MOG
MOG,即髓鞘少突膠質細胞糖蛋白,別名BTN6、BTNL11、MGC26137、MOG AluA、MOG AluB等。是一種主要在中樞神經系統少突膠質細胞膜表面及髓鞘最外層表達的蛋白質,屬于免疫球蛋白超家族成員之一。MOG抗體相關疾病(MOG-IgG associated disorders, MOGAD)是近年來新認識的免疫介導的中樞神經系統炎性脫髓鞘疾病,與多發性硬化(MS)和視神經脊髓炎譜系疾病(NMOSD)不同,它是一種獨立的疾病實體。MOGAD的發病機制可能涉及MOG特異性T濾泡輔助細胞促進B細胞分化,產生大量MOG-IgG,這些抗體進入中樞神經系統后與MOG結合,通過補體和抗體途徑介導細胞殺傷作用,導致少突膠質細胞損傷和脫髓鞘。MOGAD的臨床表現多樣,包括視神經炎、腦膜腦炎、腦干腦炎、脊髓炎等,兒童中較成人更常見,且預后相對較好。
熱銷產品
Recombinant Human Myelin-oligodendrocyte glycoprotein (MOG), partial (CSB-MP619083HU)
驗證數據
(Tris-Glycine gel) Discontinuous SDS-PAGE (reduced) with 5% enrichment gel and 15% separation gel.
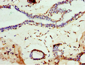
MOG Antibody (CSB-PA619083ESR2HU)
驗證數據
Immunohistochemistry of paraffin-embedded human breast cancer using CSB-PA619083ESR2HU at dilution of 1:100
Immunohistochemistry of paraffin-embedded human liver cancer using CSB-PA619083ESR2HU at dilution of 1:100
Human Myelin-oligodendrocyte glycoprotein(MOG) ELISA kit (CSB-EL014709HU)
驗證數據
貨號:CSB-EL014709HU
規格:96T/48T
靈敏度:3.9 pg/mL
檢測范圍:15.6 pg/mL-1000 pg/mL
These standard curves are provided for demonstration only. A standard curve should be generated for each set of samples assayed.
MOG Antibodies
MOG for Homo sapiens (Human)
| 產品貨號 | 產品名稱 | 種屬反應性 | 應用類型 |
|---|---|---|---|
| CSB-PA014709GA01HU | MOG Antibody | Human,Mouse,Rat | ELISA,WB |
| CSB-PA619083ESR2HU | MOG Antibody | Human | ELISA, IHC |
MOG Proteins
MOG Proteins for Homo sapiens (Human)
| 產品貨號 | 產品名稱 | 來源 |
|---|---|---|
| CSB-YP619083HU CSB-BP619083HU CSB-EP619083HU-B |
Recombinant Human Myelin-oligodendrocyte glycoprotein (MOG), partial | Yeast Baculovirus In Vivo Biotinylation in E.coli |
| CSB-EP619083HU | Recombinant Human Myelin-oligodendrocyte glycoprotein (MOG), partial | E.coli |
| CSB-MP619083HU(A4) | Recombinant Human Myelin-oligodendrocyte glycoprotein (MOG)-VLPs, Fluorescent | Mammalian cell |
| CSB-MP619083HU | Recombinant Human Myelin-oligodendrocyte glycoprotein (MOG), partial | Mammalian cell |
MOG ELISA Kit
MOG ELISA Kit for Homo sapiens (Human)
| 產品貨號 | 產品名稱 | 樣本類型 | 靈敏度 |
|---|---|---|---|
| CSB-EL014709HU | Human Myelin-oligodendrocyte glycoprotein(MOG) ELISA kit | serum, plasma, tissue homogenates | 3.9 pg/mL |






