MYT1
MYT1,也稱為myelin transcription factor 1,是一種與中樞神經系統蛋白合成相關的轉錄因子。它有多種別名,如MTF1、MYTI、neural zinc finger transcription factor 2、NZF2、ZC2H2C1、ZC2HC4A等。MYT1蛋白在神經元的發育和寡突細胞的形成中扮演重要角色,可能通過調節寡突細胞譜系發育中的關鍵轉折點來發揮作用。MYT1蛋白的表達主要在發育中的神經系統,特別是在神經祖細胞和寡突細胞譜系細胞中。目前,針對MYT1蛋白的藥物研發主要集中在尋找能夠抑制其活性的化合物,以用于治療與中樞神經系統相關的疾病。
熱銷產品
Recombinant Human Myelin transcription factor 1 (MYT1), partial (CSB-EP015387HUd7)
驗證數據
(Tris-Glycine gel) Discontinuous SDS-PAGE (reduced) with 5% enrichment gel and 15% separation gel.
MYT1 Antibody (CSB-PA015387LA01HU)
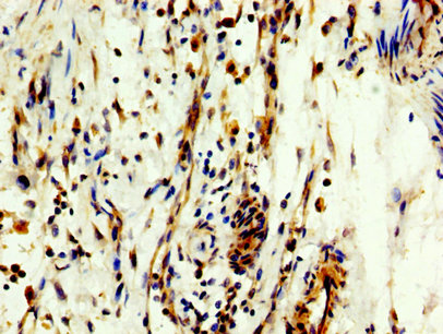
驗證數據
IHC image of CSB-PA015387LA01HU diluted at 1:300 and staining in paraffin-embedded human bladder cancer performed on a Leica BondTM system. After dewaxing and hydration, antigen retrieval was mediated by high pressure in a citrate buffer (pH 6.0). Section was blocked with 10% normal goat serum 30min at RT. Then primary antibody (1% BSA) was incubated at 4°C overnight. The primary is detected by a biotinylated secondary antibody and visualized using an HRP conjugated SP system.
MYT1 Antibodies
MYT1 for Homo sapiens (Human)
| 產品貨號 | 產品名稱 | 種屬反應性 | 應用類型 |
|---|---|---|---|
| CSB-PA015387LA01HU | MYT1 Antibody | Human | ELISA, IHC |
| CSB-PA015387LB01HU | MYT1 Antibody, HRP conjugated | Human | ELISA |
| CSB-PA015387LC01HU | MYT1 Antibody, FITC conjugated | Human | |
| CSB-PA015387LD01HU | MYT1 Antibody, Biotin conjugated | Human | ELISA |
MYT1 Proteins
MYT1 Proteins for Homo sapiens (Human)
| 產品貨號 | 產品名稱 | 來源 |
|---|---|---|
| CSB-YP015387HU CSB-BP015387HU CSB-MP015387HU CSB-EP015387HU-B |
Recombinant Human Myelin transcription factor 1 (MYT1), partial | Yeast Baculovirus Mammalian cell In Vivo Biotinylation in E.coli |
| CSB-EP015387HU | Recombinant Human Myelin transcription factor 1 (MYT1), partial | E.coli |
| CSB-EP015387HUd7 | Recombinant Human Myelin transcription factor 1 (MYT1), partial | E.coli |
MYT1 Proteins for Xenopus laevis (African clawed frog)
| 產品貨號 | 產品名稱 | 來源 |
|---|---|---|
| CSB-YP015387XBE CSB-EP015387XBE CSB-BP015387XBE CSB-MP015387XBE CSB-EP015387XBE-B |
Recombinant Xenopus laevis Myelin transcription factor 1 (myt1), partial | Yeast E.coli Baculovirus Mammalian cell In Vivo Biotinylation in E.coli |
MYT1 Proteins for Mus musculus (Mouse)
| 產品貨號 | 產品名稱 | 來源 |
|---|---|---|
| CSB-YP015387MO CSB-EP015387MO CSB-BP015387MO CSB-MP015387MO CSB-EP015387MO-B |
Recombinant Mouse Myelin transcription factor 1 (Myt1), partial | Yeast E.coli Baculovirus Mammalian cell In Vivo Biotinylation in E.coli |
MYT1 Proteins for Drosophila melanogaster (Fruit fly)
| 產品貨號 | 產品名稱 | 來源 |
|---|---|---|
| CSB-YP889054DLU CSB-EP889054DLU CSB-BP889054DLU CSB-MP889054DLU CSB-EP889054DLU-B |
Recombinant Drosophila melanogaster Membrane-associated tyrosine- and threonine-specific cdc2-inhibitory kinase (Myt1), partial | Yeast E.coli Baculovirus Mammalian cell In Vivo Biotinylation in E.coli |






