MORF4L1
MORF4L1,全稱為Mortality factor 4 like 1蛋白,常用別名為MRG15。它在細胞內扮演多重角色,既能調控細胞正常生長節奏,與細胞衰老進程密切相關,還能通過影響染色質結構與功能,維持基因表達的穩定狀態,幫助細胞應對環境變化帶來的基因表達波動。
在疾病領域,部分惡性腫瘤中MORF4L1表達常出現異常,比如肺癌、乳腺癌細胞里它的含量變化,可能關聯腫瘤細胞的增殖速度與轉移能力。目前針對這一蛋白的藥物研發仍處于早期階段,科研人員正探索其作為潛在治療靶點的價值,嘗試設計能調節其活性的小分子化合物,但尚未有相關藥物進入臨床應用階段。整體來看,它是細胞功能調控中的關鍵分子之一,對理解疾病發生機制和開發新療法具有重要意義。
熱銷產品
MORF4L1 Antibody (CSB-PA883368ESR1HU)
驗證數據
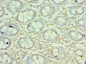
Immunohistochemistry of paraffin-embedded human colon tissue using CSB-PA883368ESR1HU at dilution of 1:100
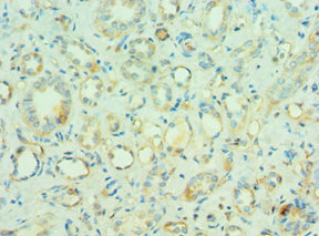
Immunohistochemistry of paraffin-embedded human kidney tissue using CSB-PA883368ESR1HU at dilution of 1:100
MORF4L1 Antibodies
MORF4L1 for Homo sapiens (Human)
| 產品貨號 | 產品名稱 | 種屬反應性 | 應用類型 |
|---|---|---|---|
| CSB-PA014722GA01HU | MORF4L1 Antibody | Human,Mouse,Rat | ELISA,WB |
| CSB-PA883368ESR1HU | MORF4L1 Antibody | Human | ELISA, IHC |
| CSB-PA883368ESR2HU | MORF4L1 Antibody | Human | ELISA, WB, IHC |
| CSB-PA006746 | MORF4L1 Antibody | Human,Mouse | WB, IHC, IF, ELISA |
| CSB-PA146109 | MORF4L1 Antibody | Human,Mouse,Rat | ELISA,WB,IHC |
| CSB-PA147463 | MORF4L1 Antibody | Human,Mouse,Rat | ELISA,IHC |
MORF4L1 Proteins
MORF4L1 Proteins for Homo sapiens (Human)
| 產品貨號 | 產品名稱 | 來源 |
|---|---|---|
| CSB-YP883368HU CSB-EP883368HU CSB-BP883368HU CSB-MP883368HU CSB-EP883368HU-B |
Recombinant Human Mortality factor 4-like protein 1 (MORF4L1) | Yeast E.coli Baculovirus Mammalian cell In Vivo Biotinylation in E.coli |






