MELTF
MELTF,全稱為melanotransferrin,別名包括MTf、MFI2、MTF1、CD228和MAP97。該蛋白是一種細胞表面糖蛋白,主要表達于黑素瘤細胞,同時也在唾液腺、腎臟等多種組織中存在。MELTF蛋白與轉鐵蛋白超家族成員具有序列相似性和鐵結合特性,但其在鐵代謝中的具體作用尚未明確。研究表明,MELTF蛋白可能參與腫瘤細胞的生長和轉移過程,并可能與某些癌癥的發生發展相關。目前,針對MELTF蛋白的藥物研發尚處于早期階段,但已有研究顯示其可能成為癌癥治療的潛在靶點。例如,有研究探索了MELTF蛋白在黑色素瘤細胞中的表達和功能,并發現其可能參與腫瘤細胞的侵襲和轉移。此外,還有研究報道了MELTF蛋白在胃癌、結直腸癌等癌癥組織中的高表達,提示其可能成為癌癥診斷和治療的新的生物標志物和治療靶點。未來,隨著對MELTF蛋白研究的深入,有望開發出針對該蛋白的特異性藥物,為癌癥患者提供新的治療選擇。
熱銷產品
Recombinant Human Melanotransferrin (MELTF) (Active) (CSB-MP013754HU1)
驗證數據
(Tris-Glycine gel) Discontinuous SDS-PAGE (reduced) with 5% enrichment gel and 15% separation gel.
Activity
Measured by its binding ability in a functional ELISA. Immobilized Human MELTF at 2 μg/ml can bind Anti-MELTF recombinant antibody (CSB-RA013754MA1HU). The EC50 is 0.3476-0.4529 ng/mL.
The purity of MELTF was greater than 95% as determined by SEC-HPLC
Recombinant Human Melanotransferrin (MELTF) (CSB-EP013754HU)
驗證數據
(Tris-Glycine gel) Discontinuous SDS-PAGE (reduced) with 5% enrichment gel and 15% separation gel.
MELTF Antibody (CSB-PA013754LA01HU)
驗證數據
Western Blot
Positive WB detected in: HEK293 whole cell lysate, Hela whole cell lysate
All lanes: MELTF antibody at 3µg/ml
Secondary
Goat polyclonal to rabbit IgG at 1/50000 dilution
Predicted band size: 81, 33 kDa
Observed band size: 81 kDa
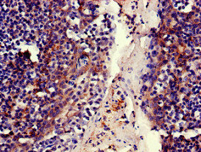
Immunohistochemistry of paraffin-embedded human tonsil tissue using CSB-PA013754LA01HU at dilution of 1:100
Immunofluorescent analysis of HepG2 cells using CSB-PA013754LA01HU at dilution of 1:100 and Alexa Fluor 488-congugated AffiniPure Goat Anti-Rabbit IgG(H+L)
Human Melanotransferrin(MFI2) ELISA kit (CSB-EL013754HU)
驗證數據
貨號:CSB-EL013754HU
規格:96T/48T
靈敏度:0.039 ng/mL
檢測范圍:0.156 ng/mL-10 ng/mL
These standard curves are provided for demonstration only. A standard curve should be generated for each set of samples assayed.
MELTF Antibodies
MELTF for Homo sapiens (Human)
| 產品貨號 | 產品名稱 | 種屬反應性 | 應用類型 |
|---|---|---|---|
| CSB-PA013754GA01HU | MFI2 Antibody | Human,Mouse,Rat | ELISA,WB |
| CSB-PA013754LA01HU | MELTF Antibody | Human | ELISA, WB, IHC, IF |
MELTF Proteins
MELTF Proteins for Homo sapiens (Human)
| 產品貨號 | 產品名稱 | 來源 |
|---|---|---|
| CSB-BP013754HU CSB-MP013754HU CSB-EP013754HU-B |
Recombinant Human Melanotransferrin (MFI2) | Baculovirus Mammalian cell In Vivo Biotinylation in E.coli |
| CSB-EP013754HU | Recombinant Human Melanotransferrin (MELTF) | E.coli |
| CSB-YP013754HU | Recombinant Human Melanotransferrin (MFI2) | Yeast |
| CSB-MP013754HU1 | Recombinant Human Melanotransferrin (MELTF) (Active) | Mammalian cell |
MELTF Proteins for Oryctolagus cuniculus (Rabbit)
| 產品貨號 | 產品名稱 | 來源 |
|---|---|---|
| CSB-YP013754RB CSB-BP013754RB CSB-MP013754RB CSB-EP013754RB-B |
Recombinant Rabbit Melanotransferrin (Mfi2), partial | Yeast Baculovirus Mammalian cell In Vivo Biotinylation in E.coli |
| CSB-EP013754RB | Recombinant Rabbit Melanotransferrin (Mfi2), partial | E.coli |
MELTF Proteins for Mus musculus (Mouse)
| 產品貨號 | 產品名稱 | 來源 |
|---|---|---|
| CSB-YP882604MO CSB-EP882604MO CSB-BP882604MO CSB-MP882604MO CSB-EP882604MO-B |
Recombinant Mouse Melanotransferrin (Mfi2) | Yeast E.coli Baculovirus Mammalian cell In Vivo Biotinylation in E.coli |
MELTF ELISA Kit
MELTF ELISA Kit for Homo sapiens (Human)
| 產品貨號 | 產品名稱 | 樣本類型 | 靈敏度 |
|---|---|---|---|
| CSB-EL013754HU | Human Melanotransferrin(MFI2) ELISA kit | serum, plasma, tissue homogenates, cell lysates | 0.039 ng/mL |






