MMP13
MMP13,全稱為基質金屬蛋白酶13,常用別名是膠原酶3。它的核心功能是分解體內的膠原蛋白——這種蛋白是軟骨、骨骼等組織的關鍵結構成分。正常情況下,它參與傷口愈合、骨骼發育等生理過程,維持組織的動態平衡;但活性異常升高時,會打破這種平衡帶來健康問題。
比如骨關節炎患者的關節軟骨中,MMP13會過度分解膠原蛋白,導致軟骨變薄磨損,引發關節疼痛僵硬;部分癌癥里,它也能幫助腫瘤細胞突破周圍組織束縛,促進轉移擴散。針對它的藥物研發主要是抑制活性:早期抑制劑因特異性不足,易影響其他正常酶功能,副作用明顯;現在更傾向于開發精準靶向的制劑,希望控制其活性治療骨關節炎或相關癌癥。
熱銷產品
Recombinant Human Collagenase 3 (MMP13), partial (CSB-EP014660HU3)
驗證數據
(Tris-Glycine gel) Discontinuous SDS-PAGE (reduced) with 5% enrichment gel and 15% separation gel.
MMP13 Antibody (CSB-PA07029A0Rb)
驗證數據
Western Blot
Positive WB detected in: PC-3 whole cell lysate, Mouse kidney tissue, Mouse lung tissue
All lanes: MMP13 antibody at 2µg/ml
Secondary
Goat polyclonal to rabbit IgG at 1/50000 dilution
Predicted band size: 54 kDa
Observed band size: 54 kDa
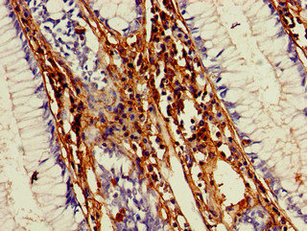
Immunohistochemistry of paraffin-embedded human colon cancer using CSB-PA07029A0Rb at dilution of 1:100
Immunofluorescent analysis of PC-3 cells using CSB-PA07029A0Rb at dilution of 1:100 and Alexa Fluor 488-congugated AffiniPure Goat Anti-Rabbit IgG(H+L)
Human Matrix metalloproteinase 13,MMP-13 ELISA kit (CSB-E04674h)
驗證數據
貨號:CSB-E04674h
規格:96T/48T
靈敏度:0.039 ng/mL
檢測范圍:0.156 ng/mL-10 ng/mL
These standard curves are provided for demonstration only. A standard curve should be generated for each set of samples assayed.
MMP13 Antibodies
MMP13 for Mus musculus (Mouse)
| 產品貨號 | 產品名稱 | 種屬反應性 | 應用類型 |
|---|---|---|---|
| CSB-PA17739C0Rb | Mmp13 Antibody, FITC conjugated | Mouse | |
| CSB-PA17739A0Rb | Mmp13 Antibody | Mouse | ELISA, IHC |
| CSB-PA17739D0Rb | Mmp13 Antibody, Biotin conjugated | Mouse | ELISA |
| CSB-PA17739B0Rb | Mmp13 Antibody, HRP conjugated | Mouse | ELISA |
MMP13 for Homo sapiens (Human)
| 產品貨號 | 產品名稱 | 種屬反應性 | 應用類型 |
|---|---|---|---|
| CSB-PA07029A0Rb | MMP13 Antibody | Human, Mouse | ELISA, WB, IHC, IF |
| CSB-PA07029B0Rb | MMP13 Antibody, HRP conjugated | Human | ELISA |
| CSB-PA07029C0Rb | MMP13 Antibody, FITC conjugated | Human | |
| CSB-PA07029D0Rb | MMP13 Antibody, Biotin conjugated | Human | ELISA |
| CSB-PA014660GA01HU | MMP13 Antibody | Human,Mouse,Rat | ELISA,WB,IHC |
| CSB-PA981877 | MMP13 Antibody | Human,Mouse,Rat | ELISA,WB |
| CSB-PA003255 | MMP13 Antibody | Human | WB, IHC, IF, ELISA |
| CSB-PA797584 | MMP13 Antibody | Human,Mouse,Rat | ELISA,WB,IHC |
MMP13 Proteins
MMP13 Proteins for Mus musculus (Mouse)
| 產品貨號 | 產品名稱 | 來源 |
|---|---|---|
| CSB-YP014660MO CSB-BP014660MO CSB-MP014660MO CSB-EP014660MO-B |
Recombinant Mouse Collagenase 3 (Mmp13) | Yeast Baculovirus Mammalian cell In Vivo Biotinylation in E.coli |
| CSB-EP014660MO | Recombinant Mouse Collagenase 3 (Mmp13) | E.coli |
