Goat polyclonal to rabbit IgG at 1/10000 dilution
Predicted band size: 77 kDa
Observed band size: 77 kDa
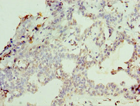
Immunohistochemistry of paraffin-embedded human breast cancer using CSB-PA015535DSR2HU at dilution of 1:100
Human Nucleolin(NCL) ELISA kit (CSB-EL015535HU)
驗證數據
貨號:CSB-EL015535HU
規格:96T/48T
靈敏度:7.81 pg/mL
檢測范圍:31.25 pg/mL-2000 pg/mL
These standard curves are provided for demonstration only. A standard curve should be generated for each set of samples assayed.
NCL Antibodies
NCL for Homo sapiens (Human)
| 產品貨號 | 產品名稱 | 種屬反應性 | 應用類型 |
|---|---|---|---|
| CSB-PA015535GA01HU | NCL Antibody | Human,Mouse | ELISA,WB,IHC |
| CSB-PA015535DSR1HU | NCL Antibody | Human | ELISA, WB |
| CSB-PA015535DSR2HU | NCL Antibody | Human | ELISA, WB, IHC |
NCL Proteins
NCL Proteins for Rattus norvegicus (Rat)
| 產品貨號 | 產品名稱 | 來源 |
|---|---|---|
| CSB-YP015535RA CSB-EP015535RA CSB-BP015535RA CSB-MP015535RA CSB-EP015535RA-B |
Recombinant Rat Nucleolin (Ncl) | Yeast E.coli Baculovirus Mammalian cell In Vivo Biotinylation in E.coli |
NCL Proteins for Homo sapiens (Human)
| 產品貨號 | 產品名稱 | 來源 |
|---|---|---|
| CSB-YP015535HU | Recombinant Human Nucleolin (NCL),Partial | Yeast |
| CSB-EP015535HU CSB-BP015535HU CSB-MP015535HU CSB-EP015535HU-B |
Recombinant Human Nucleolin (NCL),Partial | E.coli Baculovirus Mammalian cell In Vivo Biotinylation in E.coli |
NCL Proteins for Gallus gallus (Chicken)
| 產品貨號 | 產品名稱 | 來源 |
|---|---|---|
| CSB-YP015535CH CSB-EP015535CH CSB-BP015535CH CSB-MP015535CH CSB-EP015535CH-B |
Recombinant Chicken Nucleolin (NCL), partial | Yeast E.coli Baculovirus Mammalian cell In Vivo Biotinylation in E.coli |
NCL Proteins for Mus musculus (Mouse)
| 產品貨號 | 產品名稱 | 來源 |
|---|---|---|
| CSB-YP015535MO CSB-EP015535MO CSB-BP015535MO CSB-MP015535MO CSB-EP015535MO-B |
Recombinant Mouse Nucleolin (Ncl), partial | Yeast E.coli Baculovirus Mammalian cell In Vivo Biotinylation in E.coli |
NCL Proteins for Xenopus laevis (African clawed frog)
| 產品貨號 | 產品名稱 | 來源 |
|---|---|---|
| CSB-YP015535XBE CSB-EP015535XBE CSB-BP015535XBE CSB-MP015535XBE CSB-EP015535XBE-B |
Recombinant Xenopus laevis Nucleolin (ncl), partial | Yeast E.coli Baculovirus Mammalian cell In Vivo Biotinylation in E.coli |
NCL Proteins for Mesocricetus auratus (Golden hamster)
| 產品貨號 | 產品名稱 | 來源 |
|---|---|---|
| CSB-YP015535MRG CSB-EP015535MRG CSB-BP015535MRG CSB-MP015535MRG CSB-EP015535MRG-B |
Recombinant Mesocricetus auratus Nucleolin (NCL), partial | Yeast E.coli Baculovirus Mammalian cell In Vivo Biotinylation in E.coli |
NCL Proteins for Macaca fascicularis (Crab-eating macaque) (Cynomolgus monkey)
| 產品貨號 | 產品名稱 | 來源 |
|---|---|---|
| CSB-YP015535MOV CSB-EP015535MOV CSB-BP015535MOV CSB-MP015535MOV CSB-EP015535MOV-B |
Recombinant Macaca fascicularis Nucleolin (NCL), partial | Yeast E.coli Baculovirus Mammalian cell In Vivo Biotinylation in E.coli |
NCL Proteins for Pongo abelii (Sumatran orangutan)
| 產品貨號 | 產品名稱 | 來源 |
|---|---|---|
| CSB-YP015535PYX CSB-EP015535PYX CSB-BP015535PYX CSB-MP015535PYX CSB-EP015535PYX-B |
Recombinant Pongo abelii Nucleolin (NCL), partial | Yeast E.coli Baculovirus Mammalian cell In Vivo Biotinylation in E.coli |
NCL ELISA Kit
NCL ELISA Kit for Homo sapiens (Human)
| 產品貨號 | 產品名稱 | 樣本類型 | 靈敏度 |
|---|---|---|---|
| CSB-EL015535HU | Human Nucleolin(NCL) ELISA kit | serum, plasma, tissue homogenates, cell lysates | 7.81 pg/mL |






