MFGE8
MFGE8,全稱為乳脂球表皮生長因子8蛋白,也被稱為Lactadherin。該蛋白在維持腸道上皮穩態和促進粘膜修復中扮演重要角色。它能夠促進血管內皮生長因子依賴的新血管生成,并有助于吞噬清除多種組織中凋亡細胞。MFGE8與αv/beta-3和αv/beta-5受體特異性結合,同時也能非依賴受體地與富含磷脂酰絲氨酸的細胞表面結合。此外,MFGE8還與卵細胞相互作用,并能夠特異性結合輪狀病毒,抑制其復制。在心血管疾病中,MFG-E8與心肌梗死、心肌病、肺動脈高壓等多種疾病的發生發展密切相關。近年來,針對MFG-E8的研究逐漸深入,其作為潛在治療靶點的可能性受到關注,相關藥物研發也在逐步推進中。
熱銷產品
Recombinant Human Lactadherin (MFGE8) (CSB-EP013752HU)
驗證數據
(Tris-Glycine gel) Discontinuous SDS-PAGE (reduced) with 5% enrichment gel and 15% separation gel.
MFGE8 Antibody (CSB-PA07974A0Rb)
驗證數據
Western Blot
Positive WB detected in: Mouse skeletal muscle tissue
All lanes: MFGE8 antibody at 1.6µg/ml
Secondary
Goat polyclonal to rabbit IgG at 1/50000 dilution
Predicted band size: 44, 32, 38, 39 kDa
Observed band size: 44 kDa
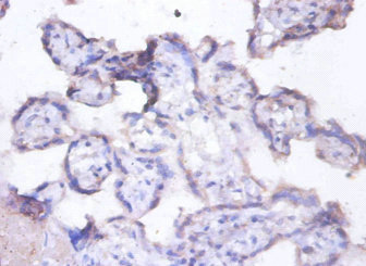
Immunohistochemistry of paraffin-embedded human placenta tissue using CSB-PA07974A0Rb at dilution of 1:100
Human milk fat globule-EGF factor 8 protein(MFGE8) ELISA kit (CSB-E12637h)
驗證數據
貨號:CSB-E12637h
規格:96T/48T
靈敏度:195.31 pg/mL
檢測范圍:781.25 pg/mL-50000 pg/mL
These standard curves are provided for demonstration only. A standard curve should be generated for each set of samples assayed.
MFGE8 Antibodies
MFGE8 for Homo sapiens (Human)
| 產品貨號 | 產品名稱 | 種屬反應性 | 應用類型 |
|---|---|---|---|
| CSB-MA079741A0m | MFGE8 Monoclonal Antibody | Human | ELISA,IHC |
| CSB-PA07974A0Rb | MFGE8 Antibody | Human, Mouse | ELISA, WB, IHC |
| CSB-PA07974D0Rb | MFGE8 Antibody, Biotin conjugated | Human | ELISA |
| CSB-PA07974B0Rb | MFGE8 Antibody, HRP conjugated | Human | ELISA |
MFGE8 Proteins
MFGE8 Proteins for Rattus norvegicus (Rat)
| 產品貨號 | 產品名稱 | 來源 |
|---|---|---|
| CSB-YP013752RA CSB-BP013752RA CSB-MP013752RA CSB-EP013752RA-B |
Recombinant Rat Lactadherin (Mfge8) | Yeast Baculovirus Mammalian cell In Vivo Biotinylation in E.coli |
MFGE8 Proteins for Sus scrofa (Pig)
| 產品貨號 | 產品名稱 | 來源 |
|---|---|---|
| CSB-YP013752PI CSB-BP013752PI CSB-MP013752PI CSB-EP013752PI-B |
Recombinant Pig Lactadherin (MFGE8) | Yeast Baculovirus Mammalian cell In Vivo Biotinylation in E.coli |
MFGE8 Proteins for Mus musculus (Mouse)
| 產品貨號 | 產品名稱 | 來源 |
|---|---|---|
| CSB-YP013752MO CSB-EP013752MO CSB-BP013752MO CSB-MP013752MO CSB-EP013752MO-B |
Recombinant Mouse Lactadherin (Mfge8) | Yeast E.coli Baculovirus Mammalian cell In Vivo Biotinylation in E.coli |
MFGE8 Proteins for Bos taurus (Bovine)
| 產品貨號 | 產品名稱 | 來源 |
|---|---|---|
| CSB-YP839153BO CSB-EP839153BO CSB-BP839153BO CSB-MP839153BO CSB-EP839153BO-B |
Recombinant Bovine Lactadherin (MFGE8) | Yeast E.coli Baculovirus Mammalian cell In Vivo Biotinylation in E.coli |
MFGE8 Proteins for Homo sapiens (Human)
| 產品貨號 | 產品名稱 | 來源 |
|---|---|---|
| CSB-BP013752HU CSB-MP013752HU CSB-EP013752HU-B |
Recombinant Human Lactadherin (MFGE8) | Baculovirus Mammalian cell In Vivo Biotinylation in E.coli |
| CSB-EP013752HU | Recombinant Human Lactadherin (MFGE8) | E.coli |
MFGE8 ELISA Kit
MFGE8 ELISA Kit for Homo sapiens (Human)
| 產品貨號 | 產品名稱 | 樣本類型 | 靈敏度 |
|---|---|---|---|
| CSB-E12637h | Human milk fat globule-EGF factor 8 protein(MFGE8) ELISA kit | serum, cell culture supernates, urine, cerebrospinal fluid (CSF) | 195.31 pg/mL |
MFGE8 ELISA Kit for Mus musculus (Mouse)
| 產品貨號 | 產品名稱 | 樣本類型 | 靈敏度 |
|---|---|---|---|
| CSB-EL013752MO | Mouse Lactadherin(MFGE8) ELISA kit | serum, plasma, tissue homogenates | 7.8 pg/mL |






