MLST8
MLST8,即哺乳動物雷帕霉素靶蛋白(mTOR)相關蛋白LST8,別名包括G蛋白β亞基樣、GbetaL、GBL、Lst8、Pop3。它是一種在細胞內廣泛表達的蛋白質,最高水平在骨骼肌、心臟和腎臟中。MLST8是mTORC1和mTORC2復合體的共有組成成分,對細胞生長和存活響應營養和激素信號的調節起著關鍵作用。MLST8的作用機制涉及到它在mTOR復合體中的功能。在mTORC1復合體中,MLST8與mTOR直接相互作用,增強其激酶活性,參與調節蛋白質合成、細胞生長和自噬等過程。在mTORC2復合體中,MLST8同樣發揮重要作用,mTORC2對Rapamycin不敏感,參與胰島素-PI3K信號通路的響應并調控細胞增殖。此外,MLST8還參與冠狀病毒復制的調控,通過mTORC1信號通路影響病毒復制,敲除mLST8可以抑制mTORC1信號通路,進而激活自噬,抑制冠狀病毒的復制。
熱銷產品
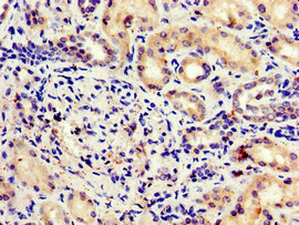
MLST8 Antibody (CSB-PA863130LA01HU)
驗證數據
Immunohistochemistry of paraffin-embedded human kidney tissue using CSB-PA863130LA01HU at dilution of 1:100
Immunofluorescent analysis of MCF-7 cells using CSB-PA863130LA01HU at dilution of 1:100 and Alexa Fluor 488-congugated AffiniPure Goat Anti-Rabbit IgG(H+L)
MLST8 Antibodies
MLST8 for Homo sapiens (Human)
| 產品貨號 | 產品名稱 | 種屬反應性 | 應用類型 |
|---|---|---|---|
| CSB-PA863130LA01HU | MLST8 Antibody | Human | ELISA, IHC, IF |
| CSB-PA863130LB01HU | MLST8 Antibody, HRP conjugated | Human | ELISA |
| CSB-PA863130LC01HU | MLST8 Antibody, FITC conjugated | Human | |
| CSB-PA863130LD01HU | MLST8 Antibody, Biotin conjugated | Human | ELISA |
MLST8 Proteins
MLST8 Proteins for Bos taurus (Bovine)
| 產品貨號 | 產品名稱 | 來源 |
|---|---|---|
| CSB-YP613776BO CSB-EP613776BO CSB-BP613776BO CSB-MP613776BO CSB-EP613776BO-B |
Recombinant Bovine Target of rapamycin complex subunit LST8 (MLST8) | Yeast E.coli Baculovirus Mammalian cell In Vivo Biotinylation in E.coli |
MLST8 Proteins for Xenopus tropicalis (Western clawed frog) (Silurana tropicalis)
| 產品貨號 | 產品名稱 | 來源 |
|---|---|---|
| CSB-YP686297XBF CSB-EP686297XBF CSB-BP686297XBF CSB-MP686297XBF CSB-EP686297XBF-B |
Recombinant Xenopus tropicalis Target of rapamycin complex subunit lst8 (mlst8) | Yeast E.coli Baculovirus Mammalian cell In Vivo Biotinylation in E.coli |
MLST8 Proteins for Xenopus laevis (African clawed frog)
| 產品貨號 | 產品名稱 | 來源 |
|---|---|---|
| CSB-YP764762XBE CSB-EP764762XBE CSB-BP764762XBE CSB-MP764762XBE CSB-EP764762XBE-B |
Recombinant Xenopus laevis Target of rapamycin complex subunit lst8 (mlst8) | Yeast E.coli Baculovirus Mammalian cell In Vivo Biotinylation in E.coli |
MLST8 Proteins for Danio rerio (Zebrafish) (Brachydanio rerio)
| 產品貨號 | 產品名稱 | 來源 |
|---|---|---|
| CSB-YP770424DIL CSB-EP770424DIL CSB-BP770424DIL CSB-MP770424DIL CSB-EP770424DIL-B |
Recombinant Danio rerio Target of rapamycin complex subunit lst8 (mlst8) | Yeast E.coli Baculovirus Mammalian cell In Vivo Biotinylation in E.coli |
MLST8 Proteins for Homo sapiens (Human)
| 產品貨號 | 產品名稱 | 來源 |
|---|---|---|
| CSB-YP863130HU CSB-EP863130HU CSB-BP863130HU CSB-MP863130HU CSB-EP863130HU-B |
Recombinant Human Target of rapamycin complex subunit LST8 (MLST8) | Yeast E.coli Baculovirus Mammalian cell In Vivo Biotinylation in E.coli |
MLST8 Proteins for Mus musculus (Mouse)
| 產品貨號 | 產品名稱 | 來源 |
|---|---|---|
| CSB-YP863590MO CSB-EP863590MO CSB-BP863590MO CSB-MP863590MO CSB-EP863590MO-B |
Recombinant Mouse Target of rapamycin complex subunit LST8 (Mlst8) | Yeast E.coli Baculovirus Mammalian cell In Vivo Biotinylation in E.coli |






