MMP12
MMP12,即基質金屬肽酶12,別名Macrophageelastase。它是一種主要由成熟組織巨噬細胞表達的酶,屬于基質金屬蛋白酶家族成員之一。MMP12的作用機制涉及降解多種細胞外基質成分,如Ⅳ型膠原、硫酸軟骨素、層粘連蛋白及纖溶酶原等。MMP12參與腫瘤細胞的侵襲和轉移,促進多種腫瘤如鼻咽癌、結直腸癌等的侵襲和轉移,同時也參與許多肺部疾病的病理過程,如慢性阻塞性肺疾病、過敏性哮喘、肺氣腫、肺纖維化和肺部感染等。MMP12還與動脈粥樣硬化斑塊的進展和不穩定性相關,并可能參與動脈粥樣硬化性腦梗死及冠心病的病理過程。MMP12在病理學研究和疾病治療中具有重要的生物學意義和潛在的治療應用價值。
熱銷產品
Recombinant Human Macrophage metalloelastase (MMP12) (CSB-EP014659HU)
驗證數據
(Tris-Glycine gel) Discontinuous SDS-PAGE (reduced) with 5% enrichment gel and 15% separation gel.
Based on the SEQUEST from database of E.coli host and target protein, the LC-MS/MS Analysis result of CSB-EP014659HU could indicate that this peptide derived from E.coli-expressed Homo sapiens (Human) MMP12.
Based on the SEQUEST from database of E.coli host and target protein, the LC-MS/MS Analysis result of CSB-EP014659HU could indicate that this peptide derived from E.coli-expressed Homo sapiens (Human) MMP12.
MMP12 Recombinant Monoclonal Antibody (CSB-RA595609A0HU)
驗證數據
Western Blot
Positive WB detected in: 293T whole cell lysate, MCF-7 whole cell lysate, THP-1 whole cell lysate
All lanes: MMP12 antibody at 1:1000
Secondary
Goat polyclonal to rabbit IgG at 1/50000 dilution
Predicted band size: 55 kDa
Observed band size: 54, 45 kDa
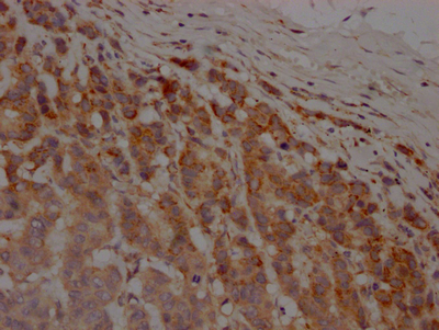
IHC image of CSB-RA595609A0HU diluted at 1:100 and staining in paraffin-embedded human breast cancer performed on a Leica BondTM system. After dewaxing and hydration, antigen retrieval was mediated by high pressure in a citrate buffer (pH 6.0). Section was blocked with 10% normal goat serum 30min at RT. Then primary antibody (1% BSA) was incubated at 4℃ overnight. The primary is detected by a Goat anti-rabbit IgG polymer labeled by HRP and visualized using 0.05% DAB.
Human Matrix Metalloproteinase 12(MMP-12) ELISA Kit (CSB-E13208h)
驗證數據
貨號:CSB-E13208h
規格:96T/48T
靈敏度:0.156 ng/mL
檢測范圍:0.625 ng/mL-40 ng/mL
These standard curves are provided for demonstration only. A standard curve should be generated for each set of samples assayed.
MMP12 Antibodies
MMP12 for Homo sapiens (Human)
| 產品貨號 | 產品名稱 | 種屬反應性 | 應用類型 |
|---|---|---|---|
| CSB-PA12379A0Rb | MMP12 Antibody | Human, Mouse | ELISA, WB, IHC |
| CSB-PA000049 | Cleaved-MMP12 (G106) Antibody | Human | WB, ELISA |
| CSB-PA004869 | MMP12 Antibody | Human,Mouse | WB, ELISA |
| CSB-PA010210 | MMP12 Antibody | Human | WB, IHC, ELISA |
| CSB-PA984456 | MMP12 Antibody | Human | ELISA,IHC |
| CSB-RA595609A0HU | MMP12 Recombinant Monoclonal Antibody | Human | ELISA, WB, IHC |
MMP12 Proteins
MMP12 Proteins for Homo sapiens (Human)
| 產品貨號 | 產品名稱 | 來源 |
|---|---|---|
| CSB-YP014659HU CSB-BP014659HU CSB-MP014659HU CSB-EP014659HU-B |
Recombinant Human Macrophage metalloelastase (MMP12) | Yeast Baculovirus Mammalian cell In Vivo Biotinylation in E.coli |
| CSB-EP014659HU | Recombinant Human Macrophage metalloelastase (MMP12) | E.coli |
MMP12 ELISA Kit
MMP12 ELISA Kit for Homo sapiens (Human)
| 產品貨號 | 產品名稱 | 樣本類型 | 靈敏度 |
|---|---|---|---|
| CSB-E13208h | Human Matrix Metalloproteinase 12(MMP-12) ELISA Kit | serum, plasma, tissue homogenates | 0.156 ng/mL |






