MKRN2
MKRN2,全稱為 makorin 無名指蛋白 2,是一種在人體多種組織中表達的蛋白質。它也被稱為 RING 指蛋白 62 或 HSPC070。MKRN2 蛋白參與多種生理過程,包括細胞周期調控、細胞凋亡和睪丸發育。近年來,研究發現 MKRN2 蛋白在炎癥調控中發揮著重要作用。它可以通過與促炎細胞因子白介素-6(IL-6)的信使RNA結合,抑制 IL-6 的翻譯效率,從而減輕炎癥反應。這一發現為治療自身免疫性疾病提供了新的思路。目前,一些針對 MKRN2 蛋白的藥物正在研發中,有望為炎癥性疾病患者帶來新的治療選擇。
熱銷產品
MKRN2 Antibody (CSB-PA872420LA01HU)
驗證數據
Western Blot
Positive WB detected in: Rat kidney tissue, Rat liver tissue, Mouse kidney tissue
All lanes: MKRN2 antibody at 3μg/ml
Secondary
Goat polyclonal to rabbit IgG at 1/50000 dilution
Predicted band size: 47, 42 kDa
Observed band size: 47 kDa
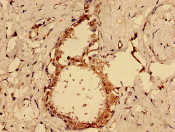
Immunohistochemistry of paraffin-embedded human testis tissue using CSB-PA872420LA01HU at dilution of 1:100
Immunohistochemistry of paraffin-embedded human ovarian cancer using CSB-PA872420LA01HU at dilution of 1:100
MKRN2 Antibodies
MKRN2 for Homo sapiens (Human)
| 產品貨號 | 產品名稱 | 種屬反應性 | 應用類型 |
|---|---|---|---|
| CSB-PA014606GA01HU | MKRN2 Antibody | Human,Mouse,Rat | ELISA,WB |
| CSB-PA872420LA01HU | MKRN2 Antibody | Human, Mouse, Rat | ELISA, WB, IHC |
| CSB-PA872420LB01HU | MKRN2 Antibody, HRP conjugated | Human | ELISA |
| CSB-PA872420LD01HU | MKRN2 Antibody, Biotin conjugated | Human | ELISA |
MKRN2 Proteins
MKRN2 Proteins for Homo sapiens (Human)
| 產品貨號 | 產品名稱 | 來源 |
|---|---|---|
| CSB-YP872420HU CSB-EP872420HU CSB-BP872420HU CSB-MP872420HU CSB-EP872420HU-B |
Recombinant Human Probable E3 ubiquitin-protein ligase makorin-2 (MKRN2) | Yeast E.coli Baculovirus Mammalian cell In Vivo Biotinylation in E.coli |






