MTM1
MTM1全稱為肌管素1(Myotubularin 1),也被稱為MTM1或肌管素相關磷酸酶。MTM1屬于磷酸酶家族,在細胞內通過調節磷脂代謝參與膜結構重塑和囊泡運輸。研究發現,MTM1通過水解磷脂酰肌醇3-磷酸(PI3P)和磷脂酰肌醇5-磷酸(PI5P)維持肌細胞分化與收縮功能,其異常會導致骨骼肌發育障礙。MTM1基因突變與X連鎖隱性遺傳的肌管肌病密切相關,患者表現為新生兒期重度肌無力、呼吸衰竭,約半數患兒在一歲內夭折。近年來針對該疾病的治療探索集中在基因替代療法,例如腺相關病毒載體攜帶MTM1基因的臨床試驗已進入早期階段,動物模型中觀察到肌力恢復效果。針對下游信號分子如動力蛋白(DNM2)的小分子抑制劑也處于臨床前研究,通過調節膜修復機制緩解病理表型。
熱銷產品
Recombinant Human Myotubularin (MTM1) (CSB-YP614418HU)
驗證數據
(Tris-Glycine gel) Discontinuous SDS-PAGE (reduced) with 5% enrichment gel and 15% separation gel.
MTM1 Antibody (CSB-PA614418ESR1HU)
驗證數據
Western blot
All lanes: Myotubularin antibody at 2μg/ml
Lane 1: Jurkat whole cell lysate
Lane 2: HepG2 whole cell lysate
Secondary
Goat polyclonal to rabbit IgG at 1/10000 dilution
Predicted band size: 70, 67 kDa
Observed band size: 70 kDa
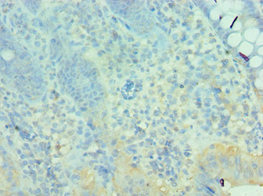
Immunohistochemistry of paraffin-embedded human pancreatic tissue using CSB-PA614418ESR1HU at dilution of 1:100
Immunohistochemistry of paraffin-embedded human epityphlon tissue using CSB-PA614418ESR1HU at dilution of 1:100
MTM1 Antibodies
MTM1 for Homo sapiens (Human)
| 產品貨號 | 產品名稱 | 種屬反應性 | 應用類型 |
|---|---|---|---|
| CSB-PA015173GA01HU | MTM1 Antibody | Human,Mouse,Rat | ELISA,WB,IHC |
| CSB-PA614418ESR1HU | MTM1 Antibody | Human | ELISA, WB, IHC |
| CSB-PA614418ESR2HU | MTM1 Antibody | Human | ELISA, IHC |
| CSB-PA003350 | MTM1 Antibody | Human,Mouse | WB, ELISA |
MTM1 Proteins
MTM1 Proteins for Bos taurus (Bovine)
| 產品貨號 | 產品名稱 | 來源 |
|---|---|---|
| CSB-YP015173BO CSB-EP015173BO CSB-BP015173BO CSB-MP015173BO CSB-EP015173BO-B |
Recombinant Bovine Myotubularin (MTM1), partial | Yeast E.coli Baculovirus Mammalian cell In Vivo Biotinylation in E.coli |
MTM1 Proteins for Saccharomyces cerevisiae (strain ATCC 204508 / S288c) (Baker's yeast)
| 產品貨號 | 產品名稱 | 來源 |
|---|---|---|
| CSB-YP344878SVG1 CSB-EP344878SVG1 CSB-BP344878SVG1 CSB-MP344878SVG1 CSB-EP344878SVG1-B |
Recombinant Saccharomyces cerevisiae Mitochondrial carrier protein MTM1 (MTM1), partial | Yeast E.coli Baculovirus Mammalian cell In Vivo Biotinylation in E.coli |
| CSB-CF344878SVG | Recombinant Saccharomyces cerevisiae Mitochondrial carrier protein MTM1 (MTM1) | in vitro E.coli expression system |
MTM1 Proteins for Homo sapiens (Human)
| 產品貨號 | 產品名稱 | 來源 |
|---|---|---|
| CSB-EP614418HU CSB-BP614418HU CSB-MP614418HU CSB-EP614418HU-B |
Recombinant Human Myotubularin (MTM1) | E.coli Baculovirus Mammalian cell In Vivo Biotinylation in E.coli |
| CSB-YP614418HU | Recombinant Human Myotubularin (MTM1) | Yeast |
MTM1 Proteins for Xenopus laevis (African clawed frog)
| 產品貨號 | 產品名稱 | 來源 |
|---|---|---|
| CSB-YP687454XBE CSB-EP687454XBE CSB-BP687454XBE CSB-MP687454XBE CSB-EP687454XBE-B |
Recombinant Xenopus laevis Myotubularin (mtm1), partial | Yeast E.coli Baculovirus Mammalian cell In Vivo Biotinylation in E.coli |
MTM1 Proteins for Xenopus tropicalis (Western clawed frog) (Silurana tropicalis)
| 產品貨號 | 產品名稱 | 來源 |
|---|---|---|
| CSB-YP707834XBF CSB-EP707834XBF CSB-BP707834XBF CSB-MP707834XBF CSB-EP707834XBF-B |
Recombinant Xenopus tropicalis Myotubularin (mtm1), partial | Yeast E.coli Baculovirus Mammalian cell In Vivo Biotinylation in E.coli |
MTM1 Proteins for Pongo abelii (Sumatran orangutan)
| 產品貨號 | 產品名稱 | 來源 |
|---|---|---|
| CSB-YP712915PYX CSB-EP712915PYX CSB-BP712915PYX CSB-MP712915PYX CSB-EP712915PYX-B |
Recombinant Pongo abelii Myotubularin (MTM1), partial | Yeast E.coli Baculovirus Mammalian cell In Vivo Biotinylation in E.coli |
MTM1 Proteins for Rattus norvegicus (Rat)
| 產品貨號 | 產品名稱 | 來源 |
|---|---|---|
| CSB-YP734886RA CSB-EP734886RA CSB-BP734886RA CSB-MP734886RA CSB-EP734886RA-B |
Recombinant Rat Myotubularin (Mtm1) | Yeast E.coli Baculovirus Mammalian cell In Vivo Biotinylation in E.coli |






