MDM2
MDM2,即鼠雙微體基因2蛋白,別名E3泛素蛋白連接酶MDM2、P53結合蛋白。它是一種由MDM2基因編碼的E3泛素連接酶,主要在細胞核質中表達,并與多種蛋白質的泛素化降解途徑相關。MDM2的作用機制之一是介導p53/TP53的泛素化,導致其被蛋白酶體降解,此外,MDM2還參與細胞凋亡過程,通過結合其轉錄激活域抑制p53/TP53和p73/TP73介導的細胞周期阻滯和凋亡 。MDM2在生物學上的意義非常廣泛,它不僅參與調控p53的穩定性和生物功能,還涉及細胞周期、細胞凋亡、DNA損傷響應等多種細胞生理過程。MDM2與p53之間的相互作用形成了一個自動調節的負反饋循環,對維持細胞內環境穩定至關重要。此外,MDM2還通過調控STAT5穩定性來控制T細胞介導的抗腫瘤免疫,這為癌癥免疫治療提供了新的視角和潛在靶點 。
熱銷產品
Recombinant Mouse E3 ubiquitin-protein ligase Mdm2 (Mdm2) (CSB-EP013626MO)
驗證數據
(Tris-Glycine gel) Discontinuous SDS-PAGE (reduced) with 5% enrichment gel and 15% separation gel.
Phospho-MDM2 (S166) Recombinant Monoclonal Antibody (CSB-RA980583A0HU)
驗證數據
IHC image of CSB-RA980583A0HU diluted at 1:50 and staining in paraffin-embedded human brain tissue performed on a Leica BondTM system. After dewaxing and hydration, antigen retrieval was mediated by high pressure in a citrate buffer (pH 6.0). Section was blocked with 10% normal goat serum 30min at RT. Then primary antibody (1% BSA) was incubated at 4°C overnight. The primary is detected by a Goat anti-rabbit polymer IgG labeled by HRP and visualized using 0.57% DAB.
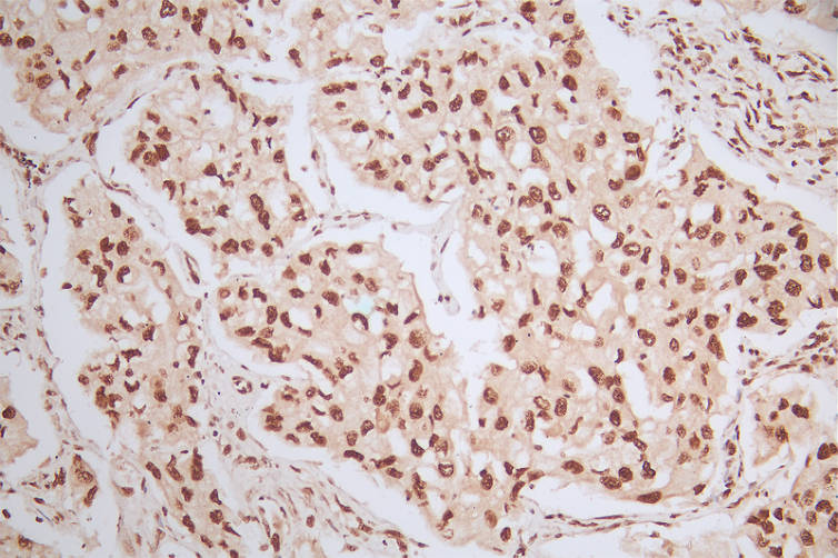
IHC image of CSB-RA980583A0HU diluted at 1:50 and staining in paraffin-embedded human lung cancer performed on a Leica BondTM system. After dewaxing and hydration, antigen retrieval was mediated by high pressure in a citrate buffer (pH 6.0). Section was blocked with 10% normal goat serum 30min at RT. Then primary antibody (1% BSA) was incubated at 4°C overnight. The primary is detected by a Goat anti-rabbit polymer IgG labeled by HRP and visualized using 0.57% DAB.
Immunofluorescence staining of HepG2 with CSB-RA980583A0HU at 1:10, counter-stained with DAPI. The cells were fixed in 4% formaldehyde and blocked in 10% normal Goat Serum. The cells were then incubated with the antibody overnight at 4°C. The secondary antibody was Alexa Fluor 517-congugated AffiniPure Goat Anti-Rabbit IgG(H+L).
Overlay Peak curve showing Hela cells stained with CSB-RA980583A0HU (red line) at 1:50. The cells were fixed in 4% formaldehyde and permeated by 0.2% TritonX-100. Then 10% normal goat serum to block non-specific protein-protein interactions followed by the antibody (1μg/1*106cells) for 45min at 4℃. The secondary antibody used was FITC-conjugated Goat Anti-rabbit IgG(H+L) at 1:200 dilution for 35min at 4℃.Control antibody (green line) was rabbit IgG (1μg/1*106cells) used under the same conditions. Acquisition of >10,000 events was performed.
