MUC1
MUC1,即黏蛋白1,別名MAM6、EMA等。它是一種高度糖基化的I型跨膜蛋白,由MUC1基因編碼,該基因位于染色體1q22上,通過選擇性剪接可產生多種亞型。MUC1蛋白主要包括細胞外區域、跨膜區和細胞質區,其中細胞外區域包含大量可發生O-糖基化的絲氨酸和蘇氨酸殘基,這些糖基化對于MUC1的生物學功能至關重要 。MUC1在生物學上的意義非常廣泛,它在正常上皮細胞中作為保護性屏障,防止外界環境及微生物的侵害。然而,在腫瘤細胞中,MUC1的表達量通常會增高,并且其結構和糖基化水平也會發生改變。這些改變可能導致新的抗原表位的暴露,為腫瘤的診斷和治療提供了潛在的靶點。MUC1還參與了多種信號通路的調控,包括MAPK、PI3K/Akt和Wnt路徑,這些信號通路在腫瘤細胞代謝、細胞凋亡、上皮間質轉化和遠處轉移中發揮重要作用 。MUC1的異常表達與腫瘤的侵襲性和轉移能力密切相關,使其成為腫瘤治療和診斷中的一個重要靶點。
熱銷產品
Recombinant Human Mucin-1 (MUC1) (CSB-EP015215HU)
驗證數據
(Tris-Glycine gel) Discontinuous SDS-PAGE (reduced) with 5% enrichment gel and 15% separation gel.
MUC1 Antibody (CSB-PA11319A0Rb)
驗證數據
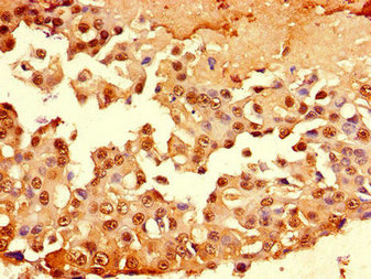
Immunohistochemistry of paraffin-embedded human breast cancer using CSB-PA11319A0Rb at dilution of 1:100
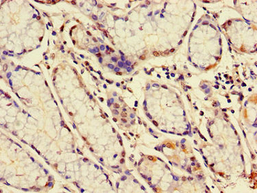
Immunohistochemistry of paraffin-embedded human gastric cancer using CSB-PA11319A0Rb at dilution of 1:100
Immunofluorescent analysis of MCF-7 cells using CSB-PA11319A0Rb at dilution of 1:100 and Alexa Fluor 488-congugated AffiniPure Goat Anti-Rabbit IgG(H+L)
MUC1 Antibodies
MUC1 for Homo sapiens (Human)
| 產品貨號 | 產品名稱 | 種屬反應性 | 應用類型 |
|---|---|---|---|
| CSB-PA11319A0Rb | MUC1 Antibody | Human | ELISA, IHC, IF |
| CSB-PA11319C0Rb | MUC1 Antibody, FITC conjugated | Human | |
| CSB-PA015215GA01HU | MUC1 Antibody | Human | ELISA,WB,IHC |
| CSB-PA11319B0Rb | MUC1 Antibody, HRP conjugated | Human | ELISA |
| CSB-PA11319D0Rb | MUC1 Antibody, Biotin conjugated | Human | ELISA |
| CSB-PA150023 | Phospho-MUC1 (Tyr1229) Antibody | Human | ELISA,WB,IHC,IF |
| CSB-PA003334 | MUC1 Antibody | Human | WB, IHC, IF, ELISA |
| CSB-PA006277 | MUC1 Antibody | Human,Mouse,Rat | WB, ELISA |
| CSB-PA010263 | Phospho-MUC1 (Y1229) Antibody | Human | WB, IHC, IF, ELISA |
| CSB-PA010272 | Phospho-MUC1 (Y1243) Antibody | Human,Mouse | IHC, ELISA |
| CSB-PA010274 | Phospho-MUC1 (S1227) Antibody | Human | IHC, ELISA |
| CSB-PA010276 | MUC1 Antibody | Human | IHC, ELISA |
| CSB-PA010277 | MUC1 Antibody | Human | IHC, IF, ELISA |
| CSB-PA010279 | MUC1 Antibody | Human,Mouse | IHC, IF, ELISA |
| CSB-PA141385 | MUC1 Antibody | Human | ELISA,IHC |
| CSB-PA114224 | MUC1 Antibody | Human | ELISA,WB,IHC |
| CSB-PA692815 | MUC1 Antibody | Human,Mouse | ELISA,WB,IHC |
| CSB-PA583379 | MUC1 Antibody | Human,Mouse | ELISA,IHC |
MUC1 Proteins
MUC1 Proteins for Mus musculus (Mouse)
| 產品貨號 | 產品名稱 | 來源 |
|---|---|---|
| CSB-BP312543MO CSB-MP312543MO CSB-EP312543MO-B |
Recombinant Mouse Mucin-1 (Muc1), partial | Baculovirus Mammalian cell In Vivo Biotinylation in E.coli |
MUC1 Proteins for Hylobates lar (Common gibbon)
| 產品貨號 | 產品名稱 | 來源 |
|---|---|---|
| CSB-YP645848HXW CSB-EP645848HXW CSB-BP645848HXW CSB-MP645848HXW CSB-EP645848HXW-B |
Recombinant Hylobates lar Mucin-1 (MUC1), partial | Yeast E.coli Baculovirus Mammalian cell In Vivo Biotinylation in E.coli |
MUC1 Proteins for Mesocricetus auratus (Golden hamster)
| 產品貨號 | 產品名稱 | 來源 |
|---|---|---|
| CSB-YP726652MRG CSB-EP726652MRG CSB-BP726652MRG CSB-MP726652MRG CSB-EP726652MRG-B |
Recombinant Mesocricetus auratus Mucin-1 (MUC1), partial | Yeast E.coli Baculovirus Mammalian cell In Vivo Biotinylation in E.coli |
MUC1 Proteins for Bos taurus (Bovine)
| 產品貨號 | 產品名稱 | 來源 |
|---|---|---|
| CSB-YP848794BO CSB-EP848794BO CSB-BP848794BO CSB-MP848794BO CSB-EP848794BO-B |
Recombinant Bovine Mucin-1 (MUC1), partial | Yeast E.coli Baculovirus Mammalian cell In Vivo Biotinylation in E.coli |
MUC1 Proteins for Homo sapiens (Human)
| 產品貨號 | 產品名稱 | 來源 |
|---|---|---|
| CSB-MP015215HU3-B | Recombinant Human Mucin-1(MUC1),partial,Biotinylated | Mammalian cell |
| CSB-MP015215HU2 | Recombinant Human Mucin-1 (MUC1), partial | Mammalian cell |
MUC1 ELISA Kit
MUC1 ELISA Kit for Homo sapiens (Human)
| 產品貨號 | 產品名稱 | 樣本類型 | 靈敏度 |
|---|---|---|---|
| CSB-E04772h | Human mammary carcinoma marker CA15-3 (CA15-3) ELISA kit | serum | 3.8 U/mL |






