MLANA
MLANA,即Melan-A,是一種在人類中編碼黑色素瘤抗原的基因。它位于第9號染色體上,p24.1區帶,包含多個轉錄本。MLANA基因表達的蛋白主要定位于細胞膜,且在蛋白質層面有證據支持其表達。MLANA在黑色素細胞的發育和功能中起著重要作用,它參與調節黑色素的合成,黑色素是一種為皮膚、毛發和眼睛提供顏色的色素。此外,MLANA基因的表達也與某些類型的癌癥,特別是黑色素瘤有關,其表達水平的變化可能與腫瘤的發展和預后相關。因此,MLANA在皮膚色素沉著、黑色素瘤的診斷和治療中具有重要的生物學意義。
熱銷產品
● Recombinant Human Melanoma antigen recognized by T-cells 1 (MLANA)
驗證數據
(Tris-Glycine gel) Discontinuous SDS-PAGE (reduced) with 5% enrichment gel and 15% separation gel.
驗證數據
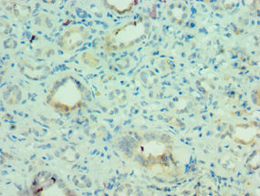
Immunohistochemistry of paraffin-embedded human kidney tissue using CSB-PA621968ESR1HU at dilution of 1:100
Immunofluorescent analysis of A549 cells using CSB-PA621968ESR1HU at dilution of 1:100 and Alexa Fluor 488-congugated AffiniPure Goat Anti-Rabbit IgG(H+L)
MLANA Antibodies
MLANA for Homo sapiens (Human)
| 產品貨號 | 產品名稱 | 種屬反應性 | 應用類型 |
|---|---|---|---|
| CSB-PA998735 | MLANA Antibody | Human | ELISA,WB,IHC |
| CSB-PA621968ESR1HU | MLANA Antibody | Human | ELISA, IHC, IF |
| CSB-PA621968ESR2HU | MLANA Antibody | Human, Mouse | ELISA, WB, IHC |
| CSB-PA621968LA01HU | MLANA Antibody | Human | ELISA, WB, IHC |
| CSB-PA621968LC01HU | MLANA Antibody, FITC conjugated | Human | |
| CSB-PA008328 | MLANA Antibody | Human | WB, IHC, ELISA |
MLANA Proteins
MLANA Proteins for Homo sapiens (Human)
| 產品貨號 | 產品名稱 | 來源 |
|---|---|---|
| CSB-YP621968HU | Recombinant Human Melanoma antigen recognized by T-cells 1 (MLANA) | Yeast |
| CSB-EP621968HU | Recombinant Human Melanoma antigen recognized by T-cells 1 (MLANA) | E.coli |
| CSB-BP621968HU CSB-MP621968HU CSB-EP621968HU-B |
Recombinant Human Melanoma antigen recognized by T-cells 1 (MLANA) | Baculovirus Mammalian cell In Vivo Biotinylation in E.coli |






