NANOG
NANOG,全稱為NANOG同源盒蛋白,常見別名包括ENK、HT24等。它在早期胚胎發育中發揮重要作用,參與調控內細胞團的形成,能讓胚胎干細胞維持未分化的多能狀態,支持其持續自我更新。當NANOG在成體組織中異常表達時,往往與肺癌、乳腺癌等惡性腫瘤相關——不少患者的腫瘤樣本里它的水平顯著升高,會幫助腫瘤細胞抵抗治療、向遠處組織擴散,增加病情復發的風險。目前針對該蛋白的藥物研發處于早期階段,研究人員嘗試用小分子化合物、RNA干擾制劑等降低其活性,實驗室結果顯示這類干預能抑制腫瘤干細胞的增殖,但相關候選藥物尚未進入臨床應用階段。
熱銷產品
Recombinant Human Homeobox protein NANOG (NANOG) (CSB-EP888008HU)
驗證數據
(Tris-Glycine gel) Discontinuous SDS-PAGE (reduced) with 5% enrichment gel and 15% separation gel.
NANOG Recombinant Monoclonal Antibody (CSB-RA032801A0HU)
驗證數據
Overlay Peak curve showing Hela cells stained with CSB-RA032801A0HU (red line) at 1:50. The cells were fixed in 4% formaldehyde and permeated by 0.2% TritonX-100. Then 10% normal goat serum to block non-specific protein-protein interactions followed by the antibody (1μg/1*106cells) for 45min at 4℃. The secondary antibody used was FITC-conjugated Goat Anti-rabbit IgG(H+L) at 1:200 dilution for 35min at 4℃.Control antibody (green line) was rabbit IgG (1μg/1*106cells) used under the same conditions. Acquisition of >10,000 events was performed.
NANOG Antibody (CSB-PA888008LA01HU)
驗證數據
Western Blot
Positive WB detected in: Ntera-2 whole cell lysate
All lanes: NANOG antibody at 3µg/ml
Secondary
Goat polyclonal to rabbit IgG at 1/50000 dilution
Predicted band size: 35, 33 kDa
Observed band size: 35 kDa
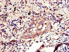
Immunohistochemistry of paraffin-embedded human lung cancer using CSB-PA888008LA01HU at dilution of 1:100
NANOG Antibodies
NANOG for Homo sapiens (Human)
| 產品貨號 | 產品名稱 | 種屬反應性 | 應用類型 |
|---|---|---|---|
| CSB-PA015424GA01HU | NANOG Antibody | Human | ELISA,WB,IF |
| CSB-PA888008LA01HU | NANOG Antibody | Human | ELISA, WB, IHC |
| CSB-PA888008LD01HU | NANOG Antibody, Biotin conjugated | Human | ELISA |
| CSB-PA888008LC01HU | NANOG Antibody, FITC conjugated | Human | |
| CSB-PA888008LB01HU | NANOG Antibody, HRP conjugated | Human | ELISA |
| CSB-MA888008A0m | NANOG Monoclonal Antibody | Human, Mouse, Rat | ELISA, WB, ICC, IF, FC |
| CSB-RA032801A0HU | NANOG Recombinant Monoclonal Antibody | Human | ELISA, FC |
| CSB-RA888008MA1HU | NANOG Recombinant Monoclonal Antibody | Human, Mouse | ELISA, WB, FC |
NANOG Proteins
NANOG Proteins for Pan troglodytes (Chimpanzee)
| 產品貨號 | 產品名稱 | 來源 |
|---|---|---|
| CSB-YP663393EQV CSB-EP663393EQV CSB-BP663393EQV CSB-MP663393EQV CSB-EP663393EQV-B |
Recombinant Pan troglodytes Homeobox protein NANOG (NANOG) | Yeast E.coli Baculovirus Mammalian cell In Vivo Biotinylation in E.coli |
NANOG Proteins for Bos taurus (Bovine)
| 產品貨號 | 產品名稱 | 來源 |
|---|---|---|
| CSB-YP678046BO CSB-EP678046BO CSB-BP678046BO CSB-MP678046BO CSB-EP678046BO-B |
Recombinant Bovine Homeobox protein NANOG (NANOG) | Yeast E.coli Baculovirus Mammalian cell In Vivo Biotinylation in E.coli |
NANOG Proteins for Mus musculus molossinus (Japanese house mouse)
| 產品貨號 | 產品名稱 | 來源 |
|---|---|---|
| CSB-YP722589MUX CSB-EP722589MUX CSB-BP722589MUX CSB-MP722589MUX CSB-EP722589MUX-B |
Recombinant Mus musculus molossinus Homeobox protein NANOG (Nanog) | Yeast E.coli Baculovirus Mammalian cell In Vivo Biotinylation in E.coli |
NANOG Proteins for Macaca fascicularis (Crab-eating macaque) (Cynomolgus monkey)
| 產品貨號 | 產品名稱 | 來源 |
|---|---|---|
| CSB-YP725910MOV CSB-EP725910MOV CSB-BP725910MOV CSB-MP725910MOV CSB-EP725910MOV-B |
Recombinant Macaca fascicularis Homeobox protein NANOG (NANOG) | Yeast E.coli Baculovirus Mammalian cell In Vivo Biotinylation in E.coli |
NANOG Proteins for Mus musculus (Mouse)
| 產品貨號 | 產品名稱 | 來源 |
|---|---|---|
| CSB-YP800371MO CSB-EP800371MO CSB-BP800371MO CSB-MP800371MO CSB-EP800371MO-B |
Recombinant Mouse Homeobox protein NANOG (Nanog) | Yeast E.coli Baculovirus Mammalian cell In Vivo Biotinylation in E.coli |
NANOG Proteins for Homo sapiens (Human)
| 產品貨號 | 產品名稱 | 來源 |
|---|---|---|
| CSB-YP888008HU | Recombinant Human Homeobox protein NANOG (NANOG) | Yeast |
| CSB-EP888008HU | Recombinant Human Homeobox protein NANOG (NANOG) | E.coli |
| CSB-BP888008HU CSB-MP888008HU CSB-EP888008HU-B |
Recombinant Human Homeobox protein NANOG (NANOG) | Baculovirus Mammalian cell In Vivo Biotinylation in E.coli |
| CSB-EP888008HUb1 | Recombinant Human Homeobox protein NANOG (NANOG) | E.coli |






