NBR1
NBR1 ,全稱為 NBR1 自噬貨物受體,通過與泛素化自噬底物形成細胞內包涵體,選擇性自噬降解過氧化物酶體。NBR1 在自噬過程中扮演著重要角色,能夠識別并靶向特定的底物,如甘露糖苷酶 Ams1 和氨基肽酶 Ape4,從而促進其降解。研究發現,NBR1 在不同真核生物中含有不同組合的結構域,但都有一個標志性而功能尚不清楚的 FW 結構域。最新的研究表明,NBR1 通過磷酸化修飾與 tau 蛋白聚集體特異性結合,促進其自噬降解,這一發現為阿爾茨海默病(AD)的治療提供了新的靶點。
NBR1 蛋白的異常表達或功能缺陷與多種疾病相關,包括卵巢癌、神經退行性疾病(如阿爾茨海默病、帕金森病)以及一些小兒神經系統疾病(如缺氧缺血性腦損傷、小兒驚厥相關性疾病)。目前,針對 NBR1 蛋白的藥物研發尚處于起步階段,但已有研究證實,通過增強 NBR1 功能來促進 tau 清除的治療策略對 AD 具有潛在的治療效果。
熱銷產品
NBR1 Monoclonal Antibody (CSB-MA406807)
驗證數據
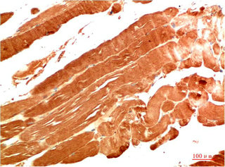
Immunohistochemical analysis of paraffin-embedded Human Skeletal Muscle Tissue using NBR1 Mouse mAb diluted at 1:200.
NBR1 Antibody (CSB-PA622775ESR2HU)
驗證數據
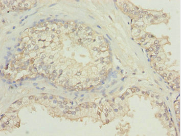
Immunohistochemistry of paraffin-embedded human prostate cancer using CSB-PA622775ESR2HU at dilution of 1:100
Immunohistochemistry of paraffin-embedded human adrenal gland tissue using CSB-PA622775ESR2HU at dilution of 1:100
NBR1 Antibodies
NBR1 for Homo sapiens (Human)
| 產品貨號 | 產品名稱 | 種屬反應性 | 應用類型 |
|---|---|---|---|
| CSB-PA015508GA01HU | NBR1 Antibody | Human,Mouse,Rat | ELISA,WB,IF |
| CSB-PA622775ESR1HU | NBR1 Antibody | Human | ELISA, IHC |
| CSB-PA622775ESR2HU | NBR1 Antibody | Human | ELISA, IHC |
| CSB-PA286085 | NBR1 Antibody | Human,Mouse,Rat | IHC, ELISA |
| CSB-PA514397 | NBR1 Antibody | Human,Mouse,Rat | IHC, ELISA |
| CSB-MA406807 | NBR1 Monoclonal Antibody | Human,Mouse,Rat | ELISA,IHC |
NBR1 Proteins
NBR1 Proteins for Mus musculus (Mouse)
| 產品貨號 | 產品名稱 | 來源 |
|---|---|---|
| CSB-YP015508MO CSB-EP015508MO CSB-BP015508MO CSB-MP015508MO CSB-EP015508MO-B |
Recombinant Mouse Next to BRCA1 gene 1 protein (Nbr1), partial | Yeast E.coli Baculovirus Mammalian cell In Vivo Biotinylation in E.coli |
NBR1 Proteins for Homo sapiens (Human)
| 產品貨號 | 產品名稱 | 來源 |
|---|---|---|
| CSB-YP622775HU CSB-EP622775HU CSB-BP622775HU CSB-MP622775HU CSB-EP622775HU-B |
Recombinant Human Next to BRCA1 gene 1 protein (NBR1), partial | Yeast E.coli Baculovirus Mammalian cell In Vivo Biotinylation in E.coli |
NBR1 Proteins for Rattus norvegicus (Rat)
| 產品貨號 | 產品名稱 | 來源 |
|---|---|---|
| CSB-YP709464RA CSB-EP709464RA CSB-BP709464RA CSB-MP709464RA CSB-EP709464RA-B |
Recombinant Rat Next to BRCA1 gene 1 protein (Nbr1), partial | Yeast E.coli Baculovirus Mammalian cell In Vivo Biotinylation in E.coli |
NBR1 Proteins for Pongo abelii (Sumatran orangutan)
| 產品貨號 | 產品名稱 | 來源 |
|---|---|---|
| CSB-YP719252PYX CSB-EP719252PYX CSB-BP719252PYX CSB-MP719252PYX CSB-EP719252PYX-B |
Recombinant Pongo abelii Next to BRCA1 gene 1 protein (NBR1), partial | Yeast E.coli Baculovirus Mammalian cell In Vivo Biotinylation in E.coli |






