MUC5AC
MUC5AC,全名為黏蛋白5AC,是一種分泌型糖蛋白,常見別名包括MUC5B和MUC5。MUC5AC主要在呼吸道黏膜的上皮細胞中表達,參與形成黏液層,起到保護呼吸道免受病原體和有害物質侵害的作用。在慢性阻塞性肺病(COPD)和哮喘等肺部疾病中,MUC5AC的表達異常增高,導致黏液分泌過多,從而加重病情。研究表明,MUC5AC與多種疾病的發生發展密切相關,包括胃癌、結直腸癌、肺癌和膽囊病變等。針對MUC5AC的藥物研發已取得一定進展,例如Arrowhead Pharmaceuticals開發的ARO-MUC5AC和ARO-RAGE等RNA干擾療法,旨在減少MUC5AC和晚期糖基化終產物受體(RAGE)的產生,從而改善疾病癥狀。此外,MUC5AC也被視為一種潛在的疾病診斷和預后指標。
熱銷產品
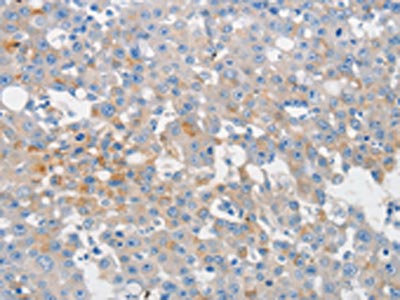
MUC5AC Antibody (CSB-PA154128)
驗證數據
The image on the left is immunohistochemistry of paraffin-embedded Human breast cancer tissue using CSB-PA154128(MUC5AC Antibody) at dilution 1/80, on the right is treated with synthetic peptide. (Original magnification: ×200)
Human mucin-5AC (MUC5AC) ELISA kit (CSB-E10109h)
驗證數據
貨號:CSB-E10109h
規格:96T/48T
靈敏度:3.9 ng/mL
檢測范圍:15.6 ng/mL-1000 ng/mL
These standard curves are provided for demonstration only. A standard curve should be generated for each set of samples assayed.
MUC5AC Antibodies
MUC5AC for Homo sapiens (Human)
| 產品貨號 | 產品名稱 | 種屬反應性 | 應用類型 |
|---|---|---|---|
| CSB-PA154128 | MUC5AC Antibody | Human | ELISA,IHC |
| CSB-PA974925 | MUC5AC Antibody | Human | ELISA,IHC |
MUC5AC ELISA Kit
MUC5AC ELISA Kit for Homo sapiens (Human)
| 產品貨號 | 產品名稱 | 樣本類型 | 靈敏度 |
|---|---|---|---|
| CSB-E10109h | Human mucin-5AC (MUC5AC) ELISA kit | serum, plasma, cell culture supernates, urine | 3.9 ng/mL |