MMP13 Proteins for Homo sapiens (Human)
| 產品貨號 | 產品名稱 | 來源 |
|---|---|---|
| CSB-YP014660HU CSB-BP014660HU CSB-MP014660HU CSB-EP014660HU-B |
Recombinant Human Collagenase 3 (MMP13) | Yeast Baculovirus Mammalian cell In Vivo Biotinylation in E.coli |
| CSB-EP014660HU | Recombinant Human Collagenase 3 (MMP13) | E.coli |
| CSB-EP014660HU3 | Recombinant Human Collagenase 3 (MMP13), partial | E.coli |
MMP13 Proteins for Equus caballus (Horse)
| 產品貨號 | 產品名稱 | 來源 |
|---|---|---|
| CSB-YP014660HO CSB-EP014660HO CSB-BP014660HO CSB-MP014660HO CSB-EP014660HO-B |
Recombinant Horse Collagenase 3 (MMP13) | Yeast E.coli Baculovirus Mammalian cell In Vivo Biotinylation in E.coli |
MMP13 Proteins for Oryctolagus cuniculus (Rabbit)
| 產品貨號 | 產品名稱 | 來源 |
|---|---|---|
| CSB-YP014660RB CSB-EP014660RB CSB-BP014660RB CSB-MP014660RB CSB-EP014660RB-B |
Recombinant Rabbit Collagenase 3 (MMP13) | Yeast E.coli Baculovirus Mammalian cell In Vivo Biotinylation in E.coli |
MMP13 Proteins for Bos taurus (Bovine)
| 產品貨號 | 產品名稱 | 來源 |
|---|---|---|
| CSB-YP014660BO CSB-EP014660BO CSB-BP014660BO CSB-MP014660BO CSB-EP014660BO-B |
Recombinant Bovine Collagenase 3 (MMP13) | Yeast E.coli Baculovirus Mammalian cell In Vivo Biotinylation in E.coli |
MMP13 Proteins for Rattus norvegicus (Rat)
| 產品貨號 | 產品名稱 | 來源 |
|---|---|---|
| CSB-YP014660RA CSB-BP014660RA CSB-MP014660RA CSB-EP014660RA-B |
Recombinant Rat Collagenase 3 (Mmp13) | Yeast Baculovirus Mammalian cell In Vivo Biotinylation in E.coli |
MMP13 Proteins for Xenopus laevis (African clawed frog)
| 產品貨號 | 產品名稱 | 來源 |
|---|---|---|
| CSB-YP607442XBE CSB-EP607442XBE CSB-BP607442XBE CSB-MP607442XBE CSB-EP607442XBE-B |
Recombinant Xenopus laevis Collagenase 3 (mmp13) | Yeast E.coli Baculovirus Mammalian cell In Vivo Biotinylation in E.coli |
MMP13 ELISA Kit
MMP13 ELISA Kit for Mus musculus (Mouse)
| 產品貨號 | 產品名稱 | 樣本類型 | 靈敏度 |
|---|---|---|---|
| CSB-E07413m | Mouse matrix metalloproteinase 13,MMP-13 ELISA kit | serum, plasma, tissue homogenates | 23.438 pg/mL |
MMP13 ELISA Kit for Oryctolagus cuniculus (Rabbit)
| 產品貨號 | 產品名稱 | 樣本類型 | 靈敏度 |
|---|---|---|---|
| CSB-E14220Rb | Rabbit Matrix Metalloproteinase 13,MMP-13 ELISA Kit | serum, plasma, tissue homogenates | 23.44 pg/mL |
MMP13 ELISA Kit for Rattus norvegicus (Rat)
| 產品貨號 | 產品名稱 | 樣本類型 | 靈敏度 |
|---|---|---|---|
| CSB-E07412r | Rat matrix metalloproteinase 13,MMP-13 ELISA kit | serum, plasma, tissue homogenates | 23.44 pg/mL |
MMP13 ELISA Kit for Homo sapiens (Human)
| 產品貨號 | 產品名稱 | 樣本類型 | 靈敏度 |
|---|---|---|---|
| CSB-E04674h | Human Matrix metalloproteinase 13,MMP-13 ELISA kit | serum, cell culture supernates, urine, tissue homogenates | 0.039 ng/mL |






