MX1
MX1,全稱為Interferon-induced GTP-binding protein Mx1,是一種在細胞抗病毒應答中發揮重要作用的蛋白。它也被稱為IFI-78K、interferon-inducible protein p78和MxA等。MX1蛋白主要由I型 и II型干擾素誘導產生,能夠抑制多種RNA和DNA病毒的復制過程。例如,它可以通過與病毒核衣殼結合并使其失活來抑制流感病毒和乙型肝炎病毒的復制。此外,MX1蛋白還能拮抗輪狀病毒和星狀病毒的復制。在流感病毒感染中,MX1蛋白能夠減少或延遲核衣殼蛋白(NP)的合成,并阻斷病毒粒子的內吞途徑,從而抑制病毒的復制。MX1蛋白的相關疾病主要包括流感病毒感染和狂犬病等。目前,針對MX1蛋白的藥物研發主要集中在抗病毒藥物和免疫調節劑等方面。例如,一些研究正在探索MX1蛋白作為抗病毒藥物靶點的潛力,以及開發能夠增強MX1蛋白抗病毒活性的藥物。此外,還有一些研究正在探索MX1蛋白在自身免疫性疾病中的作用,以及開發針對這些疾病的MX1蛋白靶向藥物。
熱銷產品
MX1 Antibody (CSB-PA015249LA01HU)
驗證數據
Western Blot
Positive WB detected in: A549 whole cell lysate, NIH/3T3 whole cell lysate, Hela whole cell lysate
All lanes: MX1 antibody at 3μg/ml
Secondary
Goat polyclonal to rabbit IgG at 1/50000 dilution
Predicted band size: 76, 56 kDa
Observed band size: 76 kDa
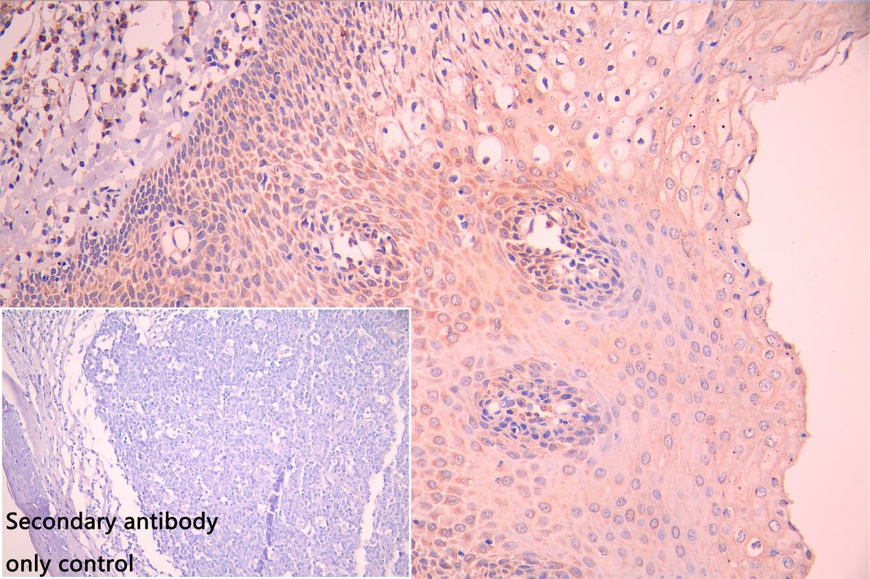
IHC image of CSB-PA015249LA01HU diluted at 1:100 and staining in paraffin-embedded human tonsil tissue performed on a Leica BondTM system. After dewaxing and hydration, antigen retrieval was mediated by high pressure in a citrate buffer (pH 6.0). Section was blocked with 10% normal goat serum 30min at RT. Then primary antibody (1% BSA) was incubated at 4°C overnight. The primary is detected by a Goat anti-rabbit polymer IgG labeled by HRP and visualized using 0.05% DAB. Secondary antibody only control: uses 1% BSA instead of primary antibody
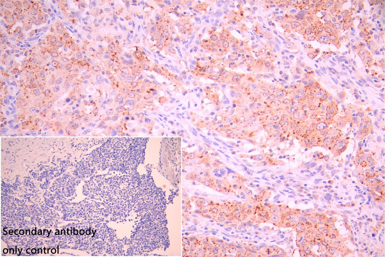
IHC image of CSB-PA015249LA01HU diluted at 1:100 and staining in paraffin-embedded human lung cancer performed on a Leica BondTM system. After dewaxing and hydration, antigen retrieval was mediated by high pressure in a citrate buffer (pH 6.0). Section was blocked with 10% normal goat serum 30min at RT. Then primary antibody (1% BSA) was incubated at 4°C overnight. The primary is detected by a Goat anti-rabbit polymer IgG labeled by HRP and visualized using 0.05% DAB. Secondary antibody only control: uses 1% BSA instead of primary antibody
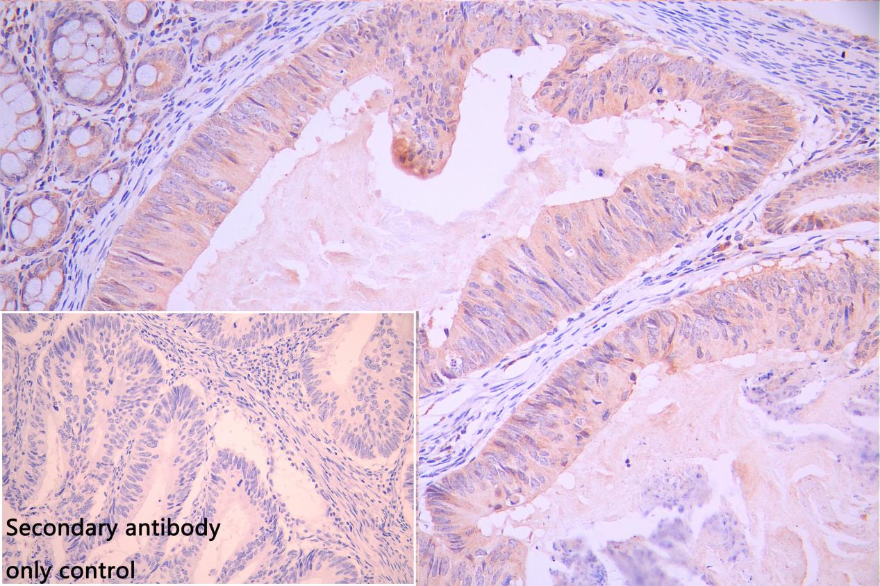
IHC image of CSB-PA015249LA01HU diluted at 1:100 and staining in paraffin-embedded human colorectal cancer performed on a Leica BondTM system. After dewaxing and hydration, antigen retrieval was mediated by high pressure in a citrate buffer (pH 6.0). Section was blocked with 10% normal goat serum 30min at RT. Then primary antibody (1% BSA) was incubated at 4°C overnight. The primary is detected by a Goat anti-rabbit polymer IgG labeled by HRP and visualized using 0.05% DAB. Secondary antibody only control: uses 1% BSA instead of primary antibody