MDM2 Antibodies
MDM2 for Homo sapiens (Human)
| 產品貨號 | 產品名稱 | 種屬反應性 | 應用類型 |
|---|---|---|---|
| CSB-PA073718 | Phospho-MDM2 (Ser166) Antibody | Human | ELISA,WB,IHC,IF |
| CSB-PA156585 | MDM2 (Ab-166) Antibody | Human,Mouse,Rat | ELISA,WB,IHC,IF |
| CSB-PA729984 | MDM2 Antibody | Human | ELISA,WB |
| CSB-PA570037 | Phospho-MDM2 (Ser186/Ser188) Antibody | Human | ELISA,IF |
| CSB-PA891046 | MDM2 Antibody | Human,Rat | ELISA,WB,IHC,IF |
| CSB-PA003212 | MDM2 Antibody | Human,Mouse,Monkey | WB, IHC, IF, ELISA |
| CSB-PA005097 | MDM2 Antibody | Human | WB, ELISA |
| CSB-PA010114 | Phospho-MDM2 (S166) Antibody | Human,Mouse,Monkey | WB, IHC, IF, ELISA |
| CSB-PA010119 | Phospho-MDM2 (S186/S188) Antibody | Human | IF, ELISA |
| CSB-PA010122 | MDM2 Antibody | Human,Mouse | WB, IHC, IF, ELISA |
| CSB-PA010128 | MDM2 Antibody | Human | IHC, IF, ELISA |
| CSB-PA973311 | MDM2 Antibody | Human | ELISA,WB |
| CSB-PA455127 | Phospho-MDM2 (Tyr394) Antibody | Human,Mouse | WB,ELISA |
| CSB-PA11628A0Rb | MDM2 Antibody | Human | ELISA, WB, IHC |
| CSB-PA11628B0Rb | MDM2 Antibody, HRP conjugated | Human | ELISA |
| CSB-PA11628C0Rb | MDM2 Antibody, FITC conjugated | Human | |
| CSB-PA11628D0Rb | MDM2 Antibody, Biotin conjugated | Human | ELISA |
| CSB-RA980583A0HU | Phospho-MDM2 (S166) Recombinant Monoclonal Antibody | Human | ELISA, IHC, IF, FC |
MDM2 Proteins
MDM2 Proteins for Mus musculus (Mouse)
| 產品貨號 | 產品名稱 | 來源 |
|---|---|---|
| CSB-YP013626MO | Recombinant Mouse E3 ubiquitin-protein ligase Mdm2 (Mdm2) | Yeast |
| CSB-EP013626MO | Recombinant Mouse E3 ubiquitin-protein ligase Mdm2 (Mdm2) | E.coli |
| CSB-BP013626MO CSB-MP013626MO CSB-EP013626MO-B |
Recombinant Mouse E3 ubiquitin-protein ligase Mdm2 (Mdm2) | Baculovirus Mammalian cell In Vivo Biotinylation in E.coli |
MDM2 Proteins for Equus caballus (Horse)
| 產品貨號 | 產品名稱 | 來源 |
|---|---|---|
| CSB-YP013626HO CSB-EP013626HO CSB-BP013626HO CSB-MP013626HO CSB-EP013626HO-B |
Recombinant Horse E3 ubiquitin-protein ligase Mdm2 (MDM2) | Yeast E.coli Baculovirus Mammalian cell In Vivo Biotinylation in E.coli |
MDM2 Proteins for Canis familiaris (Dog) (Canis lupus familiaris)
| 產品貨號 | 產品名稱 | 來源 |
|---|---|---|
| CSB-YP013626DO CSB-EP013626DO CSB-BP013626DO CSB-MP013626DO CSB-EP013626DO-B |
Recombinant Dog E3 ubiquitin-protein ligase Mdm2 (MDM2) | Yeast E.coli Baculovirus Mammalian cell In Vivo Biotinylation in E.coli |
MDM2 Proteins for Xenopus laevis (African clawed frog)
| 產品貨號 | 產品名稱 | 來源 |
|---|---|---|
| CSB-YP013626XBE CSB-EP013626XBE CSB-BP013626XBE CSB-MP013626XBE CSB-EP013626XBE-B |
Recombinant Xenopus laevis E3 ubiquitin-protein ligase Mdm2 (mdm2) | Yeast E.coli Baculovirus Mammalian cell In Vivo Biotinylation in E.coli |
MDM2 Proteins for Danio rerio (Zebrafish) (Brachydanio rerio)
| 產品貨號 | 產品名稱 | 來源 |
|---|---|---|
| CSB-YP013626DIL CSB-EP013626DIL CSB-BP013626DIL CSB-MP013626DIL CSB-EP013626DIL-B |
Recombinant Danio rerio E3 ubiquitin-protein ligase Mdm2 (mdm2) | Yeast E.coli Baculovirus Mammalian cell In Vivo Biotinylation in E.coli |
MDM2 Proteins for Mesocricetus auratus (Golden hamster)
| 產品貨號 | 產品名稱 | 來源 |
|---|---|---|
| CSB-YP720145MRG CSB-EP720145MRG CSB-BP720145MRG CSB-MP720145MRG CSB-EP720145MRG-B |
Recombinant Mesocricetus auratus E3 ubiquitin-protein ligase Mdm2 (MDM2) | Yeast E.coli Baculovirus Mammalian cell In Vivo Biotinylation in E.coli |
MDM2 Proteins for Felis catus (Cat) (Felis silvestris catus)
| 產品貨號 | 產品名稱 | 來源 |
|---|---|---|
| CSB-YP770328CA CSB-EP770328CA CSB-BP770328CA CSB-MP770328CA CSB-EP770328CA-B |
Recombinant Cat E3 ubiquitin-protein ligase Mdm2 (MDM2) | Yeast E.coli Baculovirus Mammalian cell In Vivo Biotinylation in E.coli |






