MFN2
MFN2,全稱為線粒體融合蛋白2,常用別名包括Mitofusin-2。它是線粒體膜上的核心蛋白之一,主要負責介導線粒體之間的融合過程,幫助維持線粒體正常的網狀結構與動態平衡。這種平衡對細胞的能量生成、代謝調控至關重要——一旦它的功能異常,線粒體可能呈現碎片化,能量供應效率下降,進而誘發細胞功能損傷甚至死亡。
在疾病方面,MFN2的基因突變與腓骨肌萎縮癥2A2型直接相關,患者常表現為四肢遠端肌肉進行性萎縮、感覺減退;此外,它的表達異常還與2型糖尿病、心力衰竭等疾病關聯緊密,比如糖尿病患者脂肪組織中該蛋白水平降低,會干擾胰島素信號傳遞,加重胰島素抵抗。目前針對它的藥物研發尚處于早期階段,部分實驗室研究發現,一些小分子化合物可調節其活性以改善線粒體功能,但距離臨床應用仍有一段距離。
熱銷產品
Recombinant Human Mitofusin-2 (MFN2) (CSB-CF013756HU)
驗證數據
(Tris-Glycine gel) Discontinuous SDS-PAGE (reduced) with 5% enrichment gel and 15% separation gel.
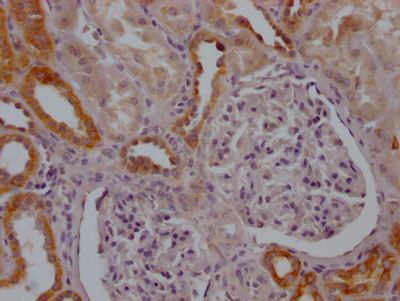
MFN2 Recombinant Monoclonal Antibody (CSB-RA799368A0HU)
驗證數據
IHC image of CSB-RA799368A0HU diluted at 1:100 and staining in paraffin-embedded human kidney tissue performed on a Leica BondTM system. After dewaxing and hydration, antigen retrieval was mediated by high pressure in a citrate buffer (pH 6.0). Section was blocked with 10% normal goat serum 30min at RT. Then primary antibody (1% BSA) was incubated at 4℃ overnight. The primary is detected by a Goat anti-rabbit IgG polymer labeled by HRP and visualized using 0.05% DAB.
MFN2 Antibody (CSB-PA013756LA01HU)
驗證數據
Immunohistochemistry of paraffin-embedded human heart tissue using CSB-PA013756LA01HU at dilution of 1:100
Western Blot
Positive WB detected in: Rat kidney tissue
All lanes: MFN2 antibody at 3μg/ml
Secondary
Goat polyclonal to rabbit IgG at 1/50000 dilution
Predicted band size: 89, 51 kDa
Observed band size: 89 kDa
MFN2 Antibodies
MFN2 for Homo sapiens (Human)
| 產品貨號 | 產品名稱 | 種屬反應性 | 應用類型 |
|---|---|---|---|
| CSB-PA013756GA01HU | MFN2 Antibody | Human,Mouse,Rat | ELISA,WB,IHC |
| CSB-PA003234 | MFN2 Antibody | Human,Mouse,Rat | WB, IHC, ELISA |
| CSB-PA013756LA01HU | MFN2 Antibody | Human, Rat | ELISA, WB, IHC |
| CSB-PA013756LB01HU | MFN2 Antibody, HRP conjugated | Human | ELISA |
| CSB-PA013756LC01HU | MFN2 Antibody, FITC conjugated | Human | |
| CSB-PA013756LD01HU | MFN2 Antibody, Biotin conjugated | Human | ELISA |
| CSB-RA799368A0HU | MFN2 Recombinant Monoclonal Antibody | Human | ELISA, IHC |
| CSB-RA139716A0HU | MFN2 Recombinant Monoclonal Antibody | Human, Mouse, Rat | ELISA, WB |
MFN2 Proteins
MFN2 Proteins for Homo sapiens (Human)
| 產品貨號 | 產品名稱 | 來源 |
|---|---|---|
| CSB-YP013756HU1 CSB-EP013756HU1 CSB-BP013756HU1 CSB-EP013756HU1-B |
Recombinant Human Mitofusin-2 (MFN2), partial | Yeast E.coli Baculovirus In Vivo Biotinylation in E.coli |
| CSB-CF013756HU | Recombinant Human Mitofusin-2 (MFN2) | in vitro E.coli expression system |
| CSB-MP013756HU | Recombinant Human Mitofusin-2 (MFN2)-VLPs | Mammalian cell |
| CSB-MP013756HU1 | Recombinant Human Mitofusin-2 (MFN2), partial | Mammalian cell |
MFN2 Proteins for Mus musculus (Mouse)
| 產品貨號 | 產品名稱 | 來源 |
|---|---|---|
| CSB-YP770460MO1 CSB-BP770460MO1 CSB-MP770460MO1 CSB-EP770460MO1-B |
Recombinant Mouse Mitofusin-2 (Mfn2), partial | Yeast Baculovirus Mammalian cell In Vivo Biotinylation in E.coli |
| CSB-CF770460MO | Recombinant Mouse Mitofusin-2 (Mfn2) | in vitro E.coli expression system |
MFN2 Proteins for Rattus norvegicus (Rat)
| 產品貨號 | 產品名稱 | 來源 |
|---|---|---|
| CSB-YP837154RA1 CSB-EP837154RA1 CSB-BP837154RA1 CSB-MP837154RA1 CSB-EP837154RA1-B |
Recombinant Rat Mitofusin-2 (Mfn2), partial | Yeast E.coli Baculovirus Mammalian cell In Vivo Biotinylation in E.coli |
| CSB-CF837154RA | Recombinant Rat Mitofusin-2 (Mfn2) | in vitro E.coli expression system |