Immunofluorescence staining of PC-3 cell with CSB-PA015249LA01HU at 1:30, counter-stained with DAPI. The cells were fixed in 4% formaldehyde and and permeated by 0.2% TritonX-100 for 15 min. Then 10% normal goat serum to block non-specific protein-protein interactions . The cells were then incubated with the antibody overnight at 4℃. The secondary antibody was Alexa Fluor 488-congugated AffiniPure Goat Anti-Rabbit IgG(H+L).
Immunofluorescence staining of PC-3 cell with 5% goat serum, counter-stained with DAPI. The cells were fixed in 4% formaldehyde and blocked in 10% normal Goat Serum. The cells were then incubated with the antibody overnight at 4C. The secondary antibody was Alexa Fluor 488-congugated AffiniPure Goat Anti-Rabbit IgG(H+L).
Immunofluorescence staining of A431 cell with CSB-PA015249LA01HU at 1:30, counter-stained with DAPI. The cells were fixed in 4% formaldehyde and and permeated by 0.2% TritonX-100 for 15 min. Then 10% normal goat serum to block non-specific protein-protein interactions . The cells were then incubated with the antibody overnight at 4℃. The secondary antibody was Alexa Fluor 488-congugated AffiniPure Goat Anti-Rabbit IgG(H+L).
Immunofluorescence staining of A431 cell with 5% goat serum, counter-stained with DAPI. The cells were fixed in 4% formaldehyde and blocked in 10% normal Goat Serum. The cells were then incubated with the antibody overnight at 4C. The secondary antibody was Alexa Fluor 488-congugated AffiniPure Goat Anti-Rabbit IgG(H+L).
Human Interferon-induced GTP-binding protein Mx1(MX1) ELISA kit (CSB-EL015249HU)
驗證數據
貨號:CSB-EL015249HU
規格:96T/48T
靈敏度:3.9 pg/mL
檢測范圍:15.6 pg/mL-1000 pg/mL
These standard curves are provided for demonstration only. A standard curve should be generated for each set of samples assayed.
MX1 Antibodies
MX1 for Homo sapiens (Human)
| 產品貨號 | 產品名稱 | 種屬反應性 | 應用類型 |
|---|---|---|---|
| CSB-PA015249GA01HU | MX1 Antibody | Human,Mouse | ELISA,WB,IHC |
| CSB-PA616832 | MX1 Antibody | Human | ELISA,WB |
| CSB-PA015249LA01HU | MX1 Antibody | Human, Mouse | ELISA, WB, IHC, IF |
| CSB-PA015249LB01HU | MX1 Antibody, HRP conjugated | Human | ELISA |
| CSB-PA015249LC01HU | MX1 Antibody, FITC conjugated | Human | |
| CSB-PA015249LD01HU | MX1 Antibody, Biotin conjugated | Human | ELISA |
MX1 Proteins
MX1 Proteins for Homo sapiens (Human)
| 產品貨號 | 產品名稱 | 來源 |
|---|---|---|
| CSB-YP015249HU CSB-EP015249HU CSB-BP015249HU CSB-MP015249HU CSB-EP015249HU-B |
Recombinant Human Interferon-induced GTP-binding protein Mx1 (MX1) | Yeast E.coli Baculovirus Mammalian cell In Vivo Biotinylation in E.coli |
MX1 ELISA Kit
MX1 ELISA Kit for Homo sapiens (Human)
| 產品貨號 | 產品名稱 | 樣本類型 | 靈敏度 |
|---|---|---|---|
| CSB-EL015249HU | Human Interferon-induced GTP-binding protein Mx1(MX1) ELISA kit | serum, plasma, urine, tissue homogenates, cell lysates | 3.9 pg/mL |






